脑室内肿瘤必须开颅?大咖分享神经内镜如何根据肿瘤情况定制个性化手术方案
发布时间:2025-10-17 11:17:29 | 阅读:次| 关键词:脑室内肿瘤必须开颅?大咖分享神经内镜如何根据肿瘤情况定制个性化手术方案
- [案例]难上加难!当听神经瘤遇见颈静脉球高位,这位国际大咖
- [案例]1厘米骨孔解决脑部病变:神经内镜下脑室病变全切技术解
- [案例]18mm脑干肿瘤:活检还是直接切除?一个7岁患儿母亲的选择
- [案例]脑干胶质瘤扩散丘脑,国际神外专家联合术中核磁破解手
- [案例]8年前第一次脑干出血,我退缩了…好在这“天大的难关”
- [案例]从瘫痪风险太大到顺利全切,高难度开颅术后还未出手术
脑室内肿瘤是神经内镜手术的理想适应证。此类病变可经脑室系统自然腔道直达,内镜操作路径短且直接;由于肿瘤常阻塞脑脊液循环通路,引发脑室代偿性扩张,为内镜操作提供充足空间。即使脑室狭窄,借助神经导航仍可实现病灶的精准安全抵达。
神经内镜手术的核心目标包括重建脑脊液循环通路、明确组织学诊断,以及在条件允许时实施肿瘤全切除。

与开颅显微手术相比,内镜入路显著改善深部照明与视野质量,无需广泛皮层切开及组织牵拉,脑组织损伤小;仅通过骨孔即可置入内镜,避免传统骨瓣开颅,有效保护穹隆、下丘脑及周围血管等重要结构。
早期神经内镜肿瘤手术仅限活检操作,多用于合并肿瘤性梗阻性脑积水患者在行第三脑室底造瘘术时同期获取标本;随着技术经验积累,逐步实现肿瘤部分切除,目前对精选病例已可依靠纯内镜技术完成全切除。
点击阅读:1厘米小孔,解决脑部大问题!多图详解神经内镜下如何实现脑室病变全切
巨大肿瘤的内镜全切可行性分析
若肿瘤体积过大,能否实现神经内镜全切除?INC国际神经外科医生集团旗下世界神经外科顾问团(WANG)成员、世界神经外科学会联合会(WFNS)内镜委员会前主席Henry W.S.Schroeder教授(施罗德教授)在论文《Intraventricular Tumors》中分享了一则典型案例。
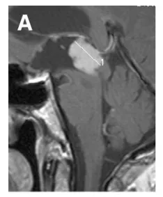
49岁男性患者,临床表现为头痛、恶心及呕吐。影像学检查发现第三脑室后部巨大强化病灶(A)。对于因中脑导水管受压导致梗阻性脑积水的肿瘤,最根本的脑脊液循环恢复策略仍是肿瘤全切除。然而多数瘤体过大,难以单纯经内镜彻底切除。

采用先行神经内镜第三脑室造瘘(B-F内镜下视野),再行开颅肿瘤切除的方案,具体过程如下:
(B)室间孔(Monro孔),选择可同时抵达第三脑室底及肿瘤的手术入路

(C)第三脑室底,可见乳头体结构

(D)使用球囊导管完成第三脑室造瘘

(E)经造瘘口窥见基底动脉

(F)第三脑室后部肿瘤

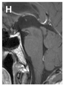
(G)术后第3天MRI显示造瘘处显著流空信号;ETV术后颅内压增高症状完全缓解

(H)术后2年经幕下小脑上入路全切肿瘤后矢状位T1增强MRI,显示肿瘤全切除,患者无神经功能缺损,恢复良好

临床结论与治疗建议
脑室内肿瘤及其所致脑脊液通路梗阻,可经内镜技术安全有效处理。体积较小肿瘤可借助脑室镜完成全切除;瘤体较大时,为避免耗时过长的镜下操作,宜采用内镜辅助显微手术或经更大操作通道的内镜切除策略。正如上述案例所示,在完成造瘘手术后,可选择开颅手术切除肿瘤。
- 所属栏目:神外资讯
- 如想转载“脑室内肿瘤必须开颅?大咖分享神经内镜如何根据肿瘤情况定制个性化手术方案”请务必注明来源和链接。
- 网址:https://www.incsg.com/shenwaizixun/6839.html
- 更新时间:2025-10-17 11:06:48



