4年慢性头痛差点被误认为脑炎,直到一张血管造影的出现
发布时间:2026-03-23 18:39:52 | 阅读:次| 关键词:4年慢性头痛差点被误认为脑炎,直到一张血管造影的出现
- [案例]“谢谢你坚持下来!”恶性脑瘤无复发8年,是儿子让我再
- [案例]揭秘嗅沟脑膜瘤手术显微开颅与经鼻入路之争——国际颅
- [案例]天坛医院手术纪实|华裔德国高管的人生突围:脑干延髓术
- [案例]INC巴教授“禁区”手术图解案例三 | 延髓-胸段脊髓18cm巨大
- [案例]13岁女孩如何“斗赢”5cm巨大髓母细胞瘤?Rutka教授术后
- [案例]经眉弓小切口入路,神经内镜辅助精准切除颅底脑膜瘤
一个8岁男孩因为长达4年的反复头痛来到医院,这看似普通的症状背后,隐藏着一种致命的罕见脑血管疾病。他的故事不仅是一个医学奇迹,更是一个关于精准诊断和及时治疗的深刻提醒。
小宇从4岁开始就经常头痛。起初,家长以为是普通的小儿头痛,随着年龄增长就会缓解。但3年后的8岁时,情况突然变坏了——小宇开始出现癫痫样发作,脑部影像检查显示左侧额叶有阴影。当地医院的医生初步诊断他患有"病毒性脑炎",开始进行相应的治疗。然而,20天后,小宇的症状不仅没有缓解,反而更加严重。这时,家长意识到问题可能不是那么简单。
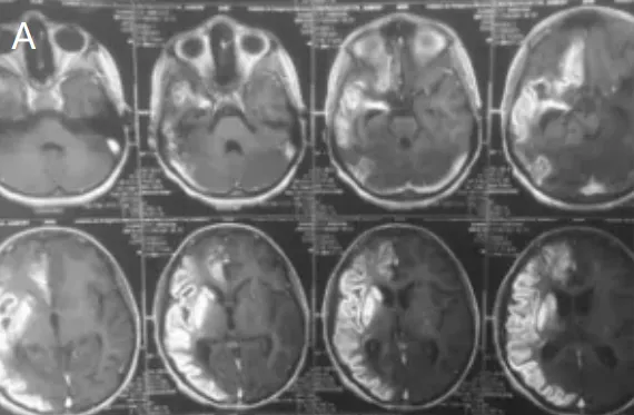
在深入诊查后,医学影像学的答案出现了——一张脑血管造影图像清晰地呈现了小宇脑内血管的真实面貌。影像中显示,小宇的双侧颈内动脉末端和大脑中动脉开口处出现了异常的血管闭塞,同时大量细小的异常血管网络在脑内形成,这种现象在医学上被称为"烟雾病"。
烟雾病是一种极为罕见的慢性闭塞性脑血管疾病。这个名字的来源很有趣——因为在脑血管造影图像上,这些异常增生的细小血管看起来就像烟雾一样弥漫在脑部。与成人患者多表现为脑缺血性卒中不同,儿童烟雾病患者通常以慢性反复头痛、肢体无力、癫痫等缺血症状为主要表现。更严重的是,长期的脑缺血会逐步影响儿童患者的认知发育和智力水平,国际研究数据显示,部分烟雾病儿童患者会出现不同程度的智力受损。

确诊烟雾病后,小宇面临着一个重要的治疗关口。这种疾病的治疗目标是重建脑部血供,恢复脑细胞的氧供,防止进一步的神经功能损伤。然而,烟雾病的手术治疗难度极大,需要医生具备深厚的血管神经外科专业知识和丰富的实战经验。当地医院评估后认为病情超出了他们的能力范围,无法承担手术的风险。在这样的困境中,小宇的家长开始寻求国际医疗援助。

经过多方协调和国际医学合作的安排,小宇最终被转诊到日本圣路加国际医院,由世界顶尖的小儿神经血管外科专家、INC教授团成员川岛明次教授亲自主刀。川岛教授根据小宇的具体病情制定了精准的手术方案——采用直接血运重建手术,通过颞浅动脉与大脑中动脉之间的血管搭桥,建立新的血液供应通路,绕过被闭塞的血管,从而改善脑部的血液循环。

手术进行得异常顺利。令人欣喜的是,手术后的第二天,医学团队就发现小宇的语言功能明显改善——那些在术前难以表达的言语,现在可以清晰地说出来。这种立竿见影的效果充分说明了脑部血供恢复对神经功能的重要影响。术后一年的随访显示,小宇不仅头痛症状消失了,而且脑部影像学检查也验证了血管搭桥的有效性——新建立的血运通路正常地为他的脑组织供应血液,大脑血流恢复到了正常水平。小宇的智力发育轨迹也重新回到了正常的发展道路上。

小宇的案例揭示了儿童慢性头痛诊治中的一个重要问题:不是所有的慢性头痛都是常见病。当儿童表现出持续性头痛、特别是伴随其他神经症状(如肢体无力、癫痫、意识改变)时,医学工作者必须提高警惕,需要进行深入的神经影像学检查来排除罕见的脑血管疾病。早期的精准诊断和及时的手术干预,对于烟雾病患者来说是改变人生的关键。而对于一些技术难度高、风险大的复杂病例,寻求国际顶级专家的援助往往能为患者打开一扇希望之门。
这个故事最终的圆满结局,不仅是医学技术进步的见证,更是精准诊断、及时治疗和国际医学协作共同作用的结果。对于其他面临类似困境的患者和家庭来说,小宇的经历传递了一个明确的信息:即使疾病罕见,即使诊断困难,只要不放弃寻求答案,坚持进行系统全面的医学检查,就有可能找到真正的病因,从而获得有效的治疗机会。在医学进步和国际合作的帮助下,生命中的暗影总会被光明驱散。
- 所属栏目:烟雾病
- 如想转载“4年慢性头痛差点被误认为脑炎,直到一张血管造影的出现”请务必注明来源和链接。
- 网址:https://www.incsg.com/yanwubing/7851.html
- 更新时间:2026-03-23 18:34:21


