警惕儿童不明原因头痛!8岁男童确诊烟雾病,险些导致偏瘫失语
发布时间:2026-01-31 10:25:54 | 阅读:次| 关键词:警惕儿童不明原因头痛!8岁男童确诊烟雾病,险些导致偏瘫失语
- [案例]脑干海绵状血管瘤危险因素有哪些?有治愈的案例吗?
- [案例]脑瘤急剧增长伴多次出血及面肌痉挛
- [案例]脑动脉瘤是真还是假?成功夹闭,防止破裂出血才是“真
- [案例]家人查出脑瘤,究竟该不该让他们知晓真相?
- [案例]7岁男孩脑干海绵状血管瘤,赴德术后2年随访
- [案例]13岁女孩如何“斗赢”5cm巨大髓母细胞瘤?Rutka教授术后
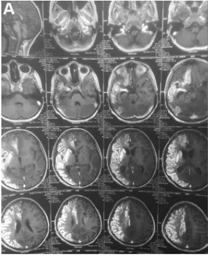
8岁男性患儿小宇持续四年出现反复头痛症状,初期被家长误认为体质虚弱或学习疲劳所致。病情进展过程中,患儿突发眼球上翻、全身强直性抽搐、右侧肢体运动功能障碍及言语含糊等急性症状。颅脑CT检查显示左额叶存在片状阴影病灶,初步诊断为病毒性脑炎,立即启动抗病毒及抗癫痫药物治疗方案。
二十天后病情再次加重,患儿出现左侧肢体运动功能丧失及完全性失语,症状在48小时内快速进展,需转入重症监护室治疗。经全面检查确诊为烟雾病,该疾病属于进行性脑血管病变类型。
影像学检查与确诊依据
脑血管数字减影血管造影(DSA)检查显示:双侧颈内动脉完全闭塞(右侧位于眼动脉远端,左侧位于后交通动脉远端),基底节区形成烟雾状侧支循环血管。脑部MRI检查证实右侧大脑中动脉及大脑前动脉供血区存在急性缺血性改变。

术前DSA影像清晰显示双侧颈内动脉、右侧眼动脉远端和后交通动脉远端完全闭塞,双侧基底节区可见典型烟雾状血管网络形成。

治疗方案与手术决策
烟雾病核心治疗策略为血运重建手术,但本例患儿面临三大治疗挑战:
病例复杂程度高:儿童烟雾病治疗难度大于成人,患儿双侧大脑半球受累,脑供血系统严重受损
手术风险显著:近期右半球大面积缺血增加高灌注综合征、术后出血等并发症风险
技术难度大:需在直接搭桥(即刻供血)与间接搭桥(缓慢生成血管)手术方式中做出选择

INC国际神经外科专家川岛明次教授主刀手术,其具备丰富的脑血管搭桥手术经验,累计完成烟雾病脑血管搭桥手术1300例、脑动脉瘤夹闭手术1000例、脑血管畸形切除术500例。
手术过程与关键技术
手术采用直接血运重建方式,在显微镜下完成颞浅动脉与大脑中动脉皮质分支的端侧吻合。术中将头皮颞浅动脉仔细分离,与大脑表面选定的大脑中动脉分支进行显微吻合,建立新的脑供血通道。

术后CTA三维重建显示左侧颞浅动脉与大脑中动脉间成功建立两条搭桥血管,手术区域骨窗大小适宜,血管吻合位置精准。
术后恢复与功能改善
术后即刻评估显示,患儿语言功能明显改善,可发出简单词汇。运动功能逐步恢复,可在辅助下完成日常活动,独立行走能力重建,语言表达能力持续进步。左侧肢体运动功能障碍需长期康复训练,但整体恢复趋势良好。
术后影像学检查证实新建血管通路血流通畅,脑组织缺血状况得到有效改善。术后一年随访显示患儿神经功能持续改善,生活质量显著提高。
临床启示与预防建议
长期不明原因头痛作为儿童脑血管疾病的重要预警信号,需引起临床高度重视。烟雾病虽属罕见疾病,但早期诊断和及时手术干预可有效改善预后。对于持续头痛伴发癫痫、肢体无力、言语障碍的患儿,建议尽早进行脑血管影像学检查,排除烟雾病等脑血管疾病可能。
文献来源:Kawashima A et al. Moyamoya disease in a 8 year-old boy: direct bypass surgery in a province of Peru
- 所属栏目:烟雾病
- 如想转载“警惕儿童不明原因头痛!8岁男童确诊烟雾病,险些导致偏瘫失语”请务必注明来源和链接。
- 网址:https://www.incsg.com/yanwubing/7556.html
- 更新时间:2026-01-31 10:13:59


