恶性脑瘤复发,男孩为何无需二次开颅?17个月后还顺利入学
发布时间:2026-03-05 11:21:14 | 阅读:次| 关键词:恶性脑瘤复发,男孩为何无需二次开颅?17个月后还顺利入学
- [案例]女性高管罹患延髓血管瘤13年病情危重,高瘫痪风险手术助
- [案例]天坛医院手术实录|小脑海绵状血管瘤手术:从高风险手术
- [案例]"术后可能瘫痪?"19岁脑瘤少年遇见他后决定放手一搏!
- [案例]25岁女孩脑干海绵状血管瘤引发瘫痪,手术全切后重新站了
- [案例]3岁娃突发偏瘫嗜睡,小小头颅内竟暗藏巨大桥脑海绵状血
- [案例]不见疤痕却能开颅取瘤?INC大咖的“隐形”手术奥秘!
一名4岁男童因出现头痛、呕吐症状而就医,经检查确诊为后颅窝髓母细胞瘤,随后接受了肿瘤切除手术,并辅以化疗及干细胞治疗。然而,在第二个化疗周期结束后,复查于桥脑左侧发现复发性肿瘤,这一情况令其父母深感焦虑。

尽管患儿家属理解手术切除是合适的治疗方案,但他们不愿让孩子在短期内承受两次开颅手术。经与医生深入沟通后,患儿最终接受了激光间质热疗(LITT)。

令人欣慰的是,接受激光间质热疗后,患儿未再接受其他化疗,这显著减轻了其身体负担。术后17个月的随访显示,肿瘤未见复发。患儿恢复后已顺利入学,生长与智力发育均处于正常水平,未发现任何功能缺陷,目前仍在接受严格随访。

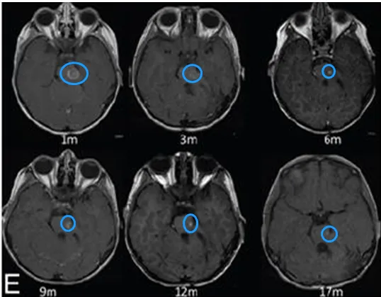
术后第1、3、6、9、12及17个月随访的轴向T1加权对比增强磁共振成像图像显示,肿瘤体积呈现逐渐缩小趋势。
激光间质热疗(LITT)的五大优势解析
2011年,一名10岁儿童被诊断为幕上原始神经外胚层肿瘤(PNET),这是一种多见于儿童的高度恶性神经系统肿瘤。为进行治疗,当时的医疗团队选择了激光间质热疗(LITT),这也成为首例被报道的采用LITT技术治疗儿童脑肿瘤的案例。
激光间质热疗属于微创手术技术,其原理是利用激光产生的非电离辐射对组织形成热效应,进而诱导细胞死亡。如今,随着激光与成像技术的持续进步,LITT在颅内疾病治疗中的应用日益广泛,涵盖儿童神经肿瘤及癫痫等多种疾病。
作为北美较早应用LITT技术的儿童医院,Rutka教授所在医疗机构已积累多年的LITT临床实践经验,并发表多篇论文阐述其优势。在教授看来,LITT的优势主要可归纳为以下五点:
第一,适应症范围广泛。
当前LITT技术使得医生能够选择性治疗颅内多种肿瘤及病变,涵盖恶性胶质瘤、耐放射外科转移瘤、致痫灶病变以及放射坏死等。
第二,手术与恢复时间显著缩短。
得益于其微创特性,LITT消融过程仅需数分钟,多数患者术后次日即可出院并恢复日常活动。该技术不仅降低了感染风险,同时缩短了康复周期与住院时间。
第三,安全性高且可重复应用。
由于无电离辐射暴露,LITT不仅可重复实施,还能减少对放疗或化疗等其他治疗方式的依赖,从而降低相关潜在副作用风险。
第四,并发症发生率较低。
LITT手术仅需一个微小切口进行缝合,降低了伤口并发症风险,避免了剃发需求,从而最大限度减少了儿童的外观改变。
第五,定位精准。
LITT可通过MRI测温技术实现离散病灶边缘的实时可视化消融,并在激光能量传递过程中进行有效控制。MRI技术全程引导,使得手术过程清晰直观,能够精准定位病灶,同时避免损伤周围健康脑组织。

关于激光间质热疗(LITT)的延伸阅读
01 LITT与癫痫
02 LITT适合哪些患儿
03 LITT可能有哪些并发症
- 所属栏目:脑肿瘤
- 如想转载“恶性脑瘤复发,男孩为何无需二次开颅?17个月后还顺利入学”请务必注明来源和链接。
- 网址:https://www.incsg.com/huanzhegushi/naozhongliu/7711.html
- 更新时间:2026-03-05 10:54:39


