海绵窦区惊现“橙子”大脑膜瘤,四分之一颅腔被占?手术能否成功突围?
发布时间:2025-12-15 10:43:06 | 阅读:次| 关键词:海绵窦区惊现“橙子”大脑膜瘤,四分之一颅腔被占?手术能否成功突围?
- [案例]5岁幼儿松果体区畸胎瘤全切记:大脑肿瘤中惊现毛发与牙
- [案例]脑内“无声炸弹”:未破裂梭形动脉瘤为何需要手术干预
- [案例]脑瘤「盯上」8岁男孩,头痛背后藏着的童年危机
- [案例]脑干-中脑顶盖胶质瘤患者记实录:再见了“肿瘤君”,我
- [案例]7岁男孩患颅咽管瘤,1个月精准诊疗实现全切与功能保留
- [案例]颅底专家解读经鼻内镜脑瘤手术风险:如何规避 "微创"
海绵窦(CS)是位于蝶鞍两侧、硬脑膜两层之间的不规则腔隙结构,左右各一,平均尺寸为2cm×1cm。该区域因包含大量内皮覆盖的纤维小梁,将腔隙分隔成多个相互交通的小腔,形似海绵而得名。海绵窦内有颈内动脉和多项脑神经通过,其外侧壁与第I-VI对颅神经关系密切,具有重要临床意义。

图示:蓝色区域标示海绵窦解剖位置
海绵窦区肿瘤切除手术面临巨大挑战,术中易损伤多束颅神经、颈内动脉海绵窦段及其分支,以及伴行的交感神经丛,导致术后并发症风险增高。该区域手术对医生而言,既可能是成功切除病灶的"精密操作",也可能引发严重并发症的"高风险挑战"。
在1980年之前,海绵窦区被视为"手术禁区",手术死亡率和致残率极高。尽管70年代显微外科技术取得进展,但处理海绵窦及周围病变仍被认为达到技术极限。神经结构损伤风险、难以控制的出血和脑脊液漏等问题仍是主要挑战。
海绵窦区常见病变包括脑膜瘤、海绵状血管瘤、脊索瘤、软骨肉瘤、神经鞘瘤、囊肿等,临床表现多样,可通过颅脑MR及CT等影像学检查明确诊断。
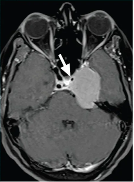
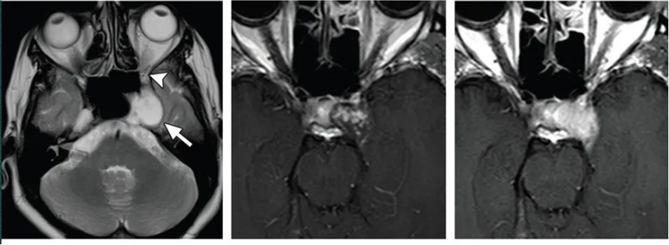
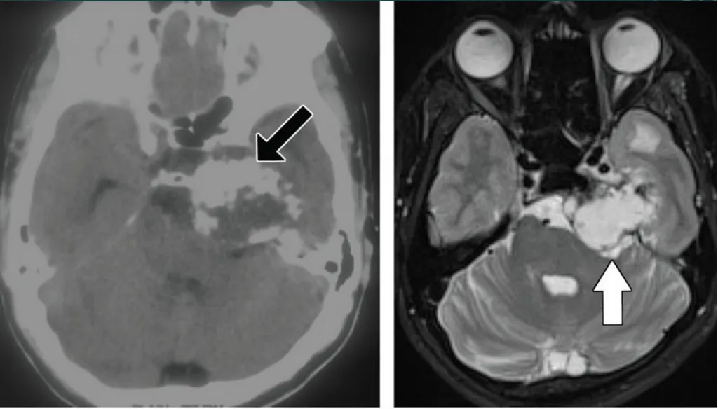
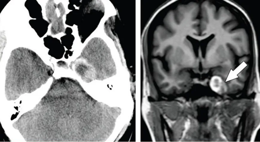
典型病例影像学表现

海绵窦脑膜瘤合并左侧颈内动脉狭窄,手术难度显著增加

海绵状神经鞘瘤,瘤内可见囊性变,实性部分强化明显

海绵窦血管瘤,T2加权像呈高信号,累及左侧Meckel腔

软骨肉瘤伴岩尖区膨胀性骨质破坏,侵犯左侧海绵窦后部

海绵窦黑色素瘤,需与海绵状血管瘤进行鉴别诊断

海绵窦区颈内动脉瘤

海绵窦区表皮样囊肿
各类肿瘤手术难度分析
在海绵窦肿瘤手术中,扩展至海绵窦内的垂体腺瘤和神经鞘瘤相对容易处理,因多数质地较软,可使用吸引器和环形刮匙切除,且肿瘤包膜易于从神经血管结构分离。脊索瘤、软骨肉瘤等其他肿瘤手术难度中等。脑膜瘤及海绵状血管瘤的手术难度最高。
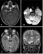
4cm巨大海绵窦区占位病变手术中,神经或血管损伤可能导致复视、眼球运动障碍、面部麻木等神经功能缺损。若颈内动脉受损,可引发严重出血或脑梗死,导致偏瘫甚至危及生命。巴教授团队通过精密配合,成功切除一例血供丰富的肿瘤,术后病理证实为孤立性纤维性肿瘤(CNS WHO 2级),建议定期随访无需放化疗。

具体肿瘤类型手术策略
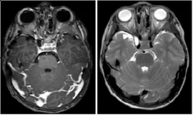
海绵窦脑膜瘤分三类:蝶-眶和床突脑膜瘤侵犯海绵窦、岩斜区脑膜瘤侵犯海绵窦、单纯海绵窦内脑膜瘤。此类肿瘤多呈纤维状、附着紧密、血供丰富,全切难度大。仅少数粘连较轻、质地较软的病例可实现全切,术后常见神经功能损伤和面部麻木。
垂体腺瘤多经内侧三角切除,必要时将肿瘤从外侧推至内侧进行操作。三叉神经鞘瘤可采用硬膜外侧入路,需谨慎保护动眼神经和外展神经。
脊索瘤和软骨肉瘤可通过多个海绵窦三角间隙显露,常用侧方和后方入路。多数肿瘤质地柔软呈凝胶状,可使用吸引器和刮匙切除。约10%病例血供丰富、质地坚硬,全切困难,术后质子放疗可预防复发。
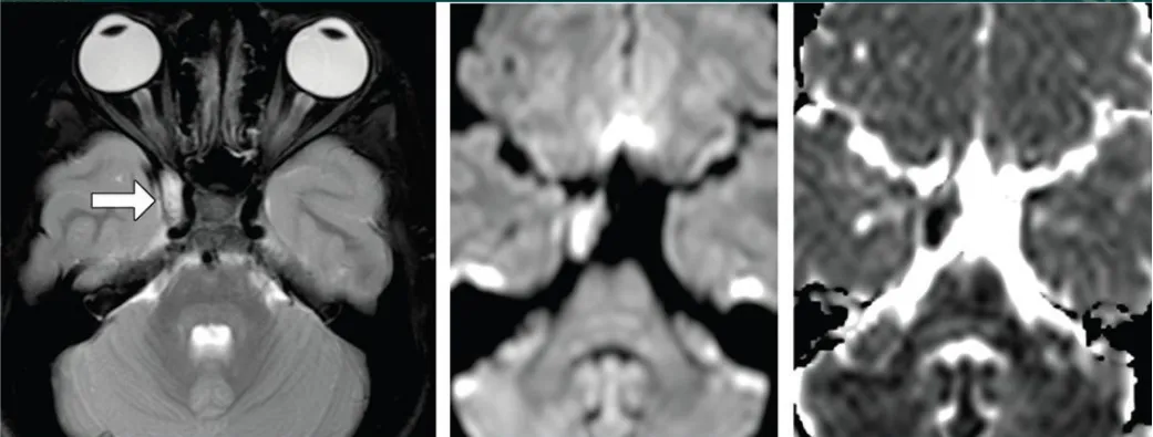
皮样囊肿案例:5岁男性患儿,表现为双侧额叶头痛、慢性疲劳、复视、上睑下垂和右眼肿胀一年。检查发现右侧第三颅神经麻痹,伴眼球突出、交叉性复视等症状。MRI显示右侧海绵窦侧壁边界清晰的椭圆形病灶。术后恢复顺利,病理证实为皮样囊肿。随访显示神经功能逐步恢复,MRI确认肿瘤完全切除。
影像学检查特征

图1:T1加权像病灶呈低信号伴周围高信号,T2加权像呈不均匀高信号。增强扫描仅见边缘轻度强化,病变压迫海绵窦内颈动脉。

图2:术后影像显示海绵窦神经血管结构减压良好,无肿瘤残留,FLAIR序列术前高信号完全消失。
通过系统化的手术策略和精准的操作技术,海绵窦区肿瘤可获得有效治疗,但需根据肿瘤特性个体化制定手术方案。
- 所属栏目:神外疾病
- 如想转载“海绵窦区惊现“橙子”大脑膜瘤,四分之一颅腔被占?手术能否成功突围?”请务必注明来源和链接。
- 网址:https://www.incsg.com/jibing/7236.html
- 更新时间:2025-12-15 10:36:59
- 上一篇:突发单侧身体手麻脚麻,是怎么回事?要紧吗?
- 下一篇:大脑镰旁占位 - 诊断与治疗


