“走,吃火锅去!”1年前,35岁的他因脑干胶质瘤,差点放弃一切
发布时间:2026-04-11 10:52:31 | 阅读:次| 关键词:“走,吃火锅去!”1年前,35岁的他因脑干胶质瘤,差点放弃一切
- [案例]3岁男孩双侧视神经和下丘脑胶质瘤成功案例
- [案例]较大听神经瘤术后2年随访,没有复发、无面瘫、无后遗症
- [案例]脑干手术成功率多大?开颅手术后,她如愿生下两个健康
- [案例]做不做手术都会瘫痪?陷入高位颈髓海绵状血管瘤绝境的
- [案例]脑中的迷宫:解密脑动静脉畸形
- [案例]脑海绵状血管瘤出血2次都无症状,谁能想到我差点栽在第
当确诊脑部肿瘤,对手术产生恐惧,甚至萌生放弃治疗的念头时,来自家人的支持究竟能发挥何种作用?
“手术结束后,巴教授亲自告知我手术成功实现全切,那一刻我内心充满了难以言喻的喜悦!”38岁的王先生接受脑干胶质瘤开颅手术已逾一年,其妻子每次回忆起这个场景,情绪依然十分激动。这份来之不易的希望背后,实则经历了一段异常艰辛的求医之路。因为在最初确诊脑干肿瘤时,几乎没有医生愿意为他实施开颅手术。

为解决因肿瘤压迫引发的脑积水,王先生首先接受了脑室-腹腔分流术。然而术后一年间,肿瘤仍在悄然生长,他的整体状态也随之急剧恶化。每日不受控制地流涎、吞咽功能出现障碍、视物模糊,加之体重持续下降,其意志几近崩溃。尽管王先生一度产生放弃治疗的念头,但其妻子坚决不同意。“我必须支撑起这个家庭,我们还有三个孩子,我内心充满不甘!手术的最终决定由我来做。”当我们再次见到王先生时,早已回归正常生活与工作的他,心中始终铭记着妻子的付出。

术后一年多,王先生行动自如,吞咽功能恢复正常。

这份重获新生的希望,背后还有一位至关重要的亲人——他的姨夫。王先生的家人至今对姨夫满怀感激。在求医最为艰难的初期阶段,是姨夫一次次携带病历资料四处咨询医生,对病情的了解程度甚至超过了王先生的妻子。同样是在姨夫的坚持下,在王先生原定接受放疗的前一天,他们决定再次尝试咨询手术的可能性。经过那一夜的深入沟通,他们毅然取消了次日的放疗计划,从而迎来了今天的转机。
某患者公益组织的创始人在与众多患者长期接触后,总结出成为抗癌“幸运儿”的三个核心要素:接受规范化的标准治疗是基础,保持积极稳定的心理状态,以及拥有坚实的家庭支持系统。在实现长期生存的患者群体中,“深度认知型”患者尤为关键——他们不回避疾病,而是主动学习相关知识,积极寻求治疗机会。王先生一家正是如此:妻子和姨夫承担了“深度认知”的角色,持续奔波;而他本人在家人的支持下,也从最初对手术的恐惧转变为勇敢地选择接受手术。
历经磨难重获新生后,一家人格外体会到治疗过程的艰辛。因此,在王先生与姨夫的社交平台上,热心的他们持续分享着一路走来的治疗心路历程,“因为自己曾经历过风雨,所以总想也为他人撑起一把伞”。采访中,他们真诚地希望自己的经历能够帮助到更多身患疑难脑肿瘤、正处于治疗迷茫中的病友,不要拖延,不要等待,尽最大努力找到能够安全实施手术的主刀医生。
采访接近尾声时,王先生笑着发出邀请:“走,一起去吃火锅吧!”这句简单而充满热情的话语,胜过千言万语。也让我们再次真切地感受到,他真的已经从脑干胶质瘤的阴霾中逐步走了出来。
从头痛到绝望:无人敢于接手的“脑干肿瘤”
头痛在日常生活中颇为常见,但其背后可能隐藏着危机。王先生正是因为头部疼痛前往医院进行磁共振检查,从而发现了脑干占位性病变。
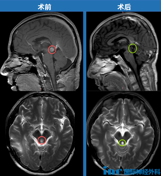
“肿瘤位置不太理想,不敢进行手术。”这是他们最初得到的、也几乎是所有医生给出的一致答复。进一步的检查结果显示:“中脑顶盖占位性病变”,肿瘤大小为13mm×13mm×9mm,并伴有幕上脑积水。医生建议先行脑室-腹腔分流术,以缓解因肿瘤压迫导致的脑积水症状。

“那时肿瘤体积还比较小,医生建议先做分流手术缓解一下,观察其后续发展。”王先生的妻子回忆道。然而,这个脑干肿瘤并未因此保持静止。
术后一年,病情急转直下。“肿瘤稍微长大了一点,各种并发症就全部出现了。”王先生的妻子描述,丈夫的状态“整体感觉不行了”:无法继续工作、整日不受控制地流口水、身体消瘦变形、出现吞咽困难等症状。动作变得迟缓的他,原本正常的世界也显得“不正常”。他说:“看什么都像闪电一样快”,因为周围的一切对他来说都移动得太快了。
更令她感到痛心的是,丈夫的精神状态也几近崩溃,“有些放弃了,连自己的病情也不愿意过问了。他只记得医生曾说过‘手术下来可能会瘫痪,甚至变成植物人’。”此时此刻,姨夫的全力支持与妻子的果断决策,成为了挽救这个家庭的关键力量。
妻子的“不甘心”:成为拯救他的关键力量
面对迅速恶化的病情,王先生的妻子和姨夫没有选择放弃。用她自己的话说:“我们不甘心啊!”她通过病友群、网络平台疯狂地搜索相关信息,最终为王先生准备了两套治疗方案:一是被认为相对更“安全”的质子放射治疗,他们甚至已经联系好了相关的治疗渠道;另一条路,则是由病友分享的资讯——针对脑干这个特殊位置,可以寻求德国神经外科专家巴特朗菲教授进行手术。
“我当时内心非常纠结,因为大多数人都认为质子治疗风险较小,但其实我担心的是复发风险以及后续可能出现的组织粘连问题。”妻子的担忧不无道理,对于大多数脑肿瘤,尤其是胶质瘤而言,外科手术是解决根本问题的途径,只有将肿瘤组织取出才能没有后顾之忧。
丈夫因手术风险而对手术感到恐惧,家人起初也因为不了解巴教授而持不太支持的态度,但是王先生的妻子顶住了来自各方的所有压力。“我必须撑起这个家,我们有三个孩子,我不能倒下。这个决定,由我来做。”然而,这个决定背后,是她所承受的巨大心理煎熬。
“最艰难的就是做出决定时所面临的压力。所有信息的筛选、治疗方案的权衡、说服家人的工作,几乎全部落在我一个人肩上。我也害怕,害怕万一结果不理想,我就会成为家里的‘罪人’。但看到他那时的状态,想到我们的孩子们,我知道我必须挺住,必须找到那条正确的道路。很幸运,我找到了。”
“我们通过邮件和视频进行了沟通。巴教授查看了资料后,非常肯定地表示这是常规手术,他在这方面很有经验。他的话给了我巨大的信心。我立刻就决定,就请巴教授来做手术。”

巴教授最新随访截图
“肿瘤全部切除了,非常成功!”
2025年2月28日,王先生的手术如期进行。一直守候在手术室外的家人,终于等来了巴教授带来的好消息:“肿瘤全部切除了,非常成功,一切都好!”

王先生在重症监护室观察一晚后,便早早转入了普通病房。术后第一天,正如巴教授术前所预期的那样,他的状态也开始逐步好转。当然,由于王先生术前症状较为严重,完全恢复仍需时间。
令家人感到高兴的是,他术后的两次随访检查均显示肿瘤得到完全切除,无残留病灶,脑干、丘脑等重要结构均保持完整,他也无需再进行额外的放疗。
看到丈夫一天天好转,妻子觉得所有的努力都是值得的:“他从最初说话磕磕绊绊,到现在表达越来越流利。除了眼睛看东西时间久了会有点模糊,其他方面都恢复得很好。”特别是,王先生术前体重下降了约三十多斤,术后体重恢复了二十多斤,整个人的精神状态也焕然一新。
从受助者到分享者:他们希望帮助更多人
“我理解大家的焦虑,查出脑瘤,都会害怕手术的风险。但是请你们不要轻易放弃,多去了解,多去咨询,特别是对于脑干这么关键的位置。我们在治疗决策的每一个关键节点,信息都太重要了。如果我们一开始就知道巴教授,我会第一时间选择找他做手术,而不是先去做分流手术。脑干胶质瘤这个病真的拖不起,也错不起,我们如果找到对的医生,可能就是完全不同的结果。”
- 所属栏目:胶质瘤
- 如想转载““走,吃火锅去!”1年前,35岁的他因脑干胶质瘤,差点放弃一切”请务必注明来源和链接。
- 网址:https://www.incsg.com/huanzhegushi/jiaozhiliu/8005.html
- 更新时间:2026-04-11 10:47:57


