【INC国际大咖研究成果】儿童脑肿瘤治疗前的神经心理学缺陷
发布时间:2025-10-17 10:45:22 | 阅读:次| 关键词:【INC国际大咖研究成果】儿童脑肿瘤治疗前的神经心理学缺陷
- [案例]研究发现低级别胶质瘤“早期手术”的生存益处
- [案例]儿子因脑干出血病危,两次120转运,为何医生说法截然不
- [案例]JNS发表德国巴特朗菲教授135例脑干脑桥海绵状血管瘤手术
- [案例]面部“刀割”之痛不再:INC国际福教授全切岩斜区脑膜瘤
- [案例]天坛医院手术随访|"无症状"脑瘤需手术吗?术后她实
- [案例]16岁基底节胶质瘤患者赴德手术,近全切功能区脑瘤
INC国际儿童脑瘤大咖、世界小儿神经系统专业杂志 《Child´s Nervous System》现任主编Concezio Di Rocco教授发表研究《Subcutaneous blood patch for iatrogenic suboccipital pseudomeningocele following decompressive suboccipital craniectomy and enlarging duroplasty for the treatment of Chiari I malformation. Technical note》(儿童脑肿瘤治疗前的神经心理学缺陷),以下是研究简述。
儿童脑癌治疗与长期认知功能障碍存在关联。本研究在治疗前评估脑肿瘤患儿的认知状态,旨在明确肿瘤本身及相关因素对认知缺陷的影响。
对83例新诊断脑肿瘤患儿(平均年龄8.6岁,范围7个月至16.6岁,中位年龄9.4岁)在治疗前进行年龄相应的全面认知测试,并采用MRI评估肿瘤部位、体积及相关因素。将测试结果与症状持续时间、神经功能状态、癫痫发作情况及MRI表现进行比较。
诊断时即发现50%患儿在某些认知领域存在困难,6%符合精神发育迟滞诊断标准。肿瘤部位是认知缺陷的主要决定因素,皮质肿瘤患儿损伤程度最重。症状持续时间和癫痫与神经心理障碍呈显著相关,而影像学肿瘤变量与神经认知表现无明显关联。
了解治疗前认知缺陷对评估治疗效果至关重要,可为判断治疗对认知下降的真实影响提供基线参考。研究提示需密切监测某些临床变量,因此类变量可能与神经心理预后密切相关;努力减少这些因素的影响有望改善长期预后。
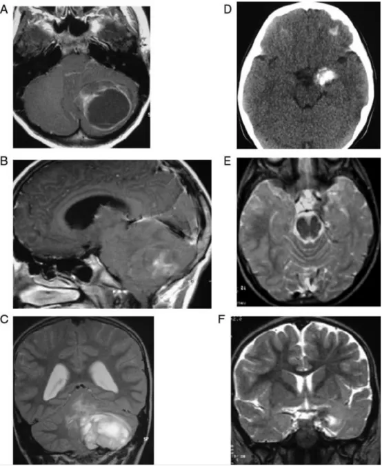
典型病例影像与认知表现对比
病例一:肿瘤体积/占位效应与神经认知状态缺乏对应关系(A-C)
左侧小脑半球巨大毛细胞型星形细胞瘤(WHO I级)术前MRI表现:
(A)轴位增强T1WI:显示巨大囊性肿瘤,囊壁强化,明显推压小脑及脑干
(B)矢状位增强T1WI:继发枕骨大孔扁桃体下疝(幕下高压所致)
(C)冠状位T2WI:伴有脑积水
尽管存在显著占位效应、扁桃体下疝及脑积水,该患儿认知功能正常。

病例二:肿瘤体积/占位效应与神经认知状态缺乏对应关系(D-F)
左侧颞极内侧小神经节细胞胶质瘤术前CT/MRI表现:
(D)平扫CT:病灶广泛钙化,无水肿
(E)轴位T2WI:肿瘤局限于颞叶钩回
(F)冠状位T2WI:占位效应轻微

尽管病灶小、局灶效应极轻,患儿却表现为重度精神发育迟滞及孤独症样行为。
神经心理学评估体系
研究采用标准化神经心理学测量工具对不同肿瘤部位组及全样本进行神经心理学评分汇总,系统评估各认知领域功能状态。

研究结论与临床意义
本研究证实儿童脑肿瘤患者在治疗前即存在显著的神经心理学缺陷,其中50%患儿出现特定认知领域困难,6%达到精神发育迟滞诊断标准。肿瘤部位是认知缺陷的主要决定因素,皮质肿瘤患儿受损程度最为严重。
症状持续时间和癫痫发作与神经心理障碍显著相关,而影像学肿瘤变量与神经认知表现未见明显关联。这一发现强调治疗前认知评估的重要性,为区分肿瘤本身与治疗措施对认知功能的影响提供基线依据。
研究结果提示临床医生需要密切关注症状持续时间、癫痫发作等临床变量,通过积极干预这些影响因素可能改善患儿长期神经心理预后。
关于作者

Di Rocco教授作为INC国际儿童脑瘤专家、世界小儿神经系统专业杂志《Child's Nervous System》现任主编,在儿童神经外科领域贡献卓著。其参与撰写的多部著作对儿童神经外科学科发展产生重要影响。
- 所属栏目:神外资讯
- 如想转载“【INC国际大咖研究成果】儿童脑肿瘤治疗前的神经心理学缺陷”请务必注明来源和链接。
- 网址:https://www.incsg.com/shenwaizixun/6837.html
- 更新时间:2025-10-17 10:29:14


