听神经瘤放疗失败后再手术,风险真的会翻倍吗?
发布时间:2026-04-03 09:20:02 | 阅读:次| 关键词:听神经瘤放疗失败后再手术,风险真的会翻倍吗?
- [案例]当伽马刀失效,他们的治疗选择还剩下什么?
- [案例]颅咽管瘤哪里逃?施罗德教授为7岁小勇士击败脑中“怪兽
- [案例]5年脑出血率30.8%!柳叶刀1620例研究背后,这种脑血管畸形
- [案例]髓母细胞瘤:当5年生存率突破90%,分型决定治疗与预后差
- [案例]视神经-下丘脑肿瘤治疗新理念:为什么我会尝试尽量全切
- [案例]“我再也不用担心出血了!”脑桥海绵状血管瘤患者术后
原本想通过放疗把听神经瘤"解决"掉,没想到肿瘤不仅没消失,反而越长越大,甚至压到脑干、导致瘫痪和失聪……这样的案例并不少见。放疗失败后还能不能手术?再次手术的风险是不是比第一次高很多?
放疗后,肿瘤为什么"失控"了?
听神经瘤属于良性肿瘤,生长速度很慢。这些年,伽马刀、赛博刀这类立体定向放疗因为创伤小、恢复快,成了很多中小型听神经瘤患者的首选。但放疗并不是万能的。
有个典型案例:一位58岁的女性,因为右耳听力下降、头晕查出听神经瘤,做了伽马刀治疗(边缘剂量12.3Gy)。放疗后两年,肿瘤轻度增大;到第三年,肿瘤明显变大并压迫脑干,患者完全失聪、严重共济失调,最后不得不接受手术。

图1 :A.轴位增强 MRI显示右侧内听道内肿瘤,均匀强化(伽玛刀治疗前);B.轴位增强 MRI 显示肿瘤向脑桥小脑角生长(伽玛刀治疗2年后);C.轴位增强 MRI 显示肿瘤进一步生长压迫脑干和小脑(伽玛刀治疗3年后),肿瘤中心未强化
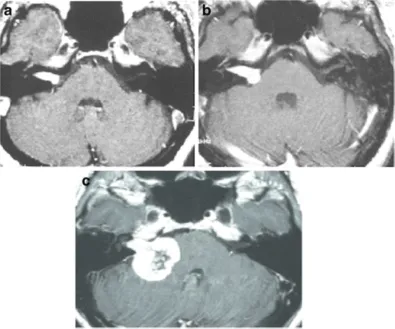
还有个29岁的年轻女性,放疗后8个月,肿瘤的囊性部分急剧扩大,虽然尝试了囊肿穿刺引流,但没有改善。随后她逐渐失去听力、无法行走,只能坐轮椅。手术中医生发现,肿瘤包膜和脑干严重粘连,只能做次全切除。

图2 :a增强后轴向核磁共振显示右侧中等大小的肿瘤,不均匀强化压迫脑干。肿瘤具有实体和囊肿部分(在直线加速器治疗之前)。b增强后轴向MRI显示肿瘤实体部分轻微生长,囊性部分增大(直线加速器治疗后8个月)。肿瘤缺乏中央强化。c术后增强轴向MRI显示肿瘤的一小部分残留
更让人担心的是,少数患者放疗后甚至出现肿瘤恶变——从良性变成恶性,情况更加复杂。
为什么放疗失败后再手术这么难?
上述病例都来自国际权威期刊《Neurosurgical Review》,由INC国际神经外科医生集团旗下专家Takanori Fukushima教授的研究报道。该研究回顾分析了19年间39例听神经瘤放疗(SRT,立体定向放疗)失败后接受挽救性手术的患者,揭示了风险背后的核心原因。

首先要明确:放疗失败后再手术,风险确实比直接手术高很多,这和放疗后肿瘤及周围组织的病理变化密切相关,主要集中在几个方面:
第一是粘连紧密,解剖层次消失。放疗会导致肿瘤周围蛛网膜增厚、变得不透明,肿瘤包膜和脑干、小脑、颅神经粘成一团,很难分开。
第二是面神经"变脆"。放疗后的面神经会软化、变脆,即使术中神经监测提示只是轻微操作,也可能造成不可逆损伤。而且放疗后神经的恢复能力更差。
第三是肿瘤质地改变。放疗后肿瘤中心经常出现纤维化、囊变、出血,表面变黄变硬,术中很难判断肿瘤边界在哪里。
第四是脑组织水肿、变脆弱。部分患者小脑出现放射性水肿,表面组织脆性增加,手术操作稍有不慎就可能造成副损伤。
放疗失败后,治疗该怎么选?
很多患者会问:放疗失败后,能不能再做一次放疗?答案是不建议——再次放疗会增加脑神经损伤、脑积水、脑坏死等风险,而且肿瘤可能对放射线产生耐药性,再次失败的概率极高。所以多数放疗失败者,挽救性手术是更稳妥的选择。
但要注意,放疗失败后的手术,全切率会明显下降。研究显示,只有33.3%的患者能实现肿瘤全切除(GTR),35.9%实现近全切除(NTR),30.8%只能做次全切除(STR)。医生通常会采取更保守的手术策略,优先保护面神经等重要神经功能,而不是强行全切,避免引发更严重的并发症。
听神经瘤首次治疗要谨慎
听神经瘤的首次治疗非常关键,选择放疗还是手术,需要结合肿瘤大小、位置、患者年龄和身体状况综合判断,避免盲目选择导致后续治疗难度增加。如果已经出现放疗失败的情况,应该及时找专业神经外科医生,制定个性化的手术方案。
过去20年,伽马刀、赛博刀等SRT技术广泛应用于听神经瘤治疗,接受放疗的患者逐年增多。虽然放疗后肿瘤再生长的比例不到10%,但需要长期随访监测——听神经瘤作为良性肿瘤,至少要随访15-20年才能确定治疗效果。
此外,放疗还可能导致症状加重。研究显示,41%的患者放疗后出现耳聋,35.9%出现头晕,25.6%出现面部麻木,甚至有罕见的肿瘤恶变情况。所以医生在推荐放疗时,必须明确告知患者相关风险。
- 所属栏目:听神经瘤
- 如想转载“听神经瘤放疗失败后再手术,风险真的会翻倍吗?”请务必注明来源和链接。
- 网址:https://www.incsg.com/tingshenjingliu/7947.html
- 更新时间:2026-04-03 09:10:38


