脑脊液hCG升高不是生殖细胞瘤?一个极易混淆的松果体母细胞瘤
发布时间:2026-03-14 09:49:21 | 阅读:次| 关键词:脑脊液hCG升高不是生殖细胞瘤?一个极易混淆的松果体母细胞瘤
- [案例][脑肿瘤案例]怀胎七月患多发性胶质母细胞瘤,终得德国教
- [案例]五大关键点,助力脊索瘤治疗与控制,迈向“治愈”之路
- [案例]当眩晕呕吐不止,治疗却要赌上偏瘫风险?她该如何闯过
- [案例]全切岩斜坡脑膜瘤:INC国际施罗德教授案例纪实
- [案例]儿童反复头痛、还可能智力下降!脑血管病-烟雾病的“无
- [案例]从疑似“感冒”到瘫痪状态,12岁女儿脑干血管瘤突发出血
人绒毛膜促性腺激素(hCG)属于一种可在多种肿瘤类型中异常分泌的激素,颅内生殖细胞肿瘤亦包含在内。在松果体区肿瘤的鉴别诊断中,hCG是一项关键的肿瘤标志物。临床实践中,轻度升高通常提示含有合体滋养层细胞的生殖细胞瘤,而显著升高则表明存在绒毛膜癌或伴有滋养层分化的混合性生殖细胞肿瘤。
尽管组织病理学确认依然是诊断的金标准,但松果体特殊的解剖位置使得活检操作极具挑战性。在某些特定情况下,诊断可能依赖于临床、影像学及生化发现(包括脑脊液β-hCG水平)的综合判断。然而,松果体区肿瘤的鉴别诊断范围还包括其他松果体实质的原发性肿瘤,这些肿瘤在预后与治疗管理策略上存在显著差异。本文报道一例伴有意外升高的脑脊液β-hCG水平的松果体母细胞瘤,此种情况可能导致误诊为颅内生殖细胞瘤。此类病例凸显了开发新型、无创生物标志物以提高颅内肿瘤诊断准确性的迫切需求。
一、松果体区肿瘤脑脊液hCG诊断价值解析
松果体区最为常见的肿瘤,按发生频率递减排序,依次为:生殖细胞肿瘤、松果体实质原发性肿瘤以及胶质瘤——各自具有截然不同的预后与治疗策略。在影像学研究中,松果体母细胞瘤通常表现为边界不清、形态不规则、细胞密集的肿块。此类肿瘤可能包含囊肿或坏死区域,常通过脑脊液途径播散,并显示明显的、不均匀的强化。传统上,它们以钙化散在分布于周边区域为特征,这一特征与松果体细胞瘤共有,但与松果体生殖细胞瘤存在差异。松果体生殖细胞瘤通常包含松果体钙化而非使其分散。组织病理学检查仍然是确立明确诊断的金标准,但由于松果体区位置深在,活检操作有时面临挑战。
肿瘤标志物的分泌——甲胎蛋白、总人绒毛膜促性腺激素及其游离β亚单位——在实际临床工作中,当有相符的临床和影像学证据支持时,被认为足以诊断分泌性生殖细胞肿瘤。hCG是一种可能由生殖细胞肿瘤中的合体滋养层细胞分泌的激素。当在血液中检测到其水平超过特定阈值,或在脑脊液中检测到该激素时,即使缺乏组织病理学确认,也可确立生殖细胞肿瘤的诊断。然而,能够可靠支持颅内生殖细胞瘤诊断的hCG阈值目前仍存在争议。
二、25岁女性松果体区肿瘤诊断迷雾案例
一名25岁女性患者,无显著既往病史,最初因慢性紧张型头痛接受脑部磁共振成像检查。影像学结果显示松果体区存在一个软组织病变,对周围脑实质未产生占位效应。医疗团队建议采取保守观察策略。
六个月后,患者因颅内压增高体征被紧急收治入院,该体征在数月内呈进行性加重趋势。增强脑磁共振成像证实存在一个小于2厘米的松果体强化肿块,表现为弥散受限、伴有小囊肿以及后颅窝弥漫性软脑膜强化。CT扫描未见钙化迹象。患者未出现梗阻性脑积水。

图:影像学检查。A:轴位计算机断层扫描显示中等高密度的松果体病变,无钙化。磁共振成像检查证实存在高细胞密度的松果体病变,并显示病变的晚期软脑膜播散。
脊柱磁共振进一步显示广泛的软脑膜播散已延伸至马尾神经根。初次腰椎穿刺检查显示淋巴细胞性脑膜炎,脑脊液细胞计数为20个/微升,蛋白水平为2.29克/升,糖水平为0.91毫摩尔/升。患者最初按照神经脑膜结核进行治疗,后因结核分枝杆菌PCR和培养结果均为阴性,且在治疗下未见临床改善,被转诊至神经肿瘤科。第二次腰椎穿刺显示脑脊液中肿瘤标志物水平如下:hCG 27 IU/L,游离β-hCG 1.97 IU/L,甲胎蛋白 1.0 µg/L。值得注意的是,血清中hCG、游离β-hCG和甲胎蛋白水平均未检出,这使得外周来源(如妊娠或卵巢滋养层肿瘤)的可能性极低,提示为颅内起源的鞘内分泌。
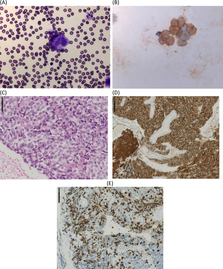
最初,临床医生提出了颅内生殖细胞瘤的诊断。然而,脑脊液细胞学检查发现了表达突触素的异常细胞,这引起了对松果体实质肿瘤的怀疑。

图:病理学检查结果。A: MGG脑脊液细胞学,显示高核质比的肿瘤细胞。B: 突触素免疫组化:所有肿瘤细胞均呈阳性。C: 高细胞密度肿瘤,细胞小,核质比高。D: 突触素弥漫性表达。E: 高增殖活性。
随后,患者接受了软脑膜开放活检,病理结果确诊为原始松果体实质肿瘤。基因panel分析显示低动态特征,未发现DICER1、DROSHA和KBTBD4基因变异。甲基化谱分析结果支持松果体母细胞瘤的诊断。回顾性分析了神经元特异性烯醇化酶和嗜铬粒蛋白A水平,显示脑脊液/血清比值分别为7和45,这进一步支持了神经内分泌肿瘤活跃的鞘内肿瘤分泌。
三、β-hCG升高的诊断陷阱与特异性局限分析
根据世界卫生组织2021年分类标准,颅内恶性生殖细胞肿瘤依据肿瘤标志物产生情况被划分为分泌型和非分泌型。甲胎蛋白的显著升高提示存在卵黄囊瘤成分,而人绒毛膜促性腺激素的显著升高则反映了合体滋养层细胞成分。这些发现通常可明确诊断分泌性颅内生殖细胞肿瘤。相比之下,纯生殖细胞瘤通常是非分泌性的,但可能因含有合体滋养层细胞而表现出低水平的β-hCG。最后,成熟性和未成熟性畸胎瘤虽然是恶性生殖细胞肿瘤谱系的一部分,但除非伴有混合性组织学成分,否则通常是非分泌性的。
考虑到治疗决策的重要意义,应仔细审视导致hCG检测结果假阳性的潜在原因。例如,Rotmensch等人报告了一系列12名女性患者,她们仅基于血清β-hCG升高而接受化疗,被怀疑为妊娠后绒毛膜癌,后来发现是由于异嗜性抗体导致的假性升高。文献中报道了许多其他导致hCG升高的原因,最明显的是肾功能衰竭,此外还包括自身免疫性疾病和肝功能衰竭,但程度相对较轻。在本例患者中,抗结核治疗引起的药物性肝细胞损伤可能促进了hCG水平的升高。
需要明确指出的是,生殖细胞肿瘤并非唯一与血清和脑脊液hCG水平升高相关的颅内肿瘤。已知颅咽管瘤偶尔会将hCG分泌到脑脊液中。此外,其他几种颅内肿瘤已被证明在其囊性成分中产生hCG,包括垂体腺瘤、蛛网膜囊肿和肺癌转移。然而,据我们所知,在这些肿瘤类型中尚未报道过脑脊液hCG水平升高的现象。
四、结论
该案例充分说明,低水平的hCG不应被用作独立的诊断标志物。它强化了脑活检在复杂病例中确立明确诊断、以避免对松果体区病变患者进行不恰当治疗的关键作用。这些病例也强调了开发新型无创诊断工具用于松果体区肿瘤的必要性。在脑活检不可行的情况下,诊断评估应依赖于影像学特征、细胞学标志物以及包括miRNA和可能的ctDNA在内的新型生物学标志物的组合应用。
参考资料:Elevation of hCG in CSF in pinealoblastoma: a pitfall rescued by pathological examination. Acta Neuropathol Commun. 2025 Nov 21;13:240. doi: 10.1186/s40478-025-02148-z
- 所属栏目:松果体肿瘤
- 如想转载“脑脊液hCG升高不是生殖细胞瘤?一个极易混淆的松果体母细胞瘤”请务必注明来源和链接。
- 网址:https://www.incsg.com/songguotiliu/7779.html
- 更新时间:2026-03-14 09:45:17


