10岁男孩两次脑部手术背后:这种“烟雾”病,家长别忽视!
发布时间:2025-10-17 10:02:10 | 阅读:次| 关键词:10岁男孩两次脑部手术背后:这种“烟雾”病,家长别忽视!
- [案例]脑膜瘤伪装者:长期被误认为颈椎病的案例
- [案例]复杂脑血管病变治疗案例:颈动脉狭窄合并PCA动脉瘤的分
- [案例]延髓肿瘤可以手术吗?一场游走在“生命禁区”的开颅手
- [案例]「胶质瘤案例」高难度脊髓-脑干胶质瘤95%以上切除
- [案例]出血四次?手术后复发?多发性海绵状血管瘤能治吗?
- [案例]脑干出血被判生存期仅剩1月?延髓海绵状血管瘤术后五年
10岁男性患儿小智突发握笔不稳、行走失衡及双侧肢体无力症状,令家长深感忧虑。检查结果显示小智罹患烟雾病——一种名称温和但实际凶险的儿童脑血管疾病。
接受首次手术后,小智恢复日常生活能力。然而两年后,患儿再次出现头痛、眼前黑朦、右侧肢体突发瘫软等症状,医疗团队面临更为复杂的血管救援挑战。
儿童烟雾病的病理本质
切勿因“烟雾”二字产生误解,该疾病并非呼吸道病变,而是脑血管阻塞性危象。
人体大脑主要供血血管为颈内动脉,烟雾病患者的颈内动脉末端逐渐狭窄甚至完全闭塞。为代偿供血,大脑会增生大量纤细如烟雾的侧支血管——此即为“烟雾病”名称来源。然此类代偿血管脆弱易损,既可能导致供血不足引发缺血症状,亦可能破裂导致出血事件。
儿童系烟雾病高发人群,常见临床表现为短暂性脑缺血发作(TIA):如突发肢体无力、言语不清、视力模糊等。小智初发的双侧偏瘫即为典型缺血征象;严重时可引发脑卒中,影响脑发育进程。
烟雾病血管造影影像显示典型脑血管异常表现。

术后复发机制探析
小智首次就诊时,磁共振血管造影(MRA)显示双侧颈内动脉及大脑后动脉狭窄,属烟雾病中晚期(Suzuki 4期)。

MRA与DSA图像清晰显示双侧末端颈内动脉及大脑后动脉狭窄(图A)。
医疗团队为小智实施“颞浅动脉-大脑中动脉搭桥术”(STA-MCA搭桥)——此为儿童烟雾病常规术式,相当于从头皮选取健康血管(颞浅动脉),直接吻合至大脑缺血区域血管(大脑中动脉),为大脑建立新的供血通路。
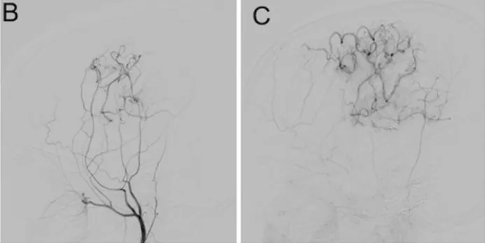
术后6个月复查显示桥血管通畅,小智偏瘫症状完全消失,恢复学习和活动能力。

术后6个月随访DSA显示旁路血管通畅,左大脑中动脉供血区血流显著改善(图B、图C)。
平静度过两年后,小智突发新症状:频繁头痛、视物黑朦,偶发右侧肢体瘫软。
复查发现大脑后动脉(负责枕叶、顶叶供血,主管视觉和体感功能)狭窄加剧——首次手术虽解决前循环供血问题,但烟雾病作为进展性疾病,后循环血管持续狭窄,原有搭桥血管已无法满足供血需求,导致大脑再次缺血。

2年后MRA与DSA显示进行性大脑后动脉狭窄(图E)。
此次医疗团队决定采用“枕动脉-大脑中动脉搭桥术”(OA-MCA搭桥)进行补救性治疗,该手术风险较首次显著增高。
二次手术难度分析
血管选取难度提升
首次手术采用的颞浅动脉位置表浅,易于分离;本次手术需取用深藏于头皮深层的枕动脉,且需精准分离6-7厘米长血管,操作稍有不慎即可能损伤周围组织,导致血管变细或堵塞。
血管吻合精度要求极高
手术核心在于将枕动脉与大脑中动脉分支进行吻合,使用直径不足0.1毫米的10-0缝线(细于发丝),需在显微镜下逐针缝合,稍有偏差即可导致血管漏血或堵塞,风险极高。
儿童生理特性与既往手术史的双重挑战
小智年仅10岁,大脑处于发育阶段,对术中缺血、牵拉损伤尤为敏感,必须严格控制手术时长以避免神经功能损伤;加之既往手术史导致头皮血供减少,再次分离枕动脉可能影响伤口愈合,甚至引发头皮坏死。
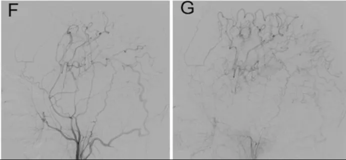
所幸手术取得圆满成功。术后复查显示新建“枕动脉-大脑中动脉”通路通畅,小智的头痛、视力模糊及肢体无力症状完全消失;单光子发射计算机断层扫描(SPECT)显示其大脑中动脉及大脑后动脉供血区的“脑血管反应性”(CVR)显著提升——表明大脑应对血流变化能力增强,未来缺血风险大幅降低。

术后6个月随访DSA显示旁路血管通畅(图F、图G)。

术前SPECT成像显示左大脑中动脉及大脑后动脉区脑血管反应性降低(图D)。
术后SPECT成像显示大脑中动脉及大脑后动脉区脑血管反应性显著改善(图H)。
关键警示:家长需警惕这些“报警信号”
儿童烟雾病早期症状易被误判为“疲劳”或“营养不良性乏力”,若患儿出现以下情况,应及时就医:
突发肢体无力、行走易跌倒;
短暂性视力模糊、视物重影;
反复发作头痛,尤其伴随恶心、呕吐;
突发言语不清、构音障碍。
尽管烟雾病病情凶险,但早期发现、选择合适手术方案(如初次STA-MCA搭桥或复发后OA-MCA补救搭桥),多数患儿可恢复正常生活——如小智一般,经历两次手术后重返校园生活。
参考资料
Kawashima A et. al. Occipital artery to middle cerebral artery bypass in pediatric moyamoya disease: rescue therapy after failed revascularization doi:10.3171/2020.8.PEDS20424
INC国际神经外科专家团队
川岛明次教授作为INC国际神经外科医生集团旗下世界神经外科专家团(WNEG)成员、世界脑血管搭桥手术权威、日本东京女子医科大学神经外科主任,擅长脑卒中、烟雾病、颅底肿瘤、面肌痉挛/三叉神经痛、颅内血肿、巨大脑动脉瘤、脑动静脉畸形等疾病的治疗,尤其在脑血管搭桥、颈内动脉内膜切除术领域具有深厚造诣。

神经外科手术经验:
烟雾病脑血管搭桥手术:1300例
脑动脉瘤夹闭手术:1000例
脑血管畸形切除术:500例
颈内动脉内膜切除术:450例
开颅脑瘤切除术:280例
颅后窝搭桥术、High-flow Bypass技术等
- 所属栏目:烟雾病
- 如想转载“10岁男孩两次脑部手术背后:这种“烟雾”病,家长别忽视!”请务必注明来源和链接。
- 网址:https://www.incsg.com/yanwubing/6835.html
- 更新时间:2025-10-17 09:53:38
- 上一篇:烟雾病术后别松劲!“延迟高灌注” 可能藏在后面,这个检查一定要做!
- 下一篇:没有了


