从死神手里救回来的脑干肿瘤女孩,再见到了巴爷爷:如今鲜活开朗、成绩优异!
发布时间:2026-03-20 10:59:30 | 阅读:次| 关键词:从死神手里救回来的脑干肿瘤女孩,再见到了巴爷爷:如今鲜活开朗、成绩优异!
- [案例]INC国际Rutka教授团队发表成果助力儿童胶质瘤免疫治疗
- [案例]三大常见鞍区肿瘤——垂体瘤、脑膜瘤、颅咽管瘤,国际
- [案例]致命脑瘤两年内增长三倍,高龄患者手术方案如何制定?
- [案例]“手术可以等2个月吗?”压迫脑干的脑瘤1个月内出血,致
- [案例]听神经瘤引发的面瘫还能恢复如初吗?手术中 “面神经烫
- [案例]7岁男孩脑干海绵状血管瘤,赴德术后2年随访
"你好啊——"3月18日,一句温暖的招呼,开启了一场令人感动的重逢。
刚刚完成当天示范手术任务的INC国际神经外科权威专家巴特朗菲教授,意外见到了他曾经治疗过的一位脑干海绵状血管瘤"小病患"——一个被他从死亡边缘拉回来的小女孩萌萌。
如今已经上三年级的萌萌,在母亲的陪伴下特意前来进行术后复查。
为了这次会面,萌萌已经期待了好几天,一直在细心提醒妈妈:"千万不要忘了跟老师请假!"
到了见面的那一天,她更是迫不及待,中午放学后就赶紧催妈妈出门,生怕错过这宝贵的机会。
妈妈欣慰地说道,孩子手术后的恢复效果非常好,不仅学习成绩优秀,跑步、跳绳这些运动也都完全不受影响。
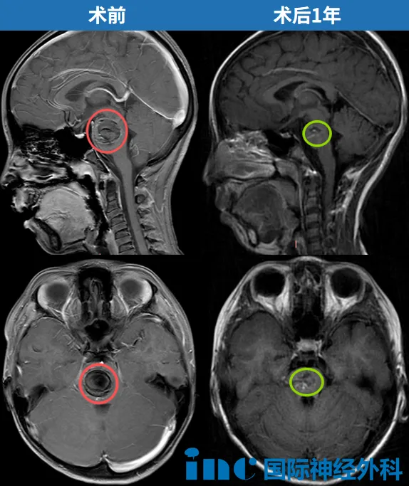
时光倒流到16个月之前——2024年11月4日,当时才7岁的萌萌突然出现脑干大量出血,陷入昏迷状态,被120救护车紧急送医。
那个时候的萌萌已经深度昏迷,直到动手术之前都没有恢复意识。
对于脑干出血的患者而言,每一分每一秒都是在和死神抢时间。
手术刻不容缓,可有一个更棘手的难题摆在眼前:这种风险极高、难度极大的脑干手术,谁有本事做?谁又敢做?

萌萌妈妈回想起当时的心情:"心里特别害怕……孩子要是动了手术,留下后遗症,像面瘫啊,或者影响智力,这种结果我完全无法承受。
因为我见过这样的病例,所以就更害怕……"
就在绝望的时候,希望出现了。
当时担任江苏省科技厅省级外国专家工作室首席专家的巴特朗菲教授,正在中国开展学术交流。
发病仅两天后,萌萌就在"自己家门口"由这位全球闻名的"脑干专家"亲自主刀,完成了这场决定性的手术。
好消息接连不断,巴教授手术结束后,萌萌根本不用住进ICU,术前的各种症状全都消失了。

两周后她顺利出院回家;一个月后就重返校园,恢复如初。
回到这次温馨的重逢现场,巴教授仔细查看了萌萌最新的核磁共振片子,用标准的中文说:"太好了!"
这位国际神经外科顶尖专家的肯定,让萌萌妈妈彻底放心了:"来的时候心情特别激动,现在心里特别踏实。
真的太感谢巴教授了,您辛苦了!"

从命悬一线到生龙活虎,从昏迷不醒到恢复正常、成绩优异,萌萌的新生,离不开巴教授精湛的手术技术,也是整个家庭全力支持的结果。
说到对女儿未来的期望,妈妈说得很朴实也很真挚:"第一,一定要身体健康、开开心心。
如果学习也好的话,希望你以后能考上好大学。
这样的话,无论将来发生什么事,你自己都更有底气。"
到目前为止,巴特朗菲教授已经在中国成功为200多位患有复杂神经外科疾病的患者主刀示范手术。

这些患者有的来自国内,也有专程从东南亚赶来的。
病变部位涵盖脑干、丘脑和基底节区、第三脑室、功能区、颅底、松果体区、脊髓内部、鞍区等多个复杂的解剖区域。
今天,示范手术还在继续,我们共同期待巴教授能给更多患者带来新的希望!
一面锦旗,一句感谢。
昨天,还有一位曾经接受丘脑肿瘤示范手术的4岁小患儿的父母,给巴教授送来了锦旗。
INC巴特朗菲教授今日又完成一台高难度脑干手术!
今天,在INC巴特朗菲教授主刀、国内神经外科医生团队全力配合下,成功突破"生命禁区",完成了一台高难度脑干海绵状血管瘤示范手术,血管瘤实现全切除。

"能保守就保守"——这是大多数脑干海绵状血管瘤患者听到的建议。

这背后,往往不是因为疾病本身不严重,而是一个沉重的现实情况:手术风险太高,术后效果难以预测,很多人不得不在"做了可能更糟;不做只会更差"的两难之间徘徊。

37岁的吴先生,就是其中一位。
第一次出血后,他出现了面部麻木、说话不清楚、右手拿不住笔、左腿走路不稳等一系列症状。
和大部分人一样,他一开始也选择保守观察,指望血肿能自己吸收。
但是,病情没有给他机会——他的情况急转直下:走不了路,说话更费劲,视力也开始模糊。
"为什么脑干手术,大多数医院都不敢做?"

在知乎上,这个关系到生死抉择的问题,吸引了超过300万次浏览和近100条回答。
来自患者、家属甚至是医务工作者的回答,说出了同样的无奈:
"因为脑干肿瘤是外科手术里的最高难度。
而且脑干手术几乎没有任何容错空间,稍微碰到哪里,人就废了。"
"脑干手术不是开玩笑的,轻则残疾,重则死亡,家属、病人有没有勇气和信心承受这个后果?"
"神经外科要是敢收这种病人,麻醉医生估计第一个就会拿起病历夹去'敲'神经外科医生,而且还会发出尖锐的'爆鸣声'。
很可惜,大部分医院的麻醉团队都没有脑干手术术中管理的能力……"
这些回答,直接揭开了脑干——这片长期被认为是"no man's land无人区"的神秘地带,到底意味着什么。
不过,生命的禁区,也不是完全无法跨越。
对脑干海绵状血管瘤患者来说,手术始终是一个关乎命运的选择。
不做手术,反复出血会不断破坏神经功能;做手术,就必须面对残疾甚至死亡的风险。
主刀医生的每一刀,都可能改变一个家庭的未来。

但对巴特朗菲教授来说,脑干,却是他深耕三十多年、完成上千台手术的"主场"。
在这里,技术、经验和信念,一起搭建起了跨越禁区的桥梁。
就像他曾经在INC学术沙龙里分享的那样:面对脑干病变,精准的策略和个性化的手术入路,可以把"不可能"变成"可能"。心手相传,搭建中外交流桥梁,示范手术仍在继续
巴特朗菲教授在中国的示范手术之旅,是一场持续的深度学术和临床实践活动。
在和国内神经外科团队密切合作中,他不仅主刀高难度示范手术,还全方位参与整个流程:从联合疑难会诊、一起讨论手术方案,到术中精细操作、术前和家属深入沟通、术中细致教学,再到术后查房——每个环节,都是宝贵经验的传承。
特别难得的是,国内年轻医生可以借此机会,和这位国际颅底脑干手术大师近距离交流、观摩手术,在理论和实践的结合中提升自己的技术水平。
- 所属栏目:胶质瘤
- 如想转载“从死神手里救回来的脑干肿瘤女孩,再见到了巴爷爷:如今鲜活开朗、成绩优异!”请务必注明来源和链接。
- 网址:https://www.incsg.com/huanzhegushi/jiaozhiliu/7828.html
- 更新时间:2026-03-20 10:47:35


