脑瘤手术需要几个小时?手术中都发生了什么?
发布时间:2025-10-16 11:36:09 | 阅读:次| 关键词:脑瘤手术需要几个小时?手术中都发生了什么?
- [案例]8岁男孩腰背不适疑为风湿病,罕见脑瘤“DL-GNT”引关注
- [案例]40岁独子不幸罹患脑干海绵状血管瘤,老父亲寻医巴教授术
- [案例]当母亲看到开颅术后的儿子:切完脑瘤后居然跟没事儿人
- [案例]INC巴教授“禁区”手术图解案例二 | 全切中脑胶质瘤-多形
- [案例]压迫垂体的侵袭性颅咽管瘤,国际神外大咖一次手术如何
- [案例]3岁儿童巨大脑瘤全切纪实:家长必须知晓的早期预警信号
“脑瘤手术大约需要多长时间?”这几乎是每位患者或家属术前都会向医生提出的问题。医生的答复可能为:“若手术进展顺利,通常需要5小时左右。”次日,患者早早被推入手术室,直至下午仍未返回。自进入手术室起已过去8小时,仍未见患者身影。家属开始焦虑:“已经8小时了,为何还没结束?昨日医生不是说大约5小时吗?是否手术出现了问题?”

实际情况是,患者通常询问的“手术时间”常指从进入手术室到离开的全程(door-to-door),而医生回答的手术时间一般仅指皮肤切开至缝合的实际操作时间(skin-to-skin)。因此可能出现这种情况:患者进入手术室后根据安排可能停留十余小时,但医生实际手术操作时间仅数小时。“Door-to-Door”时间涵盖患者从进入手术室到离开的全过程,包括麻醉准备、术中操作及术后复苏等环节。而“Skin-to-Skin”时间特指手术刀切开皮肤至缝合结束的实际操作时长。
当然,盲目追求速度是否合理?需要高效,但绝非盲目求快!要实现高效,所有步骤必须紧密衔接,一切需恰到好处。但显然,这仅是理想状况。理想与现实总存在差异,手术中难免遭遇各种困难。事实上,除手术时间外,患者及家属更关心手术切除率、并发症发生情况及术后恢复质量等,简而言之即手术成功率。
开颅手术步骤解析:为患者构建新生之路
“将大象放入冰箱需要几步?”这一经典幽默问题,您或许听过。标准答案为三步:打开冰箱门、放入大象、关闭冰箱门。简单至小学生均可回答的问题,却令成年人在发笑之余产生疑惑。
原因何在?因为我们的大脑总会不自觉代入现实逻辑,例如:大象体型多大?冰箱容量多少?如何搬运?问题关键不在“脑筋急转弯”本身,而在于我们面对复杂任务时常先思考能否实现?如何实现?以及如何采用更简化的方法解决问题。
回归脑瘤外科手术,总体分为三步:第一步开颅,第二步切除肿瘤,第三步关颅。实际包含无数细节:脑瘤位置在哪里?尺寸多大?是否与神经血管粘连?如何保护功能?能否实现全切?若无法全切,又该如何处理?
为解决这些问题,从术前完善的各项检验检查及手术入路规划,到术中一丝不苟的精准操作,神经电生理医生的全程监护,麻醉医师的严格血压控制,再到术后ICU护理团队的专业支持,环环相扣!正如神经外科的至高追求“让大脑意识不到曾经历手术”。唯有每个步骤万无一失,患者才能稳步康复!一钳一剪的偏差,都可能带来无法挽回的遗憾。
脑瘤手术案例分享
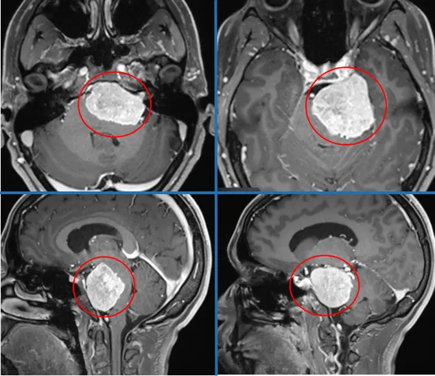
以下案例中的脑瘤是否体积巨大、位置不佳?岩斜区脑膜瘤,已挤压脑干。已知岩斜区脑膜瘤沿上2/3斜坡生长,位于颈静脉孔上方,岩斜区颅神经孔内侧。瘤体被脑干、基底动脉、III-VIII对颅神经、蝶鞍等众多神经血管结构紧密包围,该部位难以接近,手术入路设计尤为困难。
随着岩斜区脑膜瘤持续生长,可将脑干向后方及对侧推挤,与基底动脉分支和穿支血管关系密切,瘤体侧方常被颅神经遮盖,肿瘤累及海绵窦的情况常见。由于瘤体毗邻的颞骨解剖结构复杂,导致该部位肿瘤被多个易损结构包绕,手术难度极高。

术前MRI显示肿瘤范围及与周边结构关系。
本例手术中,INC福教授采用经典颞-顶-枕L形开颅联合精细岩骨切除术。手术初始通过识别关键骨性标志、实施整形性乳突切除术并充分显露乙状窦与窦硬膜角,构建坚实手术基础。
随后通过精准前岩骨切除术,逆向追踪识别岩浅大神经等重要结构,并显露包含道后三角的菱形区域,为抵达深部病灶开辟通道。继而通过切开颞部与后颅窝硬脑膜、离断天幕并使横窦-乙状窦交界区后移,成功创建宽阔手术路径。
肿瘤切除在多视角下于蛛网膜下腔内精细进行,通过锐性解剖实现梅克尔腔等处肿瘤全切,并全程注重保护第IV、VI颅神经及下组颅神经。最终使用帽状腱膜移植物与腹部脂肪严密修补硬脑膜缺损,完成骨瓣复位固定,肿瘤获得顺利切除。

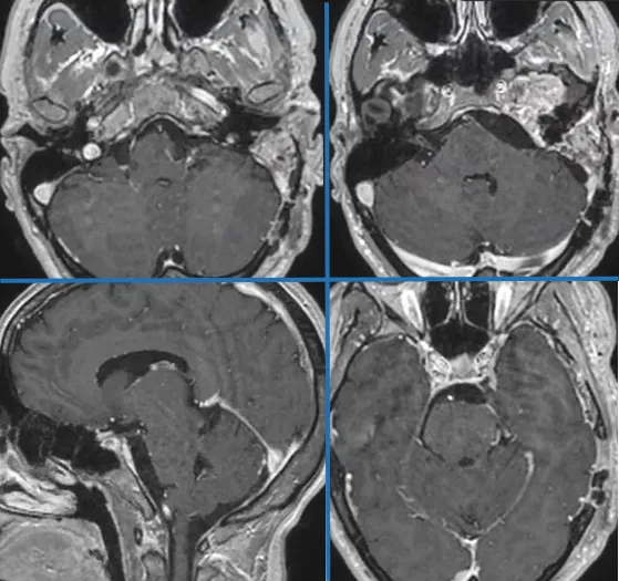
术后MRI确认肿瘤切除效果。
此案例仅为INC国际教授手术中的常规病例,与福教授同台的国内神经外科专家如此评价其手术:
“神经外科领域有句经典名言:‘the brain should not know that it is operated on’(让大脑意识不到曾经历手术)。换言之,经典、优秀、成功的神经外科手术,应使脑组织在手术过程中毫无察觉——脑组织保护极佳,神经功能完好无损。”因此,当普通人认为百分之百即为完美时,对福教授而言,需付出万分努力方能称为完美。
- 所属栏目:神外资讯
- 如想转载“脑瘤手术需要几个小时?手术中都发生了什么?”请务必注明来源和链接。
- 网址:https://www.incsg.com/shenwaizixun/6832.html
- 更新时间:2025-10-16 11:27:47


