29岁的她遭遇双重健康危机:甲亢遇上烟雾病,罕见叠加竟引发致命脑梗死!
发布时间:2026-01-11 09:45:17 | 阅读:次| 关键词:29岁的她遭遇双重健康危机:甲亢遇上烟雾病,罕见叠加竟引发致命脑梗死!
- [案例]耳鸣1年被误诊为听神经瘤,巴特朗菲教授:“没有肿瘤!
- [案例]再凶险易复发的脑瘤,也怕一个“熬”到底的人,我如何
- [案例]15岁少年“学到吐”,核磁惊现巨大肿瘤!医生:是从鼻子
- [案例]81岁老年人成功挑战高风险脑膜瘤切除术,术后4天出院
- [案例]11cm巨大脑膜瘤,广泛侵犯窦汇、上矢状窦、横窦、颅骨及
- [案例]脑MRI如何判断胶质瘤良恶性?临床实例解析影像诊断关键
现代生活快节奏与持续压力环境使甲状腺疾病逐渐成为女性群体常见健康问题。甲状腺功能亢进(甲亢)与甲状腺功能减退(甲减)因早期症状不典型,常被患者忽视规范治疗。在极少数临床案例中,这种常见慢性疾病可能与罕见病症共同作用,形成致命风险。
29岁女性患者梨佳(化名)病例呈现典型双重疾病打击:未治愈的甲亢与突发烟雾病共同导致双侧脑梗死。经过系统治疗,患者最终实现康复。该病例来源于INC国际脑血管搭桥手术专家川岛明次(Akitsugu Kawashima)教授研究团队发表的研究报告,重点关注"甲亢相关烟雾病"特殊患者群体。

疾病机制与病理基础
甲状腺功能亢进(甲亢)
甲亢作为自身免疫性疾病,特征表现为甲状腺激素分泌过量。女性患病率为男性的3-4倍,与女性激素波动及压力敏感性相关。典型临床症状包括心悸、手部震颤、体重下降、焦虑易怒等。需要注意的是,甲亢不仅是甲状腺器官病变,还可能通过代谢紊乱和免疫机制影响全身多系统,包括脑血管功能。
烟雾病
烟雾病属于罕见脑血管异常疾病,核心病理特征为大脑Willis环周围血管进行性狭窄,脑底部形成代偿性"烟雾状"异常血管。该疾病易引发脑缺血或脑出血事件,严重时威胁生命。
当甲亢与烟雾病共存时,病情复杂程度显著增加。川岛明次教授研究团队发现,活动性甲亢状态可能急剧加速烟雾病血管病变进程,诱发致命性脑梗死。
病例诊疗过程详解
患者梨佳初始因心慌、手颤、不明原因体重下降就诊,确诊为格雷夫斯病所致甲亢。因工作繁忙,患者仅间断服药,未规范治疗。
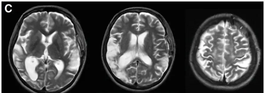
随后患者出现频繁头晕、偶发肢体麻木症状,初期误认为工作疲劳所致。直至症状加重至行走不稳、视物模糊,才紧急就医。影像学检查显示双侧大脑半球进行性脑梗死,脑血管呈现烟雾病典型"血管狭窄闭塞+烟雾状异常血管"改变。医疗团队判断,未受控制的活动性甲亢加速了血管病变,导致潜在烟雾病急性发作。

术前血管造影(双侧颈总动脉正位图)显示双侧颈内动脉末端存在"烟雾血管狭窄征象",双侧大脑中动脉(MCA)狭窄(左侧明显)。术前Xe-CT检查显示双侧MCA区域脑血流减少(右侧15.9,左侧22.8ml/100g/min)。
甲亢与烟雾病共存创造治疗困境:甲亢需要控制甲状腺激素水平,而烟雾病所致脑缺血急需手术改善血流。活动性甲亢状态会增加手术风险,包括脑出血风险和过度灌注综合征可能。
川岛教授团队实施分阶段治疗策略:
首要控制甲亢:加强抗甲状腺药物治疗70天后,患者甲状腺激素水平达到手术安全范围
血管搭桥手术:甲状腺功能稳定后,实施颞浅动脉-大脑中动脉(STA-MCA)双搭桥术,成功改善脑部血流

术后23天MRI复查未发现新发缺血性或出血性病变,恢复状况良好。
术后复查显示患者脑部供血明显改善,肢体麻木、视物模糊等症状逐渐消失。出院后坚持规范服用抗甲状腺药物,定期复查,目前已恢复正常工作生活。
基因检测与深层机制分析
为探究患者早发、重症病因,医疗团队进行RNF213基因全编码区测序。检测发现患者携带RNF213基因两个特定变异位点。RNF213是已知与烟雾病(尤其东亚人群)发病密切相关的易感基因,而甲亢成为疾病发作的"诱发因素"。
这一发现提示,先天遗传背景可能是个体患病风险与临床表现差异的内在基础。对于早发、重症或有家族史患者,基因检测有助于全面评估病情。
治疗策略与临床建议
川岛教授团队对8例类似患者的研究表明,对于烟雾病合并甲亢患者,优化甲状腺功能后实施血管搭桥术,可成功预防脑缺血事件。
手术时机选择至关重要:甲状腺功能亢进期间应避免手术,但控制甲状腺激素的时间不宜过长,以免延误血运重建手术加重脑缺血风险。研究中从开始甲状腺激素治疗到实施重建手术的平均时间为4.7个月。
甲亢与烟雾病早期症状往往隐匿而不典型。甲亢可能仅表现为心悸、手颤;烟雾病早期可能仅出现偶发头痛。建议采取以下预防措施:
定期体检:普通人群每年进行甲状腺功能检查和颈动脉超声检查
重视慢性病:已确诊慢性疾病(如甲亢)应规范治疗、定期监测
关注家族史:甲状腺疾病和烟雾病均有家族聚集倾向,相关家族史人群应提高警惕
及时就医:出现不明原因头痛、肢体无力、言语障碍等症状时应及早就诊
罕见病与常见病的叠加发生虽少见,但通过规范健康管理、及时干预,可最大程度降低风险。健康管理需通过定期体检和遵医嘱治疗实现持续维护。
文献来源:
Akitsugu Kawashima et al. Rare and Low-Frequency Variants in RNF213 Confer Susceptibility to Moyamoya Syndrome Associated with Hyperthyroidism
专家团队介绍
INC国际神经外科医生集团旗下世界神经外科专家团(WNEG)成员、世界脑血管搭桥手术专家、圣路加国际医院神经外科主任川岛明次(Akitsugu Kawashima)教授,擅长脑卒中、烟雾病、颅底肿瘤、面肌痉挛/三叉神经痛、颅内血肿、巨大脑动脉瘤、脑动静脉畸形等疾病治疗,特别专长脑血管搭桥术和颈内动脉内膜切除术。

神经外科手术经验:
烟雾病脑血管搭桥手术:1300例
脑动脉瘤夹闭手术:1000例
脑血管畸形切除术:500例
颈内动脉内膜切除术:450例
开颅脑瘤切除术:280例
颅后窝搭桥术、High-flow Bypass技术等
- 所属栏目:烟雾病
- 如想转载“29岁的她遭遇双重健康危机:甲亢遇上烟雾病,罕见叠加竟引发致命脑梗死!”请务必注明来源和链接。
- 网址:https://www.incsg.com/yanwubing/7433.html
- 更新时间:2026-01-11 09:40:14


