十年潜伏:27岁男性听神经瘤伽玛刀术后罕见恶性转化
发布时间:2026-03-24 19:38:31 | 阅读:次| 关键词:十年潜伏:27岁男性听神经瘤伽玛刀术后罕见恶性转化
- [案例]动脉粥样硬化导致颈动脉瘤,INC川岛教授颈动脉内膜切除
- [案例]“没人相信我脑子开了刀”——当脑干“生命禁区”遇到
- [案例]鼻塞频发疑鼻炎,却不料脑内藏巨瘤——软骨瘤带来的生
- [案例]6岁仅重18kg-小小脑袋长出“苹果大”脊索瘤,INC福洛里希
- [案例]儿童反复头痛、还可能智力下降!脑血管病-烟雾病的“无
- [案例]33岁宝妈颈髓室管膜瘤-12小时的高难度手术,术后3月正常
绝大多数听神经瘤的生长轨迹是温和的。经过手术或放射外科治疗,大多数患者都能获得满意的长期预后。然而,在这条看起来相对可控的良性病程之外,一个极为罕见却后果严峻的可能性从未真正消失——恶性转化。
本文记录了一例27岁男性患者在伽玛刀治疗后第十年发生恶性转化的完整诊疗过程。该患者无2型神经纤维瘤病背景,这一病例不仅涉及具体的临床治疗决策,更揭示了肿瘤生物学行为内在的不可预测性。
病情起始与初步评估
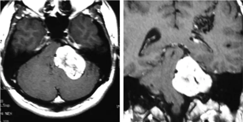
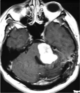
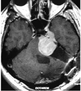
这名27岁男性最初因左侧面部麻木和平衡功能下降前来就诊。影像学检查显示,其左侧桥小脑角区存在一处直径约4.5厘米的占位性病变,影像特征与听神经瘤高度吻合,且肿瘤体积已对脑干造成明显压迫。

值得注意的是,此次检查同时意外发现左侧顶叶深部合并一处动静脉畸形。患者本人无2型神经纤维瘤病的临床表现,家族史中也无相关记录。
初次手术与放射治疗
面对体积较大的肿瘤,治疗团队制定了手术切除联合放射外科的阶梯化治疗方案。患者首先接受了左侧听神经瘤的部分切除手术。术中由于合并动静脉畸形导致静脉压持续升高,止血操作极为困难,肿瘤未能实现全切。手术结束后,针对残余病灶采用伽玛刀立体定向放射外科治疗,处方剂量15 Gy,脑干区域受量严格控制在9 Gy以内。术后六个月,患者再次接受伽玛刀治疗,这一次针对的是顶叶深部的动静脉畸形。

早期复发与第二次手术
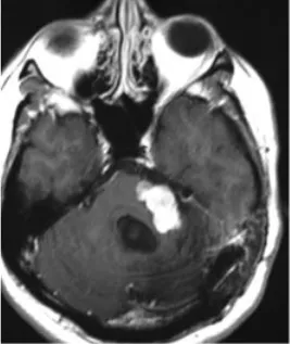
初次治疗结束后两年,患者因症状再次出现而复诊,影像学检查提示肿瘤体积有所增大。随即安排第二次手术切除,术后病理报告显示仍为良性前庭神经鞘瘤,未发现任何恶性转化的组织学依据。

随访稳定期与隐患初现
第二次手术后,患者进入以年为单位的常规影像学随访周期。此后整整七年,肿瘤体积保持稳定,未见明显变化。直到七年后的某次带状疱疹病毒感染,患者出现进行性左侧面瘫。由于当时的磁共振成像仍显示肿瘤病灶稳定,临床判断这次面瘫更可能源于亨特氏综合征——即水痘-带状疱疹病毒再激活所引发的周围性面神经麻痹,而非肿瘤本身进展所致。

恶性转化的出现
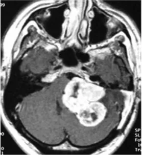
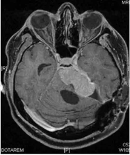
随后,患者再度出现面部麻木感与共济失调症状。此次磁共振检查结果令人警惕:肿瘤体积出现了显著扩大。临床团队判断肿瘤的生物学行为已发生根本性改变,遂实施根治性切除手术。

术后病理报告带来了最坏的消息:肿瘤已转化为恶性外周神经鞘膜瘤。免疫组化染色结果显示,此前在肿瘤细胞中呈弥漫阳性分布的S100蛋白,此时已变为仅灶性阳性,提示肿瘤细胞正在经历去分化过程。
然而恶化的速度远超预期。根治性切除手术后不过三个月,肿瘤即以极强的侵袭性迅速复发,并对脑干造成严重压迫。为维系基本生命功能,患者紧急接受了第二次手术以实施脑干减压。这一次的病理结果表明,肿瘤已进一步去分化,转化为间变性软组织肉瘤,神经源性标记物S100蛋白的表达已完全丧失。

最终结局与临床警示
在计划启动辅助放疗的等待期内,肿瘤在短短四周之内再度复发。疾病的恶性程度与增殖速度,已超出现有所有治疗手段所能干预的时间窗口。末次手术后一个月,残余肿瘤再次侵袭性生长,对脑干造成致命性压迫,患者最终离世。
从首次确诊到生命终结,历经整整十年;从首次发现恶性转化到患者死亡,前后仅有四个月。全程中,该患者始终没有表现出任何与2型神经纤维瘤病相关的临床特征。

这一极为罕见的病例提示我们:听神经瘤虽属良性肿瘤,但在接受规范治疗之后,长期持续的影像随访同样不可或缺。即便病灶已多年保持稳定,也不能对远期恶性转化的可能性掉以轻心。对于接受了伽玛刀等放射外科治疗的患者,尤其是年龄较轻者,更需要建立一套长期规律的复查方案。一旦影像学发现病灶出现异常增大,应及时结合病理检查明确肿瘤性质,为早期干预争取宝贵的时间窗口。
为何放疗后病变难以彻底控制
医学研究表明,听神经瘤在接受立体定向放射外科治疗后发生恶性变,属于极为罕见的严重并发症,但并非没有发生的可能。
一项回顾性研究纳入了39例立体定向放疗后出现肿瘤再生的听神经瘤患者,分析发现其中92.3%的患者在放疗后呈现出稳定的肿瘤生长模式。与此同时,放疗也可能带来一系列新出现或原有症状加重的情况,包括耳聋(发生率41%)、头晕(35.9%)和面部麻木(25.6%)等。
在放疗后再次手术的难度问题上,多数研究者的观点趋于一致:与直接手术相比,放疗后的再次手术操作难度明显更高。放射线的作用会导致肿瘤与周围神经之间的粘连更加致密,面神经的分离和保护因此变得更加困难。放疗还有可能提升脑神经损伤、脑积水、脑水肿乃至脑坏死的发生概率。
首次手术的时机与选择,决定了更多可能
在过去相当长的一段时间里,听神经瘤手术的首要目标是切除肿瘤、保住患者生命,听力损失和面神经功能障碍在某些情况下不得不作为代价接受。而随着显微外科技术的持续进步、神经电生理监测设备的广泛普及以及手术理念的深刻转变,"功能保留"如今已被提升到与肿瘤切除同等重要的位置。
首次手术往往是保留神经功能的最佳时机。在这一阶段,肿瘤与正常组织的边界相对清晰,神经粘连和损伤的程度通常尚未发展到最严重的状态。主刀医生的手术经验与技术水准在这一环节起到关键性作用——经验丰富的神经外科医生,能够借助精细的显微解剖技术,在肿瘤与神经之间找到更安全的分离界面,最大程度地减少对神经的牵拉和损伤。
对于选择了伽玛刀等放射治疗的患者,同样需要对病情进展保持清醒的警惕,严格按照医嘱执行定期复查计划。一旦影像学出现肿瘤生长的信号,必须及时采取规范化的干预措施,切不可心存侥幸、贻误时机。良性肿瘤的治疗,没有一劳永逸,科学的决策与规范的全程管理,才是守护长期健康的根本所在。
- 所属栏目:听神经瘤
- 如想转载“十年潜伏:27岁男性听神经瘤伽玛刀术后罕见恶性转化”请务必注明来源和链接。
- 网址:https://www.incsg.com/tingshenjingliu/7863.html
- 更新时间:2026-03-24 19:33:04


