良性脑膜瘤,从无症状到面瘫、吞咽困难,险些失去手术机会的他
发布时间:2026-03-25 08:44:49 | 阅读:次| 关键词:良性脑膜瘤,从无症状到面瘫、吞咽困难,险些失去手术机会的他
- [案例]INC巴教授“禁区”手术图解案例四乙状窦后入路全切延髓
- [案例]颅内 "石头" 竟从鼻腔取出?亲历者讲述不开颅全切颅咽
- [案例]中德国际交流项目进行时|INC巴特朗菲教授顺利完成一台儿
- [案例]86岁高龄为何仍愿意坚定手术?INC福教授“双镜联合”让她
- [案例]动脉瘤破裂出血后重度昏迷,INC国际川岛教授使用6个“弹
- [案例]“终于能过上正常人的生活了!”福教授创新入路为脑膜
有一种肿瘤,九成以上是良性,却让相当一部分患者在"不急"的等待心态中,悄然错过了最适合干预的时间窗口。
它叫脑膜瘤。
"医生说是良性的,继续观察就好。"
"手术风险太大,先等一等吧。"
"现在没什么症状,生活也没受影响,再看看。"
这些话,在脑膜瘤患者的就医故事里出现的频率高得出乎意料。良性、生长缓慢、风险低——这几个标签叠加在一起,很容易拼凑出一种"暂时安全"的错觉。然而,很少有人被明确告知:良性不等于无害,等待不等于安全,某些脑膜瘤,一旦错过了手术时机,结局将难以预料。
54岁的Bruno,就亲身经历了这一切。
对于体积小、无症状、影像上没有水肿或侵袭迹象的疑似脑膜瘤,观察随访是合理的临床选项——但并非任何情况下都适用。究竟什么情况下"等"会带来隐患?Bruno的经历或许能说明一些问题。
六年等待,一颗肿瘤的"静默扩张"
2014年,Bruno在一次体检中被发现左侧岩斜区存在一枚脑膜瘤。接诊医生的建议是:良性,观察即可。
于是,漫长的等待开始了。
在那几年里,肿瘤从未真正停止生长。它以一种难以察觉的节奏悄然扩张,像一只蛰伏在颅底深处的手,一点一点将周围的神经和血管裹挟其中。
直到有一天,Bruno再也无法假装什么都没发生——面部出现了撕裂样的剧痛,他形容"像刀割,常人难以想象那种程度"。紧接着是吞咽困难,无法正常进食;夜里痛醒,彻夜难眠;工作变成了一件奢侈的事。而压垮他的最后一句话,来自就诊时医生的告知。
"你的肿瘤已经太大了,压迫到脑干,手术风险极高。"
从2014年到2019年,整整六年。这六年里,一枚被标注为"良性"的肿瘤,将一个生活正常的人,一步步推向了"没有医生愿意操刀"的处境。

良性脑膜瘤,为何会演变成高风险手术
很多患者误以为"良性"就意味着"好处理",这是一个需要纠正的认知。
脑膜瘤手术的实际难度,取决于三个核心变量:长在哪里、长了多大、与周围哪些结构产生了纠缠。
Bruno的肿瘤生长在岩斜区——颅底最深处,紧邻脑干,周围汇聚着基底动脉、颈内动脉、后组颅神经等关键结构,任何操作失误都可能造成偏瘫、失明、吞咽障碍,乃至危及生命。

到2019年手术时,他的情况已积累了四重困难:其一,肿瘤体积巨大,脑干已遭受严重压迫——脑干掌管呼吸、心跳与意识,对它的每一分压迫都是对生命的威胁;其二,肿瘤被血管团团包围,咽升动脉和颈内动脉硬脑膜分支如同散布在术野中的地雷,稍有不慎即可引发难以控制的大出血;其三,肿瘤已出现钙化,质地变硬,切除难度倍增,对周围神经血管的牵拉风险也随之升高;其四,肿瘤已浸润硬脑膜,并伴有岩尖骨质气化,颅底重建压力叠加,脑脊液漏的风险始终悬在头顶。


这四重难题同时压来,意味着:当年若能及时处理,这台手术本可以相对简单;而六年的等待,将一台"困难"的手术,变成了一台"高危"的手术。
绝境之中,他说"这台手术,我来做"
就在Bruno几乎陷入绝望之际,他找到了世界神经外科联合会(WFNS)颅底手术委员会前主席——来自法国的Sébastien Froelich教授(福洛里希教授)。
这位颅底手术领域的权威专家,数十年来几乎将全部精力聚焦于大脑最复杂的区域——颅底。他不仅精通传统显微镜下开颅入路,同样擅长内镜下经鼻入路,并独创了"双镜联合"技术体系,通过显微镜与内镜的协同配合,对隐匿在颅底深处的病变实现360度无死角的观察与切除。
面对Bruno这台高难度手术,福洛里希教授制定了环环相扣的手术预案。
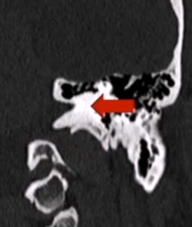
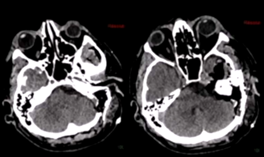
第一步是术前精准评估:通过MRI确认脑干无水肿,CT扫描逐一评估肿瘤钙化程度、岩尖气化范围、颈静脉球与内耳道的位置关系,每一个解剖细节,都是术中安全操作的前提。

第二步是术前血管栓塞:在正式手术前,经介入手段在咽升动脉处置入栓塞线圈,提前切断肿瘤供血来源,大幅压缩术中出血量,为后续操作争取更充裕的术野空间。

第三步是联合岩骨入路:这是福洛里希教授的核心手术策略——将岩前入路与岩后入路联合实施,同时配合颞顶枕开颅,从多角度多方向逼近肿瘤。这一入路方式的最大优势在于,能够在相对短的手术距离内为岩斜区提供宽阔的操作视野,同时将对脑组织的牵拉损伤降至最低。福洛里希教授曾于2019年在《Acta Neurochirurgica》杂志发表专题论文,系统详解了这一入路的每个关键操作步骤——这已不仅仅是一台手术方案,而是一套经过系统论证与长期实践检验的颅底手术理念体系。


最扣人心弦的,是肿瘤与脑干之间的精细解剖过程。基底动脉的穿支血管,直径不足一毫米,却直接关系到脑干的血液供应。福洛里希教授在高倍显微镜下,以镊子逐层分离蛛网膜界面,以CUSA超声吸引刀分次减瘤,以显微剪刀逐一切断肿瘤与血管之间每一根细微的蛛网膜桥接结构——操作的精细程度,不亚于在千钧一发中完成绣花。动眼神经、外展神经,在肿瘤包裹之中被逐一辨认、分离、完整保护。颅底重建阶段,以腹部脂肪填塞术腔,硬脑膜水密缝合,骨瓣经微型钢板精准复位。
手术成功,他回来了
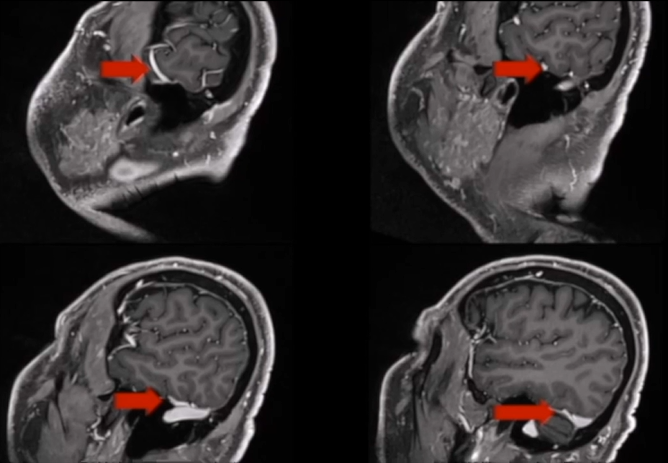
术后MRI显示:肿瘤几乎完全切除,脑干压迫已彻底解除。术后CT未见任何并发症,颅骨修复状态良好。

术后恢复过程中,Bruno出现了一过性不完全性滑车神经麻痹,低头时有轻微复视,但该症状在术后3个月内完全消失;因中耳炎引起的轻度听力下降,也在术后6个月时完全恢复正常。

Bruno这样描述那段经历:"这段时间以来,左侧脸部如刀割般的疼痛,常人根本难以想象那种滋味……没有一位医生愿意为我手术,我一度陷入了深深的绝望,苦不堪言。但我不甘心就这样在病痛的折磨中度过余生,最终非常幸运地遇到了Froelich教授!"

54岁的Bruno,重新拥有了正常人的生活。
关于脑膜瘤,有些事值得认真了解
良性,并不等同于可以无限期等待。脑膜瘤手术的难度,很大程度上由其具体情况决定。从Bruno的案例可以归纳出,以下几种情形出现时,手术的复杂程度往往会明显上升,越早进行认真的专业评估,患者自己能掌握的选择余地也越大。
第一,症状持续加重、复查发现肿瘤体积增大:这是身体发出的最直接信号,意味着观察期已经走到尽头,尽早手术往往是更审慎的选择;第二,位置深、靠近颅底:手术路径本身就更复杂,周围神经血管密集,尽早处理可留有更充裕的操作空间;第三,体积偏大、紧邻脑干:等待时间越长,脑干所承受的持续压力越大,安全的手术窗口也随之收窄;第四,质地偏硬、已有钙化:切除难度增加,对周围结构的影响也更难预测和控制;第五,血供丰富:术中出血风险相应升高,对手术团队的经验和应急处置能力要求更高;第六,与神经血管发生粘连或浸润:术中保护神经功能的操作难度会显著加大。
如果你的情况同时涉及上述多项,"继续观察"这一方案是否合适,或许值得再认真评估——这不是说一定要立即手术,而是争取机会听取更多专业意见,把治疗选择的主动权握在自己手里。
- 所属栏目:脑膜瘤
- 如想转载“良性脑膜瘤,从无症状到面瘫、吞咽困难,险些失去手术机会的他”请务必注明来源和链接。
- 网址:https://www.incsg.com/huanzhegushi/naomoliu/7866.html
- 更新时间:2026-03-25 08:35:30


