【INC国际大咖研究成果】出生后第一年行后象限发育不良癫痫手术:单中心长期随访经验
发布时间:2025-10-20 11:19:42 | 阅读:次| 关键词:【INC国际大咖研究成果】出生后第一年行后象限发育不良癫痫手术:单中心长期随访经验
- [案例]脑干出血被判生存期仅剩1月?延髓海绵状血管瘤术后五年
- [案例]"我的脑动脉瘤无症状,是否需要立即治疗?" 11年后的
- [案例]9岁女儿扛过5cm脑海绵状血管瘤:从癫痫频发到重返校园,
- [案例]18岁女孩多发海绵状血管瘤赴德寻求巴教授术后1年随访
- [案例]突发晕厥伴意识丧失?术后4天,她成功脱险高危脑干背侧
- [案例]2周内肿瘤迅速增大,体积显著扩张!脑膜瘤恶变危机应对
INC国际儿童脑瘤大咖、世界小儿神经系统专业杂志 《Child´s Nervous System》现任主编Concezio Di Rocco教授发表研究《Epilepsy surgery of posterior quadrant dysplasia in the first year of life: experience of a single centre with long term follow-up》(出生后第一年行后象限发育不良癫痫手术:单中心长期随访经验),以下是研究简述。
后象限发育不良(PQD)是一种罕见的皮质发育不良变异类型,病变仅累及单侧半球后部区域,临床常表现为"灾难性"早发难治性癫痫。目前关于出生后12个月内进行手术治疗的报道仅限于零星个案。
2002年至2005年间,该中心共收治4例年龄小于1岁、药物难治性癫痫合并PQD的患儿,所有患儿均接受手术治疗。
随访结果显示:1例患儿全程无癫痫发作(Engel I级);其余3例出现癫痫复发,其中2例需要再次手术,1例经药物调整达到Engel II级,另外2例分别仅获得部分改善(Engel III级)和轻微减少(Engel IV级)。
本组病例的癫痫及神经心理结局主要受持续对侧间期放电影响,而非由手术时机决定。若初诊脑电图已存在对侧独立癫痫样放电,应向家长说明疗效的不确定性;尽管如此,发作频率仍有望下降,便于日常照护管理。

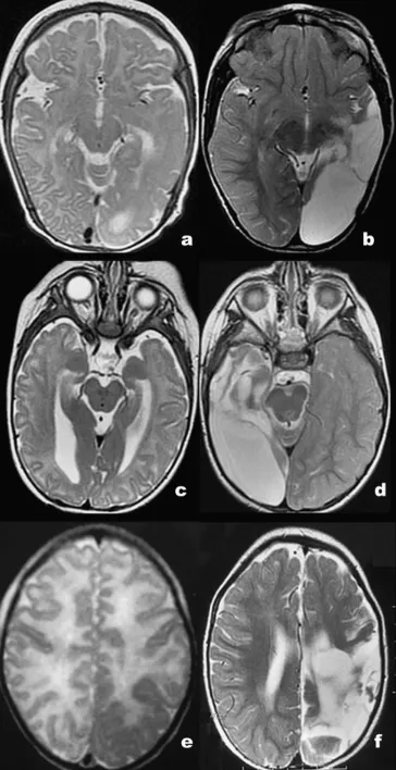
图1:病例1(a、b)、病例2(c、d)与病例3(e、f)术前(a、c、e)及术后(b、d、f)轴位T2加权成像显示患侧枕叶及颞顶叶容积缩小,伴弥漫性皮质不规则增厚。病例1和病例3以多小脑回为主,病例2为巨脑回;病变皮质与未髓化的皮质下白质相比呈轻度低信号。术后图像可见颞-顶-枕区脑脊液充填的手术残腔。

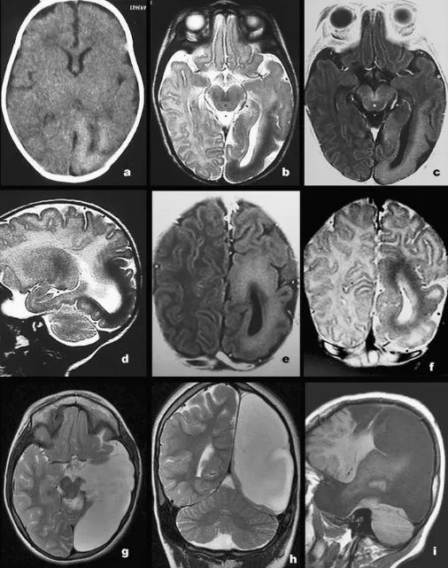
图2:病例4a轴位CT显示左侧颞叶、枕叶容积缩小,皮质显著增厚,以巨脑回为主;枕叶皮质光滑,脑沟回稀少,相对于未髓化的皮质下白质呈轻度高密度(CT)、T1高信号(b、e)、T2低信号(c、d、f);左侧侧脑室异常扩大。g-i术后MR(轴位T2、冠状T2、矢状T1)显示颞-顶-枕区脑脊液充填的手术残腔,病灶已完全切除。

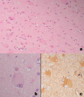
图3:代表性组织病理图像:a)皮质发育不良伴异常皮质构筑(H&E染色);b)高倍镜下可见气球细胞,胞质呈玻璃样嗜酸性,缺乏细胞突起(H&E染色);c)异位神经元周围突触素免疫染色强阳性,位于皮质下白质。
研究结论
对于药物难治性皮质发育不良患儿,即使病变累及多个脑叶(如象限型),早期手术仍是治疗核心方案。尽管样本量有限,本组研究证实:出生后数月内接受手术者,癫痫预后最重要的负性预测因素是术后持续存在的对侧慢波及阵发性快速异常脑电活动;该持续性对侧异常脑电同样独立于手术年龄,显著影响神经认知结局。相反,最终切除范围与远期预后并无明显关联。
关于作者

Concezio Di Rocco教授作为INC国际儿童脑瘤专家、世界小儿神经系统专业杂志《Child's Nervous System》现任主编,在其职业生涯中撰写或参与撰写了多部儿童神经外科重要著作。

- 所属栏目:癫痫
- 如想转载“【INC国际大咖研究成果】出生后第一年行后象限发育不良癫痫手术:单中心长期随访经验”请务必注明来源和链接。
- 网址:https://www.incsg.com/dianxian/6856.html
- 更新时间:2025-10-20 11:13:42


