出血型烟雾病手术后还会再出血吗?关键看这里!
发布时间:2026-04-15 09:40:24 | 阅读:次| 关键词:出血型烟雾病手术后还会再出血吗?关键看这里!
- [案例]基底节区海绵状血管瘤患者从瘫痪到露营:68岁女性治疗实
- [案例]脑干肿瘤“零并发症”全切、1天出ICU——INC国际教授突破
- [案例]从确诊恶性胶质瘤,到生活明显改善,她做对了这几件事
- [案例]8岁男孩车祸昏迷后动脉瘤破裂出血,INC川岛教授用“妙计
- [案例]开颅后,朋友问我怎么头发还在!脑膜瘤手术究竟是微创
- [案例]视力危机成功化解!全切视神经胶质瘤后重获彩色世界
出血型烟雾病是一种再出血风险极高、预后极差的疾病,一旦二次出血,患者极易落下残疾甚至面临生命危险。然而同样是出血型烟雾病患者,有人多年安稳,有人反复出血,风险相差悬殊。
有没有什么方法能提前判断谁更危险,手术究竟能不能把这个风险压下来?INC国际神经外科医生集团旗下世界神经外科专家团(WNEG)成员、脑血管搭桥手术权威川岛明次(Akitsugu Kawashima)教授曾发表一项日本成人烟雾病试验的预设亚组分析,给出了直接的结论:首次出血的位置,决定了再出血的概率,也决定了手术是否有必要做。

不同出血部位,走向截然不同
这项研究共纳入80例成人出血型烟雾病患者,依据第一次CT显示的出血部位,划分为两大类型。
前部出血:位于基底节、额叶、侧脑室前部等区域,根源在于大脑前动脉或中动脉穿支血管的破裂。后部出血:位于丘脑、枕叶、侧脑室后部等区域,主要源于大脑后动脉或脉络膜动脉异常分支的破裂。

完成分组后,一部分患者接受直接搭桥手术(颞浅动脉-大脑中动脉吻合),另一部分仅采用药物保守治疗,并随访5年。结果显示:在单纯药物治疗组中,后部出血患者的年再出血率高达17.1%,是前部出血患者(3.0%/年)的近6倍。这意味着,对于后部出血的患者而言,一味保守等待风险极大。
搭桥手术有效果吗?
针对后部出血患者,搭桥手术带来的收益非常明确。接受手术后,再出血等不良事件的发生风险相较单纯药物治疗下降了93%。
前部出血患者的情况则复杂得多。数据层面,手术组与药物组之间未见统计学意义上的显著差异,手术组的风险比甚至达到1.62。尽管这一数值在统计学上不构成有效结论,但趋势指向的方向并不令人放心——手术组的风险似乎略偏高。对于前部出血的患者,是否需要手术、手术的优越性是否成立,都需要更谨慎细致地评估。
为何两种部位差异如此之大?
烟雾病患者的颅内出血,绝大多数并非大血管直接破裂,而是那些为代偿大动脉闭塞而异常增生的侧支血管所致。这些侧支管壁菲薄,结构脆弱,在血流冲击下随时可能崩裂。
后部出血与后循环系统的异常扩张密切相关,尤其是脉络膜后动脉、丘脑穿支动脉等分支。这些血管管径较粗,血流动力学负荷本就偏高,形成的侧支网络格外脆弱,反复出血的风险也因此居高不下。
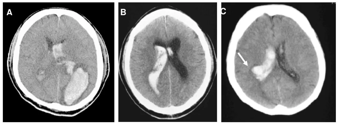
后部出血的代表性 CT 图像

A:顶叶及枕叶出血 | B:原发性脑室内出血(后部分布型)C:侧脑室后部室管膜下区出血(箭头所示)

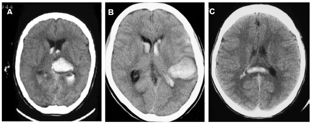
A:丘脑出血 | B:颞叶后半部出血 | C:胼胝体后半部出血
前部出血的来源则更加多元,包括豆纹动脉等形成的经典烟雾状血管网络。这类区域的血流动力学环境与后循环明显不同,所受压力相对较低,破裂出血的风险也相应较小。
前部出血的代表性 CT 图像

A:壳核出血 B:尾状核头出血 C:额叶出血 D:颞叶前半部分出血

A:侧脑室前部室管膜下区出血;B:脑池前半段蛛网膜下腔出血;C:起源不明、弥漫分布的原发性脑室内出血
颞浅动脉-大脑中动脉吻合搭桥手术的血流改善范围,主要集中于大脑中动脉供血区域。这一特性恰好能为那些起源于后循环、向前延伸并与前循环建立连接的脆弱侧支"卸压"。压力降低之后,这些血管的破裂风险也随之减小。
从粗放治疗到精准决策
这项研究样本量虽然只有80例,但它是目前唯一针对烟雾病出血问题的随机对照试验预设亚组分析,参考价值不低。研究给出了几条非常实用的临床提示。
首次出血发生后,应尽快通过头颅CT明确出血的具体部位。若出血位于丘脑、枕叶或侧脑室后部等后部区域,提示再出血风险偏高,应主动评估手术干预的可行性。搭桥手术对后部出血患者的保护效果相当突出,可将再次出血风险压低90%以上;而对于前部出血患者,单纯药物保守治疗或许已经足够,手术必要性需要更谨慎地权衡。原发性脑室内出血或单纯蛛网膜下腔出血这两类情况同样不能忽视,依据血肿分布范围及出血位置,也可纳入前部或后部的分类体系,适用相同的风险评估逻辑。
总体来看,烟雾病的治疗决策正从简单的"要不要手术"二元判断,向更精细化的方向演进。这项研究为这一转变提供了关键证据:后部出血患者本质上具有更高的再出血风险,从搭桥手术中的获益也比前部出血患者更为显著。

参考文献:Akitsugu Kawashima et al. Significance of the Hemorrhagic Site for Recurrent Bleeding: Prespecified Analysis in the Japan Adult Moyamoya Trial. Stroke. 2016;47:37-43.
- 所属栏目:烟雾病
- 如想转载“出血型烟雾病手术后还会再出血吗?关键看这里!”请务必注明来源和链接。
- 网址:https://www.incsg.com/yanwubing/8025.html
- 更新时间:2026-04-15 09:25:49


