7岁男孩被颅咽管瘤偷走的童年,如今正加速前进中!
发布时间:2026-03-21 21:08:11 | 阅读:次| 关键词:7岁男孩被颅咽管瘤偷走的童年,如今正加速前进中!
- [案例]“我不怕开颅!”7岁女儿的治疗之路,跨越1700多公里的求
- [案例]动脉瘤破裂出血危及生命?解析INC脑血管专家的血管重建
- [案例]头痛别再忍了,这5种头痛可能危及生命!
- [案例]中年健康危机:视力模糊背后的垂体瘤警示
- [案例]泌乳素瘤女性发病率超80%,她的青春期被按下了暂停键…
- [案例]风险大、手术难、预后不明?INC神外教授远程咨询,为疑
若儿童突然出现体重下降,原本活泼好动的状态转为持续疲惫,甚至在短期内身高增长停滞,此种情况对任何家庭而言均构成沉重打击。对于7岁男孩小宇的母亲来说,那段时期充满阴霾。孩子不再索要玩具,亦停止奔跑嬉戏,取而代之的是持续存在的头痛与呕吐症状。
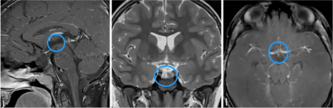
一份诊断书将整个家庭置于重大抉择关口——颅咽管瘤。该诊断带来巨大冲击。垂体作为深藏于大脑底部、承担内分泌调控中枢职能的微小器官,一旦遭受损伤,意味着儿童的生长、发育乃至日常生命活动均可能失去支持。值得庆幸的是,他们并未长时间沉溺于无助情绪,而是迅速开启了康复历程。
手术治疗历程
7岁的小宇原本属于活泼好动的儿童,然而于就诊前数月,其逐渐表现为沉默寡言与精神萎靡。家长观察到小宇体重出现不明原因减轻,原本稳步增长的身高亦陷入停滞状态,即便补充更多营养,也难以改善其面色苍白、身体虚弱的表现。每日放学回家后,他总是诉说疲惫感,随即倒头入睡,往日嬉戏追逐的活力已不复存在。
令家长更为担忧的情况是,就诊前四周,小宇开始频繁主诉头痛,有时疼痛程度剧烈至辗转反侧、无法入睡,甚至可能伴随呕吐症状,其精神状态呈现进行性恶化。目睹孩子遭受疾病折磨,家长倍感焦虑,携带小宇辗转多家医疗机构,经过全面检查与评估,最终确诊为全垂体功能减退,而根本病因正是颅咽管瘤。

此诊断结果带来巨大冲击,令小宇家人深感无助。他们了解到颅咽管瘤解剖位置特殊,手术操作难度极高,轻微不慎即可能损伤周边神经与组织,为孩子遗留终身功能障碍。怀揣最终希望,小宇家人带领他寻访施罗德教授。施罗德教授明确指出,尽管小宇的手术难度较高,但通过神经内镜微创手术技术,有望实现肿瘤完全切除,结合术后规范的激素替代治疗,患儿有望逐步恢复,重返正常生长发育进程。
经充分沟通并取得家长信任后,施罗德教授带领医疗团队制定了个体化手术方案。手术当日,施罗德教授借助神经内镜技术精准定位肿瘤位置,实施肿瘤的精细剥离,全程规避关键神经与组织,最终顺利完成肿瘤全切手术,整个手术过程平稳,术后小宇迅速脱离危险状态。
于术后康复阶段,医护人员密切监测小宇的身体变化,及时调整治疗方案,同时耐心安抚其情绪状态,鼓励他勇敢面对康复过程。在医疗团队的专业照护与家长的悉心陪伴下,小宇身体状况逐渐好转,头痛与呕吐症状完全消失,精神状态日益改善。
距离手术完成已过去两年时间,小宇坚持定期复查,影像学检查结果显示肿瘤无复发迹象,其身体状况持续好转。虽然目前仍在接受规范的激素替代治疗,但他已能够如同正常儿童般上学与玩耍,体重逐步恢复,身高也开始缓慢增长,面容重现灿烂笑容。

颅咽管瘤术后长期激素替代治疗解析
颅咽管瘤作为儿童鞍区常见良性肿瘤,术后患儿虽可获得长期生存,但肿瘤常对下丘脑-垂体功能造成不可逆性损伤。这类似于身体调控中枢受损,无法继续向各级腺体发送指令。因此,术后长期且精细的激素替代治疗构成保障患儿生存质量的核心环节,主要涉及以下五个关键方面:
-
糖皮质激素替代
该项替代治疗具有较高优先级。由于垂体分泌的促肾上腺皮质激素(ACTH)缺乏,肾上腺无法自主生成皮质醇。皮质醇属于人体应对应激状态(例如感染、手术、外伤)的核心激素。
-
甲状腺激素替代
肿瘤压迫常导致促甲状腺激素(TSH)分泌不足,引发中枢性甲状腺功能减退。患儿可表现为畏寒、反应迟钝、便秘、生长停滞等症状。通常应在糖皮质激素补充充分的基础上实施甲状腺激素替代,否则可能诱发肾上腺危象。治疗期间需定期监测血清游离T4水平而非TSH,据此调整药物剂量。
-
生长激素替代
生长激素缺乏是儿童颅咽管瘤术后常见临床表现之一,直接影响最终身高。研究证实,在术后病情稳定、无肿瘤残留或复发证据的前提下,适时启动生长激素替代治疗属于安全且必要的措施。国际多中心研究及荟萃分析表明,生理剂量的重组人生长激素替代有助于改善身高、增加肌肉含量、优化骨代谢。通常建议在术后3-6个月,经评估确认无进展风险后即可开始治疗。
-
抗利尿激素替代
下丘脑或垂体柄损伤极易导致中枢性尿崩症,临床表现为多饮、多尿、夜尿增多。尿崩症的管理难点体现于精细调节,既需防止饮水过量引发水中毒(低钠血症),又需避免水分丢失导致高钠血症。
-
青春期性激素诱导
对于进入青春期的患儿,促性腺激素缺乏将导致性发育停滞。在骨龄等指标达到适宜阶段后,需在专科医师指导下进行性激素替代治疗,诱导第二性征发育,实现由儿童至成人的过渡。

总而言之,颅咽管瘤的治疗并非仅依赖于单次外科手术,而是需要贯穿终身的系统管理。正如小宇的案例所展示,成功的神经外科手术为长期生存奠定基础,而规范且个体化的激素替代治疗,则为这份生存赋予了质量与尊严。
- 所属栏目:颅咽管瘤
- 如想转载“7岁男孩被颅咽管瘤偷走的童年,如今正加速前进中!”请务必注明来源和链接。
- 网址:https://www.incsg.com/huanzhegushi/luyanguanliu/7837.html
- 更新时间:2026-03-21 21:03:47


