10岁女孩头痛背后藏危机:竟是儿童烟雾病早期信号?
发布时间:2025-11-05 10:06:27 | 阅读:次| 关键词:10岁女孩头痛背后藏危机:竟是儿童烟雾病早期信号?
- [案例]中脑脑干海绵状血管瘤怎么治疗?中年男士海绵状血管瘤
- [案例]2周内肿瘤迅速增大,体积显著扩张!脑膜瘤恶变危机应对
- [案例]泌乳素瘤女性发病率超80%,她的青春期被按下了暂停键…
- [案例]“虽小,却危及性命” 脑干海绵状血管瘤出血成功手术重
- [案例]一只眼睛无法睁开,为何会演变为脑出血进入ICU,甚至危
- [案例]颈髓室管膜瘤手术难度大吗?高段位颈髓室管膜瘤手术全
当儿童主诉头痛时,家长初始反应多为感冒疑似。然而罕见的脑血管疾病烟雾病,其临床表现可能仅为反复头痛,但实际病理过程正悄然损伤脑组织。该疾病导致颅内血管进行性狭窄甚至闭塞,若未及时干预,可能引发脑梗死并影响智力发育。
此前,INC国际神经外科医生集团旗下世界神经外科专家团(WNEG)成员、圣路加国际医院神经外科主任川岛明次(Akitsugi Kawashima)教授团队发表病例报告,为儿童烟雾病早期治疗提供关键参考:即使患儿脑血流暂时正常且仅表现为头痛症状,早期手术干预仍可有效缓解症状并预防脑损伤。

01 头痛症状背后的潜在危机:罕见烟雾病确诊历程
病例报告中10岁女性患儿小优,自幼出现反复头痛发作。家长多次带其就医排查,未见感冒征象、外伤史、肢体无力、抽搐发作或视力模糊等神经系统症状,初期曾误诊为偏头痛。
直至10岁时,医生建议进行MRI(磁共振成像)及MRA(磁共振血管造影)检查,影像学结果提示右侧单侧烟雾病可能。为明确诊疗,患儿转诊至川岛教授所在医院,经详细检查确认:

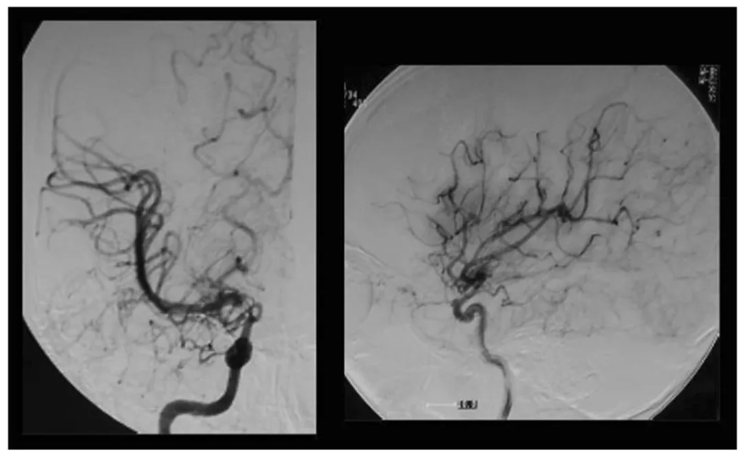
图1术前右颈动脉血管造影显示颈内动脉末端顶部烟雾血管形成,左图为前后位投照,右图为侧位投照
血管造影结果显示:右侧颈内动脉末端存在狭窄,颅内形成典型烟雾状血管,病情处于铃木分期II期(早期阶段),趋近III期进展;左侧血管目前未见异常。(图1)
脑血流检查(XeCT,氙气计算机断层扫描):静息状态下脑血流量基本正常,药物负荷后脑血管反应性轻度下降,但未出现明显缺血区域。(图2)

图2术前脑血流检查显示静息状态下双侧脑血流无显著差异(a),乙酰唑胺注射后右侧大脑中动脉供血区脑血管反应率为14.8%(b)
综合检查表明:患儿当前临床症状虽仅为反复头痛,但脑血管已出现病理改变,尚未达严重缺血程度。此种情况构成临床决策难点:是否需行手术干预?
烟雾病定义:进行性闭塞性脑血管疾病,特征为双侧颈内动脉末端分叉处狭窄,伴大脑前动脉和大脑中动脉异常,以及广泛侧支循环血管(烟雾状血管)形成。
严重缺血后果:颅内血管狭窄或闭塞影响脑血流灌注,导致短暂性脑缺血发作或脑梗死。临床表现为突发肢体无力、言语障碍或视力模糊,症状通常在24小时内缓解,但反复发作可致永久性神经功能缺损。
02 未达严重缺血标准的手术干预依据
传统烟雾病治疗策略中,手术指征限于明显缺血症状(如短暂性肢体麻木、视力下降、脑梗死)或脑血流显著降低病例。对于早期仅表现为头痛、脑血流正常的患儿,手术必要性存在争议。
川岛教授团队经综合评估后提出手术建议,核心依据包括三点:
头痛可能为早期缺血信号:虽脑血流暂时正常,但脑血管反应性下降提示轻度缺氧可能,头痛或为脑梗死前兆;
疾病具有进展特性:研究显示25%-58.8%儿童单侧烟雾病将发展为双侧病变,进展后缺血发作频率显著增加,脑梗死可导致不可逆的日常生活能力及智力损伤;
早期干预优于被动等待:在出现缺血症状前通过手术改善脑灌注,可规避后续神经功能损伤风险。
最终团队为患儿实施颞浅动脉-大脑中动脉双吻合术(STA-MCA双吻合术),通过将头皮供血血管与颅内缺血血管连接,建立新的脑血流通道。
03 手术治疗效果与长期预后
手术顺利完成,患儿术后恢复平稳,未出现并发症。困扰多年的严重头痛症状消失。
术后7个月复查血管造影显示(图3):新建血管通畅良好,颈外动脉血流经搭桥血管有效灌注至右侧大脑中动脉区域,证实手术不仅缓解症状,更从根本上改善脑组织血流灌注。

图3术后右侧颈动脉血管造影显示:经右侧颈外动脉的搭桥血管向大脑中动脉(MCA)和大脑前动脉(ACA)供血不足区域供血。(a)右侧颈内动脉正位观;(b)右侧颈内动脉侧位观;(c)右侧颈外动脉正位观;(d)右侧颈外动脉侧位观
儿童烟雾病早期干预要点:
反复头痛需超越偏头痛诊断:伴发短暂肢体无力、视力模糊时建议头部MRI+MRA检查,排除烟雾病等脑血管病变;
早期病变不应等待观察:即使脑血流正常,需评估脑血管反应性及病变进展风险;
手术核心价值在于预防:通过改善脑灌注避免脑梗死及智力损伤,保障长期脑健康。
烟雾病虽属罕见病,但对儿童危害显著。遵循“早发现、早评估、早干预”原则对儿童脑血管疾病管理至关重要。
文献来源:
Kawashima A et al. Early surgical treatment benefits early staged pediatric moyamoya disease-single case report. Childs Nerv Syst DOI 10.1007/s00381-015-2709-3
INC国际神经外科专家川岛明次教授简介
作为INC世界神经外科专家团(WNEG)成员,擅长脑卒中、烟雾病、颅底肿瘤、面肌痉挛/三叉神经痛、颅内血肿、巨大脑动脉瘤、脑动静脉畸形等疾病治疗,专精于脑血管搭桥术及颈内动脉内膜切除术。

神经外科手术经验:
烟雾病脑血管搭桥手术:1300例
脑动脉瘤夹闭手术:1000例
脑血管畸形切除术:500例
颈内动脉内膜切除术:450例
开颅脑瘤切除术:280例
颅后窝搭桥术及High-flow Bypass技术等
- 所属栏目:烟雾病
- 如想转载“10岁女孩头痛背后藏危机:竟是儿童烟雾病早期信号?”请务必注明来源和链接。
- 网址:https://www.incsg.com/yanwubing/6974.html
- 更新时间:2025-11-05 09:50:10
- 上一篇:烟雾病年轻患者备受头痛折磨,STA-MCA吻合术或成“解痛关键”!
- 下一篇:没有了


