十年来3次手术2次放疗,听神经瘤为何依然卷土重来?
发布时间:2026-01-30 14:35:53 | 阅读:次| 关键词:十年来3次手术2次放疗,听神经瘤为何依然卷土重来?
- [案例]“我的天,我做过手术吗?!”海绵窦区肿瘤术后当天,
- [案例]为避免终身依赖呼吸机,我选择接受高难度脑干手术
- [案例][脑干胶质瘤案例]5岁宝宝脑干延髓区占位病变案例
- [案例]暴胖40斤、日尿5升!病理报告两度反转——35岁壮年遭遇颅
- [案例]INC巴教授“禁区”手术图解案例六 | 全切巨大桥脑海绵状
- [案例]良性又令人害怕?垂体瘤侵袭视神经、压迫脑室,一次全
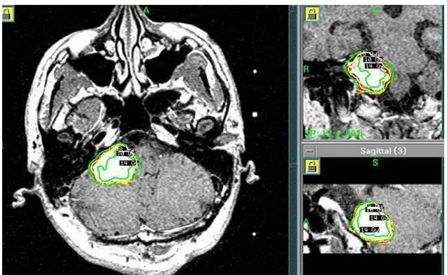
2004年5月,患者确诊为听神经瘤并接受首次开颅手术。术后病理检查确认诊断,初期治疗显示右侧桥小脑角区肿瘤呈现不均匀强化表现。为控制术后残留病灶,2005年8月实施伽玛刀治疗。2007年5月随访发现肿瘤再次进展,遂行第二次开颅手术。
患者坚持每六个月一次的临床和影像学复查。2014年4月,症状加重并显示肿瘤生长,进行第三次手术。术后病理诊断结果为恶性周围神经鞘瘤。患者右耳听力严重受损,纯音听阈达到58.5分贝,伴有持续头晕症状和性格改变。
治疗历程与影像学随访
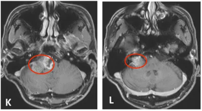
2004年4月初始MRI显示右侧桥小脑角区肿瘤不均匀强化。2005年8月首次术后、伽玛刀治疗前影像资料记录肿瘤状态。2007年5月第二次术前MRI评估显示肿瘤进展,术后一个月影像确认切除范围。



定期随访影像资料(图1 E-J)完整记录2008-2013年肿瘤变化情况。2013年末至2014年初复查显示肿瘤再次生长,2014年4月术前MRI显示肿瘤不均匀强化伴脑干受压。术后两个月随访影像确认次全切除结果。




复发因素与治疗挑战分析
该病例揭示听神经瘤治疗中的严峻挑战:即使经过多次手术和放疗干预,肿瘤仍存在复发和恶变风险。医学研究显示,伽玛刀放射外科治疗后虽罕见但确实存在恶性变可能。一项回顾性研究分析39例接受立体定向放疗后复发患者,其中92.3%病例表现出肿瘤再次生长。
放疗后可能出现的新症状包括耳聋(41%)、头晕(35.9%)、面部麻木(25.6%)等。放疗后再手术面临更大技术挑战,因神经与肿瘤粘连增加导致面神经分离困难。放疗还可能引起脑神经损伤、脑积水、脑水肿或脑坏死等并发症。
临床治疗建议与预后管理
听神经瘤手术中,首次治疗决策具有关键意义。现代治疗目标在保证肿瘤切除的同时,越来越重视神经功能保留。主刀医生的经验技术对治疗效果产生重要影响,经验丰富的神经外科医生能更好识别肿瘤与神经界面。
接受伽玛刀治疗患者需警惕病情进展风险,严格遵守医嘱进行定期复查。一旦发现肿瘤生长迹象,应及时采取规范干预措施。良性肿瘤治疗需要科学决策和规范管理,避免病情延误。
案例来源:Malignant transformation of a vestibular schwannoma to malignant peripheral nerve sheath tumor 10 years after Gamma Knife Surgery: Case report. Interdisciplinary Neurosurgery. 2019
- 所属栏目:听神经瘤
- 如想转载“十年来3次手术2次放疗,听神经瘤为何依然卷土重来?”请务必注明来源和链接。
- 网址:https://www.incsg.com/tingshenjingliu/7549.html
- 更新时间:2026-01-30 14:26:45
- 上一篇:听神经瘤能长多大?Hannover分型是什么?
- 下一篇:没有了


