



每个家长最担忧的,莫过于孩子突发疾病,尤其是毫无预警的严重病症。三岁的小女孩艾米娜(化名)原本活泼好动,却突然变得嗜睡、哭闹并诉说头痛,随后还出现右侧面部歪斜、肢体无力,甚...
更新时间:2025-12-09 10:06:21

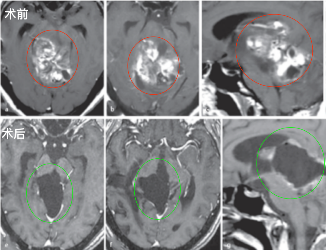
一名28岁女性患者,脑干区域发现一团色泽深浅不一的肿瘤占位。“是否癌症?”——然而接诊医生亦无法立即明确诊断,因其具体性质待查,仅能定位肿瘤于脑干中脑顶盖部位。...
更新时间:2025-12-09 09:45:02

在神经外科临床实践中,桥小脑角(CPA)区域因其紧邻脑干结构,且密集分布着面神经、听神经等重要颅神经及关键血管,常被称作"高危手术区域"。该区域是听神经瘤的高发部位——此类肿瘤约占...
更新时间:2025-12-06 08:45:50

位于高位颈髓区域的海绵状血管瘤,由于病灶处于人体神经中枢的关键部位,始终被视为高风险疾病——可能引发瘫痪或呼吸骤停等严重并发症。患者面临的治疗决策往往处于两难境地:...
更新时间:2025-12-05 10:30:44

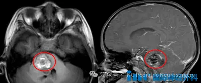
男孩的家长反复被告知“手术风险极高”——在仅拇指头大小的中脑区域,肿瘤的压迫或重要神经核团的损伤,都可能给儿子带来不可逆的后遗症,即便只是进行活检手术,也有导致瘫痪的风险。...
更新时间:2025-12-03 13:30:20

初期误认为复习疲劳,但数日后右腿开始乏力,行走时有踩棉感。随即进行的MRI检查结果显示:左侧半卵圆中心区存在8.0x11.0mm类圆形异常信号灶,诊断为海绵状血管瘤出血。...
更新时间:2025-12-02 09:27:00

关于低级别胶质瘤是否具有治愈可能性的问题,需要明确的是,低级别胶质瘤通常指WHO I级和部分II级胶质瘤。部分患者确实存在实现长期生存甚至临床治愈的机会,但这取决于一系列关键预后因素...
更新时间:2025-12-02 09:21:37

经检查确诊男孩患有海绵状血管瘤。虽然该病变属良性性质,但可能引发脑干出血,导致瘫痪、功能永久性损伤甚至死亡等严重并发症。然而病情恶化速度超出预期。...
更新时间:2025-12-02 09:11:36

淼淼父母观察到孩子出现一系列异常表现:临床表现为嘴角歪斜、流口水及斜视等症状,这些均为既往未曾出现的体征。经医院系统检查,确诊为颅内巨大海绵状血管瘤,该病灶已引发脑干出血。...
更新时间:2025-12-01 10:52:50

脑膜瘤作为最常见的轴外原发性脑肿瘤,约占所有颅内原发肿瘤的13%-19%。其生物学行为高度依赖于肿瘤大小、解剖位置、与神经血管结构的毗邻关系及组织病理学特征。...
更新时间:2025-11-29 20:52:20

第三脑室位于颅脑中心区域,周围环绕下丘脑、丘脑、穹窿和中脑等重要神经结构。通过最佳手术入路安全抵达病灶并进行分离切除,同时避免损伤周围重要结构,这对主刀医生的技术经验要求极...
更新时间:2025-11-29 20:44:52

病灶现已完全消失。影像学检查显示无肿瘤残留或复发迹象,所有指标均符合预期,患者目前无需任何辅助治疗。...
更新时间:2025-11-29 09:48:03

我突然遭遇持续加重的头痛。起初以为只是小毛病,并未及时就医,然而头痛程度不断加剧。更令人担忧的是,陆续出现左眼视野缺损和闭经症状。作为32岁女性,月经突然停止让我警觉起来。...
更新时间:2025-11-28 10:36:49

一位颅底术后患者复查时提出疑问:“医生,我脖子后面固定的钉子怎么弯了?会不会存在什么问题?”主刀医生对此进行了明确解释:该设计为特意进行的弯折处理,其目的不仅在于更好地适应...
更新时间:2025-11-28 10:28:32

松果体区肿瘤的临床记载最早可追溯至1717年,但该区域的外科手术治疗尝试直至200年后才逐步开展。这些早期探索由Horsley、Brummer、Schloffer等先驱引领,然而在神经外科技术尚处初期发展阶段,其...
更新时间:2025-11-27 10:56:02
更新时间:2021-12-15 11:22:17
更新时间:2021-12-15 13:51:24
更新时间:2021-12-15 14:07:12
更新时间:2023-03-16 17:33:49
更新时间:2021-11-22 11:51:29
更新时间:2023-03-16 17:30:52
更新时间:2023-03-16 17:18:43
更新时间:2023-03-16 17:21:02
更新时间:2024-08-02 18:23:33
更新时间:2024-07-26 15:41:59
更新时间:2025-12-09 09:45:02
更新时间:2025-12-06 08:45:50
更新时间:2025-12-05 10:30:44
更新时间:2025-12-03 13:30:20
更新时间:2025-12-02 09:27:00