INC鲁特卡教授解读:DNET在MRI上的额外特征,有助于临床诊断
发布时间:2026-03-06 10:15:52 | 阅读:次| 关键词:INC鲁特卡教授解读:DNET在MRI上的额外特征,有助于临床诊断
- [案例]脑血管瘤术后可能瘫痪?作为靠手创作的设计师,我一度
- [案例]从化疗无效到8年无复发:这个小姑娘的脑干胶质瘤抗争史
- [案例]胶质瘤术后7年复发新选择:不开颅的LITT技术控住癫痫
- [案例]睡梦中被头痛惊醒,15岁女孩脑出血的元凶竟是它!
- [案例]“良性表现”的脑瘤术后竟是恶性!暗藏危机的松果体区
- [案例]7重“Debuff”基底节区手术—3岁女童罕见脑瘤如何顺利第二
胚胎发育不良性神经上皮瘤(Dysembryoplastic Neuroepithelial tumor,DNET)属于一种相对少见的良性皮质内病变,世界卫生组织(WHO)将其归类于“神经元和混合性神经胶质肿瘤”,该疾病常合并皮质发育不良。该肿瘤好发于年轻患者群体(年龄小于20岁),且男性发病率较高。颞叶为其最常见发病部位(约占62%),额叶次之。
James T. Rutka(鲁特卡)教授,曾任世界神经外科学院院长,现任世界神经外科权威期刊《Journal of Neurosurgery》主编,曾发表题为《Fluid-attenuated Inversion Recovery Ring Sign as a Marker of Dysembryoplastic Neuroepithelial Tumors》(FLAIR高信号环征作为胚胎发育不良性神经上皮肿瘤的标志)的研究论文。该研究详细阐述了DNET患儿在磁共振成像(MRI)上的一个额外特征——即FLAIR序列上的高信号环征。此征象表现出较高的敏感性与特异性,能够辅助术前诊断,并对术后肿瘤残留或复发的评估具有提示作用。

DNET的影像学特征解析
DNET好发于大脑皮层,其中颞叶为最常见部位,通常表现为边界清晰、呈楔形或囊泡状的皮质内肿块,且常无明显瘤周水肿及占位效应。上述影像学表现直接体现了其良性的生物学行为,亦是其与高级别胶质瘤进行鉴别的重要依据。

在计算机断层扫描(CT)上,病灶通常呈现为均匀或不均匀的低密度区,形态呈楔形,表现为皮质或皮质下楔形病变,其尖端指向脑室方向。大约20%至30%的病灶内部可见钙化灶,CT检查对钙化的检出较为敏感。
虽然CT平扫有助于发现钙化,但磁共振成像(MRI)仍是诊断DNET的首选影像学方法。
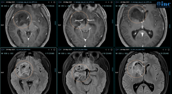
在磁共振成像(MRI)上,DNET在T1加权像(T1WI)上通常表现为均匀或不均匀的低信号;在T2加权像(T2WI)上则表现为均匀或不均匀的高信号。由于其常具有多囊性结构,在T2WI上常呈现典型的“泡泡状”外观。在FLAIR序列上,其信号表现多样,可为高信号或混杂信号,其中高信号“环征”为其典型征象。根据MRI表现,DNET可分为单囊型、多囊型及弥漫型,其中以多囊型最为常见。“泡泡状”外观与高信号“环征”是DNET极具特征性的影像学表现,对临床诊断具有重要的提示价值。
此外,病灶形态可呈三角形或楔形,以脑表面为基底,尖端指向脑深部,此形态被称为“三角征”,病灶内部有时可见线样分隔。这些特殊的形态学特征及分型有助于将DNET与其他低级别肿瘤(例如低级别星形细胞瘤)进行鉴别诊断。
病灶在增强扫描后通常无明显强化,少数病例可表现为局部强化或结节状强化,这印证了其低级别、生长缓慢的生物学特性。在弥散加权成像(DWI)上,病灶通常表现为低信号,其表观扩散系数(ADC)值较高,这反映了肿瘤的低细胞密度,是与低级别星形细胞瘤进行鉴别的一项重要定量指标。
最后,DNET可导致邻近颅骨内板受压、变薄乃至重塑,但通常不伴有骨质破坏。这是肿瘤长期缓慢生长的良性特征的另一个标志。病灶可能合并局灶性皮层发育不良(FCD IIIb型),在MRI上表现为灰质与白质分界模糊。此种合并情况与癫痫发作密切相关,对于手术方案的制定具有重要的指导意义。
需要指出的是,影像学技术的持续发展正助力我们更清晰地揭示DNET的微观结构。例如,超高场强7T MRI能够提供前所未有的细节分辨率,其所显示的肿瘤微结构与经典的病理学描述高度吻合。未来,该技术有望帮助临床医生更精确地界定肿瘤范围,从而为手术切除提供更为可靠的影像学依据。
研究揭示的影像学额外特征


鲁特卡教授及其研究团队开展了一项回顾性分析,共纳入11例经病理学确诊的DNET患者,对其影像学特征进行了评估。所有患者均因患有药物难治性癫痫而接受了手术治疗,术前均在1.5T磁共振扫描仪上完成了FLAIR序列检查。
分析结果显示,在9例患者(占82%,敏感性为82%)的FLAIR图像中,可见边界清晰的肿瘤周围高信号环(可为完整环或不完整环)。在作为对照的21例患者中,仅有2例出现了高信号环征(特异性为90%)。病理学分析提示,该高信号环可能与肿瘤周边区域松散的神经胶质细胞成分相关。术后影像学复查中,有3例患者出现了部分残留的环征,而这3例患者均仍存在癫痫发作。另有1例患者在后续接受的第二次手术中被证实存在DNET复发。
该研究结果证实,FLAIR序列上的高信号环征是DNET在MRI上的一个额外特征性表现。此征象具有较高的敏感性(82%)与特异性(90%),可作为术前辅助诊断DNET的一项有用指标。同时,术后影像中若出现该环征,可能提示存在肿瘤残留或复发。
- 所属栏目:神外疾病
- 如想转载“INC鲁特卡教授解读:DNET在MRI上的额外特征,有助于临床诊断”请务必注明来源和链接。
- 网址:https://www.incsg.com/jibing/7720.html
- 更新时间:2026-03-06 10:12:08


