INC大咖答疑 | 听神经瘤是放疗还是手术?
发布时间:2026-02-03 18:36:50 | 阅读:次| 关键词:INC大咖答疑 | 听神经瘤是放疗还是手术?
- [案例]较大松果体区肿瘤4年内多次放化疗及手术失败,终得顺利
- [案例]脊髓肿瘤手术中的瘫痪风险评估与较佳手术时机的选择
- [案例][脑肿瘤案例]怀胎七月患多发性胶质母细胞瘤,终得德国教
- [案例]25岁瘫痪女孩手术全切脑干海绵状血管瘤案例
- [案例]16岁男孩体检查出胶质瘤,“学习暂停,我要先战胜它!”
- [案例]13岁女孩如何“斗赢”5cm巨大髓母细胞瘤?Rutka教授术后
听神经瘤确诊后,患者常面临手术与放疗的两难抉择。放疗方案存在肿瘤控制不彻底及后续复发风险,手术治疗则伴随创伤较大及手术风险较高的问题。高龄患者群体治疗决策更为复杂,家属常在保守治疗与根治性手术之间难以抉择。
INC国际神经外科医生集团旗下世界神经外科教授团队针对典型病例提供专业咨询回复及术后随访数据,为类似病情患者提供治疗参考。
治疗方式比较分析
听神经瘤主要治疗手段包括显微外科手术和立体定向放射外科治疗(如伽马刀)。两种治疗方案存在本质差异:
显微外科手术的治疗目标为肿瘤完全切除。通过显微操作技术直接切除病灶,快速解除肿瘤对脑干、小脑及颅神经的压迫效应,从根本上解决占位问题,避免肿瘤复发。该方法是目前可能实现根治的唯一治疗方式。
立体定向放疗的治疗原理是通过聚焦高剂量射线照射抑制肿瘤生长。该方案旨在控制肿瘤而非切除病灶,可使肿瘤进入暂时休眠状态或轻度缩小,但肿瘤细胞仍然存在。放疗射线可能损伤瘤周神经血管结构,多数患者需要长期带瘤生存,面临肿瘤再次生长和神经症状加重风险,需终身定期随访。
临床病例分析
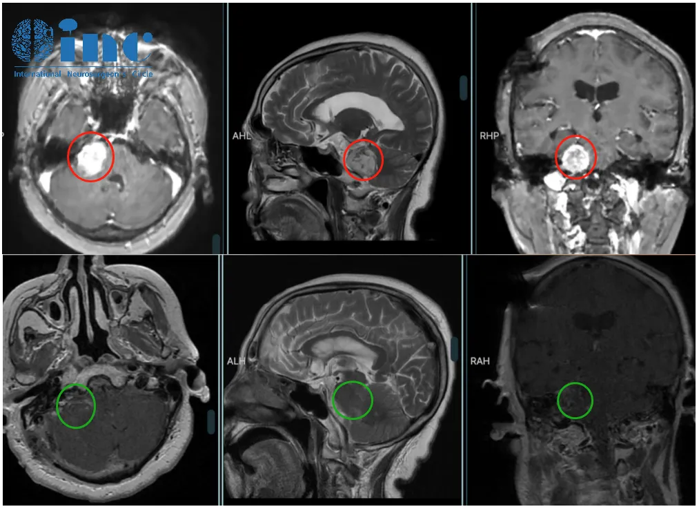
78岁女性患者李奶奶(化名),听神经瘤确诊一年内肿瘤快速生长至3厘米以上,属大型听神经瘤。病情进展伴随严重临床症状:听力水平显著下降、脑积水、行走不稳及下肢无力等,健康状况受到严重威胁。

考虑到患者高龄因素,开颅手术风险较高,家属倾向选择创伤较小的放疗方案,遂向INC巴特朗菲教授进行远程咨询评估。
巴特朗菲教授详细评估影像学资料后指出:虽然放射外科治疗可行,但针对该尺寸肿瘤,长期控制效果可能欠佳。放疗后3-4年肿瘤可能继续生长需手术治疗,届时患者年龄超过80岁,手术风险显著增加。因此推荐实施肿瘤全切术,避免术后复发风险。

教授特别强调年龄因素(77岁)对治疗决策的影响:多数神经外科医生对非超大肿瘤倾向推荐放射外科,但本例肿瘤尺寸较大,长期控制效果可能不佳。推迟手术将导致患者年龄增长,手术风险升高。基于此评估,建议行根治性手术实现肿瘤完全切除。
手术治疗与预后随访
2022年巴特朗菲教授在华学术交流期间,为患者实施听神经瘤显微切除术。手术实现肿瘤全切,神经功能保护良好。术后一年随访显示,患者恢复状态良好,神经功能保持正常。

临床提示:患者年龄、病情、身体状况及治疗需求存在个体差异,治疗方案需个性化制定。以上咨询意见仅供参考,具体治疗方案应遵循主治医师建议。
- 所属栏目:听神经瘤
- 如想转载“INC大咖答疑 | 听神经瘤是放疗还是手术?”请务必注明来源和链接。
- 网址:https://www.incsg.com/tingshenjingliu/7572.html
- 更新时间:2026-02-03 18:33:46


