“你的脑袋里有个东西。”38岁体检查出脑膜瘤,福兮祸兮,何去何从?
发布时间:2025-11-29 09:53:34 | 阅读:次| 关键词:“你的脑袋里有个东西。”38岁体检查出脑膜瘤,福兮祸兮,何去何从?
- [案例]养猫、运动……战胜胶质瘤,他们的生命源于家长全力争
- [案例]北京天坛国际部巴教授「全切脑瘤,保7旬老人核心供血动
- [案例]“手术风险大,放疗和药物可以救我吗?”脑干海绵状血
- [案例]三尺讲台教书育人,遭遇脑干胶质瘤,以为生命就此止步
- [案例]颅咽管瘤哪里逃?施罗德教授为7岁小勇士击败脑中“怪兽
- [案例]解析国际研究:脊索瘤治疗,手术与质子疗法,何为优选
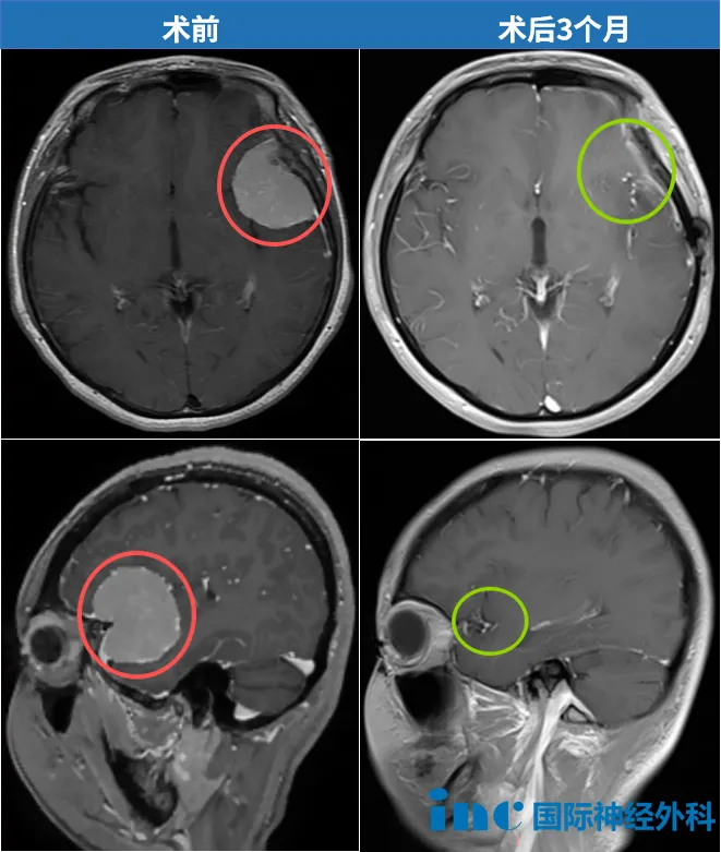
"病灶现已完全消失。影像学检查显示无肿瘤残留或复发迹象,所有指标均符合预期,患者目前无需任何辅助治疗。"

开颅手术后三个月,我收到INC巴特朗菲教授的术后随访报告。最令人振奋的是,教授在报告上亲笔书写了四个中文汉字:"不能更好"。这一刻我确信,这场与脑膜瘤的战役已取得胜利。作为38岁的企业经营者,我始终将自身视为"生命的掌舵者"。正如商业运营需要战略视野,面对疾病更需要全局思维。从体检意外发现脑膜瘤开始,我就在观察与治疗、放疗与手术、早期干预与延期处理等选项中,系统规划最佳治疗方案。

体检发现:颅内占位病变的确认
年度体检本是常规项目,但今年3月的检查报告带来意外结果。"颅内存在占位性病变"——初闻此讯我难以确信,总期望存在误判可能。
为求稳妥,4月我立即前往神经外科权威医院复查。结果再次证实:脑瘤确实存在,医生建议行开颅手术。
开颅手术?这个建议令我震惊。虽然目前无明显临床症状,但肿瘤体积已不容忽视。无症状是否意味着肿瘤无害?
这个疑问引出了所有无症状脑膜瘤患者共同面临的核心问题:既然没有不适症状,是否真的需要手术?
治疗决策的全局考量
面对疾病需要保持冷静,进行科学决策和利弊权衡。商海历练让我习惯有备而战,医疗决策同样拒绝盲目。我投入大量时间研究脑膜瘤的自然病程和各种治疗方案的长期预后。
疾病治疗从来不是单一选择,而是需要综合考量家庭、事业及未来数十年生活质量的系统工程。
通过逐步分析,结论逐渐明晰:
第一阶段:观察等待还是积极治疗?
考虑到年龄因素,若放任肿瘤生长将带来巨大风险。持续存在的颅内肿瘤不仅造成心理压力,更会影响生活和工作质量。因此,保守观察方案不可行。
第二阶段:放疗还是手术治疗?
放疗等非手术方法最多只能抑制肿瘤生长速度,无法实现病灶消除。长期来看,肿瘤必然发展至危险程度,届时再行手术将极为困难。
关键难点在于:既往放疗史会显著增加手术难度和风险。因此,根治性手术切除才是最佳方案。
第三阶段:手术时机选择
既然手术不可避免,那么何时实施成为关键。30余岁的年龄意味着若放任不管,肿瘤终将发展至危险状态。若等到出现严重症状再手术,难度和风险都将倍增。
因此决策明确:必须尽早手术,且首次手术选择至关重要。
第四阶段:手术方案制定
我确立三个明确目标:1)实现肿瘤全切确保预后;2)保证零神经功能损伤;3)追求更短恢复周期。
必须找到能确保神经功能保护的神经外科专家。鉴于手术复杂度,若不能实现全切或近全切,或不重视功能保护,则需慎重考虑手术时机。
只有在确认医生具备最大限度切除肿瘤并保护神经功能的能力后,才能进行手术。否则可能造成永久性神经损伤,甚至遗留肿瘤残余,使情况复杂化。因此首次手术决策至关重要。
医疗团队的选择依据
转折点出现在看到INC国际神经外科教授成功治疗的脑膜瘤患者案例视频。画面中患者行动自如、健身锻炼的神采,彻底改变了我对脑部手术的认知,也证明我的手术目标可以实现。
深入咨询后,巴特朗菲教授过往的病例数据让我坚定选择。"全切肿瘤、无神经损伤"这两个关键指标完全符合我的治疗需求。更幸运的是,恰逢教授在国内开展示范手术。
我迅速采取行动:
6月28日携全家从东北飞赴苏州
6月29日完成全部术前检查
6月30日按计划接受手术

记得术前谈话时,巴教授为让我理解手术方案,特意使用脑模型进行详细讲解。
术后康复过程
"开颅手术后竟能如此快速清醒!"在苏州大学附属第四医院ICU,术后数小时我便能用清晰语言交流,四肢活动自如,令医护人员惊讶不已。
"言语功能完全正常,肢体活动无碍,精神状态远超预期!"当巴特朗菲教授亲自查房确认肿瘤全切时,我激动不已——这是人生中最正确的决定。考虑到美观需求,巴教授仅剃除切口周围1厘米头发。术后第7天,我顺利出院。
回顾这段经历,我更加确信:面对疾病不仅需要勇气,更需要企业经营般的智慧、策略和执行能力。
若您也面临类似抉择,请记住:您比想象中更强大。主动选择适合自身的治疗方案,而非被动等待,才能真正掌控自己的健康命运。
- 所属栏目:脑膜瘤
- 如想转载““你的脑袋里有个东西。”38岁体检查出脑膜瘤,福兮祸兮,何去何从?”请务必注明来源和链接。
- 网址:https://www.incsg.com/huanzhegushi/naomoliu/7146.html
- 更新时间:2025-11-29 09:48:03


