只是头痛,有必要去医院吗?他不仅带孩子去了,还查出个脑瘤!
发布时间:2026-02-12 17:20:06 | 阅读:次| 关键词:只是头痛,有必要去医院吗?他不仅带孩子去了,还查出个脑瘤!
- [案例]我脑子里的“雷”突然爆了:才18岁,偏瘫、面瘫、吞咽困
- [案例]常规产检发现胎儿脑血管畸形,孩子会不会很危险,又该
- [案例]再凶险易复发的脑瘤,也怕一个“熬”到底的人,我如何
- [案例]「动脉瘤案例二」85岁老人病情急速恶化致瘫痪,没想到动
- [案例]9岁男孩疑似胶质瘤,线下一对一咨询巴教授结果如何?
- [案例]6年4次突发耳聋,竟是听神经瘤!她如何逃过面瘫、失聪的
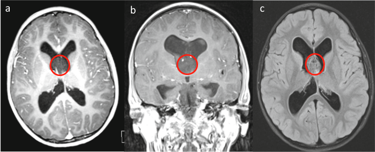
患儿欢欢近期三周持续出现头痛症状,除头痛外无其他明显不适表现。家属在症状持续存在的情况下,决定进行医学检查。磁共振检查结果显示大脑透明隔区域存在实质性肿块,伴有脑积水表现。
经诊断确认肿瘤属良性病变,生长速度缓慢。由于发现及时,预后评估较为乐观。治疗团队由德国Joachim K. Krauss教授主导,通过术中磁共振引导下右脑室经皮层入路实施肿瘤切除手术。

手术过程中发现肿瘤与穹隆结构粘连,未能实现完全切除,但达到最大程度安全切除。术后病理诊断为菊形团形成性胶质神经元肿瘤(RGNT),属于WHO Ⅰ级低级别肿瘤,具有较低复发风险。
术后随访显示患儿恢复良好,未出现新发神经系统症状,头痛症状完全缓解。术后两年随访显示病情稳定,脑积水改善,无肿瘤复发迹象。患儿无需接受放化疗辅助治疗,已恢复正常生活。
疾病特征与临床表现
菊形团形成性胶质神经元肿瘤(RGNT)是罕见的惰性肿瘤,同时包含神经胶质和神经元成分,占神经上皮性肿瘤的1.5%-3.0%。病理学特征表现为肿瘤细胞形成特征性菊形团结构,即神经元围绕血管或纤维中心呈放射状排列。
肿瘤好发于第四脑室,起源于室管膜下区域,生长缓慢。也可发生于松果体区、脑干、视交叉、丘脑、侧脑室及脊髓等部位。早期常无明显症状,随着肿瘤进展可能出现颅内压升高、小脑功能障碍及脑积水相关症状。

治疗策略与预后评估
手术切除是RGNT的首选治疗方案,全切除术后治愈率超过85%,5年生存率高于90%。对于肿瘤位于功能区或毗邻重要血管的病例,可选择次全切除并密切随访。放疗和化疗不作为一线治疗方案,仅适用于复发或无法手术的病例。
RGNT复发较为罕见,部分残留肿瘤可能呈现缓慢进展特征,需要定期进行MRI随访监测。该肿瘤具有较好的生物学行为,多数患者术后可获得长期生存。

- 所属栏目:脑肿瘤
- 如想转载“只是头痛,有必要去医院吗?他不仅带孩子去了,还查出个脑瘤!”请务必注明来源和链接。
- 网址:https://www.incsg.com/huanzhegushi/naozhongliu/7620.html
- 更新时间:2026-02-12 17:17:37


