高校老师两次突聋,执意要“保面、全切、保听”的他如何赢下了这场脑部手术?
发布时间:2026-03-21 21:03:37 | 阅读:次| 关键词:高校老师两次突聋,执意要“保面、全切、保听”的他如何赢下了这场脑部手术?
- [案例]脑干海绵状血管瘤危险因素有哪些?有治愈的案例吗?
- [案例]18年3次脑出血,她在“生命禁区”的刀锋上重生
- [案例]7岁「低精力」男孩的生活被一张核磁打破!这个脑瘤难的
- [案例]令医生直言"棘手"的高级别胶质瘤,两大国际专家协作
- [案例]天坛医院手术随访|35岁“中年危机”竟是脑瘤,巧从鼻孔
- [案例]这种脑瘤竟让8岁男孩“穿越时空”,20天快速长高是福是
高老师的日常生活围绕大学讲台的教书育人与学术科研展开。他未曾预料自己会与“听神经瘤”产生关联,更未料到一场突发性耳聋将彻底扰乱其人生轨迹,并使其陷入“保全听力、保全面部功能、完全切除肿瘤”这三重治疗诉求的艰难抉择之中。
突发性耳聋:肿瘤的早期预警信号
2021年,时年35岁的高教授正在讲台上为学生讲解课题。其右耳突然出现如同被棉花团堵塞的感觉——声音变得遥远且模糊。他下意识地用手指清理耳道,但未见任何改善。台下学生仍在等待他继续授课,然而他已无法听清自己的讲话内容。
“突发性耳聋。”医生指着检查报告明确指出,“右耳听力下降至60-70分贝。”
正常听力水平在25分贝以下。60-70分贝意味着什么?相当于正常对话的声音在其耳中仅剩下模糊的气流声。
经过为期两周的住院治疗,听力得以恢复。但高教授的疑惑却进一步加深:为何是我?作为一名高校教师,我并未长期暴露于噪音环境,也未过度劳累。
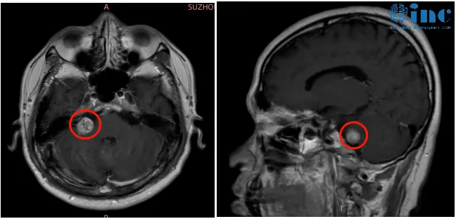
进一步的检查给出了明确答案——右侧桥小脑角区发现结节,考虑为听神经瘤。那一刻,高教授意识到:突发性耳聋并非病因,而是肿瘤发出的“预警信号”。

治疗决策:功能保全与肿瘤根治的权衡
听神经瘤是桥小脑角区最为常见的良性肿瘤。尽管性质为良性,但其生长位置极为特殊,紧邻面神经、听神经及重要血管。随着肿瘤体积增大,将持续压迫神经,不仅导致听力出现不可逆下降,还会引发耳鸣、眩晕、行走不稳等一系列症状。
听神经瘤手术发展至今已逾百年历史。伴随神经外科技术的飞速进步,当前手术核心目标已从“保全生命”升级为“保全功能、完全切除肿瘤、防止复发”。然而,内听道型听神经瘤的手术难度依然极高:肿瘤深藏于内听道内部,需要磨除周围骨质方能充分暴露。面神经直径仅1-2毫米,薄如蝶翼,极易受损。想要同步实现“肿瘤全切、保留面神经功能、保留听力”,对主刀医生的技术水准与临床经验提出了近乎苛刻的要求。
高老师的肿瘤生长于内听道深处,位置刁钻。接诊医生坦言:若想实现肿瘤全切且不复发,手术过程中需磨除骨质,极易损伤面神经与听神经。
对于一位需要站立于讲台从事教学工作的教师而言,高老师无法接受术后出现面瘫的可能性,因此他选择了保守观察的治疗策略。
转机与希望:寻求极致精细的外科手术
然而,肿瘤的进展并不以个人意志为转移。
仅仅四个月后,至2022年初,其右耳听力再次出现“中断”。更糟糕的是,他开始感到行走不稳,并出现轻微眩晕症状。此时,手术治疗从“可选项”转变为“必选项”。但一个核心问题横亘于前:如何在彻底切除这个位置刁钻的肿瘤的同时,保全他作为教师职业所需的“面部容貌与功能”?
寻找一位能够将手术操作做到极致精细的医生,成为高先生唯一的希望。他最终联系上了INC国际神经外科颅底肿瘤手术大师巴特朗菲教授。
在远程邮件咨询过程中,巴教授详细分析了高教授的具体情况,并明确表示:针对内听道型听神经瘤,他拥有成熟的技术与丰富的经验,能够在完全切除肿瘤的同时,最大程度地保护面神经功能及残余听力。
2022年,高教授提前预约了巴教授来华进行示范手术的机会。术前谈话时,他坚定地陈述了三项诉求:“我的治疗优先级排序如下——保全面部功能、肿瘤完全切除、保全残余听力。”

巴教授远程邮件咨询回复节选
手术实施:精准技术攻克三大难关
巴教授针对高先生的内听道型听神经瘤,制定了精准的手术方案,凭借成熟的手术理念与显微操作技术,逐步攻克了手术过程中的各项难关:
首先采用内听道磨除术,适度磨除内听道骨质,充分暴露肿瘤与面神经、听神经的解剖关系,在保证肿瘤完全切除的同时,避免过度磨除对神经及血管造成损伤。
其次运用膜内肿瘤切除术,如同“剥粽子”一般,在肿瘤包膜内部进行精细分离,最大程度保护周围正常的神经组织。
最后通过无热伤切瘤法,在神经电生理监测下,使用钝性工具轻柔分离肿瘤,配合显微操作与水流分离技术,避免热损伤与物理牵拉,全程实现“不出血、不触碰神经、不电凝血管”。
整场手术全程保持精准操作,在实现肿瘤完全切除的同时,完整保留了面神经与听神经的解剖结构及功能,术后未出现即时性面瘫,并成功保全了仅存的残余听力。

术后恢复:功能良好,重返讲台
术后第一天,巴教授在ICU进行查房,高先生意识清楚,四肢活动正常,未出现即时性面瘫,面部表情功能完好。
术后第三天,高先生已可自行坐起并下床行走,整体状态良好。高先生的爱人欣喜地向巴教授表示:“昨天已经能下床行走,大约走了几百米,上午、中午、晚上都走了。”
术后三个月,正如巴教授所预判,高先生期间曾出现过短暂的面瘫症状,但经过系统的术后康复训练,目前已基本恢复。高先生现已重返大学校园,继续从事授课工作。
INC国际脑血管专家 Prof. Helmut Bertalanffy 巴特朗菲教授
INC国际神经外科医生集团旗下世界神经外科顾问团成员、世界神经外科联合会教育与技术委员会前主席巴特朗菲教授,现任德国汉诺威国际神经外科研究院血管神经外科主任。其擅长领域涵盖大脑半球病变、脑干病变、脑血管疾病、脑内深层区胶质瘤、颅颈交界区病变的肿瘤切除术与神经吻合术,以及各类椎管内肿瘤的治疗。

同时,巴特朗菲教授曾接受过来自欧洲、中东、北非、日本、中国、韩国、新西兰、南非、智利等全球40余个国家的学术邀请,累计出席超过400场世界各地的学术会议或在神经外科大会上担任特邀发言人,为世界神经外科学科发展,特别是在颅底外科与脑脊髓显微外科血管病变治疗领域,做出了重大贡献。
- 所属栏目:听神经瘤
- 如想转载“高校老师两次突聋,执意要“保面、全切、保听”的他如何赢下了这场脑部手术?”请务必注明来源和链接。
- 网址:https://www.incsg.com/tingshenjingliu/7836.html
- 更新时间:2026-03-21 20:57:17
- 上一篇:头晕耳鸣不停,就一定是听神经瘤吗?
- 下一篇:听神经瘤只长一边?还是两边都会长?


