INC两位大咖今日抵达,齐聚北京,共赴天坛神经外科学术大会
发布时间:2025-10-17 20:59:28 | 阅读:次| 关键词:INC两位大咖今日抵达,齐聚北京,共赴天坛神经外科学术大会
- [案例]JNS发表德国巴特朗菲教授135例脑干脑桥海绵状血管瘤手术
- [案例]研究发现低级别胶质瘤“早期手术”的生存益处
- [案例]天坛医院手术随访|"无症状"脑瘤需手术吗?术后她实
- [案例]儿子因脑干出血病危,两次120转运,为何医生说法截然不
- [案例]面部“刀割”之痛不再:INC国际福教授全切岩斜区脑膜瘤
- [案例]16岁基底节胶质瘤患者赴德手术,近全切功能区脑瘤
北京时间2025年10月17日,世界神经外科联合会(WFNS)教育与技术委员会前主席Helmut Bertalanffy(巴特朗菲)教授、世界神经外科学院前主席William T. Couldwell教授抵达北京,受邀出席“2025年国家神经疾病医学中心(天坛)神经外科学术大会”及“第三届天坛脑网络神经外科年会”。本次会议由中国医学装备协会、中国医学装备协会神经外科分会主办,国家神经疾病医学中心(天坛)、首都医科大学附属北京天坛医院神经外科学中心承办。

作为INC国际神经外科医生集团旗下世界神经外科顾问团(WANG)成员,在INC协调下,两位国际专家将开展一系列密集学术活动。除在国际大师课论坛进行专题演讲,与国内外神经外科同道交流临床经验及研究进展外,两位教授将分别开展后续行程:巴特朗菲教授于国内进行手术交流,为多名疑难神经外科疾病患者提供手术治疗;Couldwell教授将于本周末在上海开展神经外科学术沙龙,与国内神经外科专家共同探讨学术前沿。
巴特朗菲教授手术交流及面对面咨询安排
国际专家接连到访!作为专注神经外科领域的国际化专业平台,INC持续发挥桥梁作用,不断完善国际资源对接机制,助力国内外神经外科专家学术交流,共同提升国际神经外科临床手术及咨询水平,使更多国内疑难脑瘤患者能在“家门口”接受国际专家手术治疗。

临床病例分享
6岁女性小脑占位性病变患者
一名诊断为“小脑占位性病变”的女性患儿乐乐,3天内多次出现呕吐、头晕、恶心症状,父母情绪焦虑。最终咨询巴教授后,家长决定手术,关键因素为面对面交流时巴教授明确表示:“该肿瘤可以手术。”

12岁男性颅咽管瘤患者
涛涛今年8月因头痛检出颅咽管瘤,病变尺寸20mm×15mm×27mm,已导致脑干受压后移。“肿瘤压迫视交叉后方视路系统,机械性引起视功能障碍。若手术延迟,压迫可能导致视路进一步损伤,甚至出现永久性视野缺损。”面对中药与偏方疗效不佳、患儿自觉症状加重、生长激素出现问题的情况,巴教授对病情风险评估使家长认识到手术为避免肿瘤恶化、为患儿争取未来的唯一选择。

26岁女性右侧丘脑病变患者
女性患者芝芝,右侧丘脑病变,尺寸约25mm×23mm×24mm,虽无显著临床症状,但既往有鞍区生殖细胞瘤放化疗史。本次她希望手术彻底切除丘脑病变。“对我而言属常规手术。”面对面咨询时巴教授的自信使她对手术充满信心。

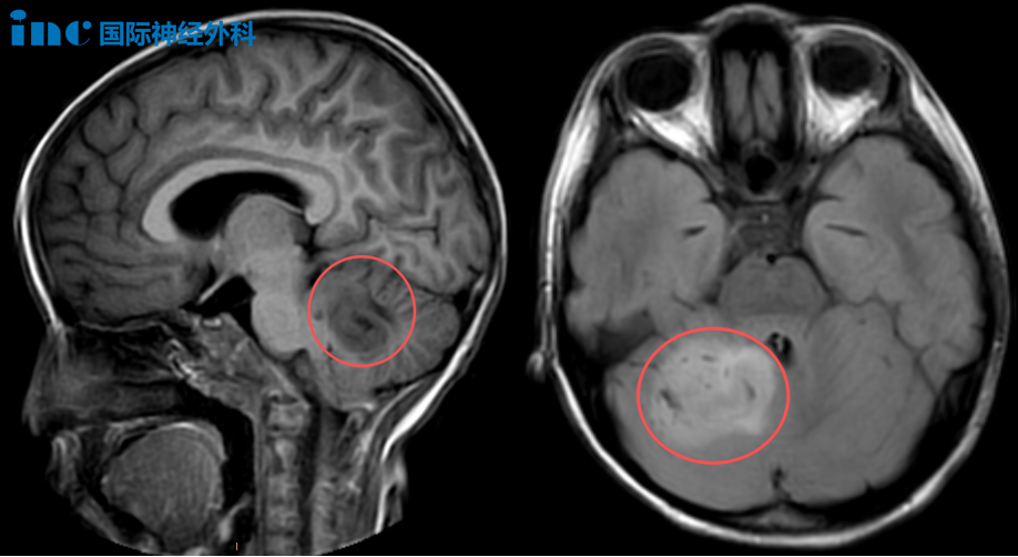
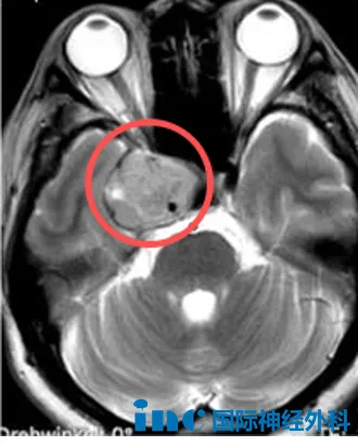
40岁男性左侧中、后颅窝占位性病变患者
吴先生意外发现左侧中、后颅窝团块状异常强化影,尺寸约38mm×28mm,疑似脑膜瘤,且已压迫脑干。患者表现为头昏不适、视物模糊、记忆力下降。延迟治疗是否存在巨大风险令其深感恐惧。咨询巴教授后,教授评估与患者担忧一致:“继续拖延无益,只会导致肿瘤进一步生长,增大手术难度,手术应尽早实施。”
巴教授指出吴先生的脑膜瘤较为罕见,具有不寻常生长延伸:向上延伸至左侧大脑内部,推压基底节、颞叶及下丘脑,同时影响视系统包括视神经和视交叉;向幕下延伸相当部分。肿瘤跨越颞叶区域及后颅窝两个不同颅内间隙,此种双向延伸需采用特殊手术技术。

42岁女性右侧海绵窦区占位病变患者
陈女士因眼眶疼痛检出右侧海绵窦区占位病变,尺寸约2.6×3.0×4.1cm,考虑脑膜瘤可能。症状包括右嘴角至右侧鼻翼区域麻木,偶发头昏、头痛。巴教授阅读影像发现病变已延伸至视交叉下方鞍旁区域,并包裹右侧颈动脉。病灶广泛侵犯、体积显著,对右侧眼眶尖产生压迫,对右侧视神经构成明确威胁,手术指征明确。

Couldwell教授学术沙龙安排

William T. Couldwell教授因颅底外科专长获国际医学界认可,常应邀作为演讲人并指导颅底外科课程。此前Couldwell教授受邀来华开展学术沙龙,与国内神经外科专家共同探讨海绵窦脑膜瘤、垂体瘤等疑难脑肿瘤疾病的手术技术及临床经验交流。浓厚学术氛围、友好交流空间、专业互动议题吸引越来越多国内青年医生参与。本次来华他将分享精彩议题:颅底外科的历史与演进、神经外科医师的眶内手术。

往期沙龙照片展示学术交流实况。
- 所属栏目:国际治疗
- 如想转载“INC两位大咖今日抵达,齐聚北京,共赴天坛神经外科学术大会”请务必注明来源和链接。
- 网址:https://www.incsg.com/guojizhiliao/6844.html
- 更新时间:2025-10-17 20:51:57


