孩子确诊脑干胶质瘤,开颅对成长有影响吗?解读预后关键可控因素
发布时间:2025-12-02 09:26:47 | 阅读:次| 关键词:孩子确诊脑干胶质瘤,开颅对成长有影响吗?解读预后关键可控因素
- [案例]曾患脑干肿瘤,开颅手术后1个月回归校园,拿下“三好学
- [案例]脑膜瘤如“章鱼”盘踞在脑中,视力模糊、嗅觉减退…不
- [案例]女儿用蓬勃的生命力打败了巨大胶质瘤,我们为她骄傲!
- [案例]30+创业精英突陷“耳鸣噩梦”,听神经瘤疑云背后竟是虚
- [案例]当脑海绵状血管瘤引发严重癫痫,应该先解决哪个麻烦?
- [案例]60多岁王先生脑干海绵状血管瘤术后2年随访情况
关于低级别胶质瘤是否具有治愈可能性的问题,需要明确的是,低级别胶质瘤通常指WHO I级和部分II级胶质瘤。部分患者确实存在实现长期生存甚至临床治愈的机会,但这取决于一系列关键预后因素。以WHO I级毛细胞星形细胞瘤为例,这是预后极佳的低级别胶质瘤类型,常见于儿童和青少年群体。通过手术全切除后,多数患者可获得长期无病生存状态。
而对于WHO II级弥漫性星形细胞瘤/少突胶质细胞瘤,由于具有弥漫性浸润的特征,实现手术全切的难度较大。但值得关注的是,若少突胶质细胞瘤存在1p/19q联合缺失,则对放化疗具有较高敏感性,其预后优于星形细胞瘤。
在诸多影响因素中,手术切除程度是最关键的可控因素。在确保神经功能安全的前提下,最大程度地切除肿瘤是延长生存期的重要治疗策略。
婴幼儿延髓胶质瘤的手术治疗案例
当"延髓胶质瘤"与"15个月大婴儿"这两个诊断同时出现时,对任何家庭都是重大考验。延髓作为脑干关键组成部分,负责调节呼吸、心跳、吞咽等基本生命功能,历来被视为神经外科手术的高风险区域。
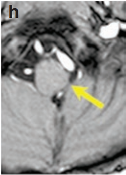
病例中的男婴Nick最初表现为头部持续左倾、眼球外展受限以及反复喉炎发作。MRI检查显示左侧延髓存在胶质瘤并伴有扩展性生长。

面对治疗决策困境:手术需要在生命中枢进行精细操作,风险极高;而不手术则面临肿瘤继续生长压迫延髓的后果。加之婴幼儿神经系统及重要器官尚未发育完善,麻醉与开颅手术难度显著增加,对手术团队提出极高要求。

经过全面评估,患儿父母最终选择由INC巴特朗菲教授主刀手术。手术在术中磁共振和神经电生理监测双重保障下进行,采用俯卧位肿瘤全切术。术中影像确认肿瘤完全切除,无残留病灶。
通过枕后正中开颅入路,术中使用CUSA刀切除肿瘤。在左侧延髓外侧隐窝处发现肿瘤与后组颅神经粘连,通过精细分离成功保留颅神经功能,特别注重保护吞咽功能相关的第九、十、十一对颅神经。

术后两周患儿恢复良好,长期随访显示术后三年MRI复查无肿瘤复发迹象。患儿神经功能完好,健康成长。


儿童开颅手术对发育的影响分析
儿童大脑具有显著的可塑性特征,发育中的脑组织在部分功能区受损时可能通过其他脑区进行功能代偿,这也是儿童脑瘤早期症状不典型的原因之一。现代神经外科手术的核心目标是在精准切除病灶的同时,最大限度保护脑功能发育。
当前神经外科手术已广泛应用神经导航、术中神经电生理监测、术中超声、术中MRI等先进设备,这些技术工具有助于精准识别病灶边界,实现最小创伤的手术入路。然而,除了先进设备支持外,主刀医师的丰富临床经验和精湛手术技术同样至关重要。
- 所属栏目:胶质瘤
- 如想转载“孩子确诊脑干胶质瘤,开颅对成长有影响吗?解读预后关键可控因素”请务必注明来源和链接。
- 网址:https://www.incsg.com/huanzhegushi/jiaozhiliu/7163.html
- 更新时间:2025-12-02 09:21:37


