胶质瘤复发可以不开颅手术吗?INC儿童神外大咖Rutka教授怎样答疑?
发布时间:2026-02-09 10:28:27 | 阅读:次| 关键词:胶质瘤复发可以不开颅手术吗?INC儿童神外大咖Rutka教授怎样答疑?
- [案例]面对少见脊索瘤三年三次复发的挑战,坚持抗争是否依然
- [案例]脑动静脉畸形分型解析:致密型与弥散型的手术决策点
- [案例]25岁罹患甲状腺癌,35岁脑现钙化灶!十年免疫系统异常攻
- [案例]当医生告知胶质瘤开颅可能会瘫痪,我却坚持手术:1个月
- [案例]从病危到6年无复发,12岁室管膜瘤男孩「一波三折」的治
- [案例]一个喷嚏引发的生命危机:58岁男子颈动脉破裂后的惊险救
激光间质热疗(Laser Interstitial Thermotherapy,LITT)是一种利用激光热效应消除靶组织的治疗技术。该技术基于神经外科立体定向原理,将带冷却循环套管的光纤置入脑内,通过10-15W红外激光加热周围组织实现消融目的。目前国际常用LITT系统采用1064nm和980nm波长激光,脑组织穿透范围2-10mm。

术中MRI采用快速破坏梯度回波序列,每8秒成像一次并生成实时热图,监测手术过程并估算组织坏死范围。当不可逆损伤区域覆盖整个目标消融区时终止手术,显著提高治疗精准度和安全性。
对于年龄较小或不宜再次开颅的脑肿瘤患者,LITT技术提供微创治疗选择。INC世界神经外科顾问团成员、加拿大Sick Kids儿童医院脑瘤研究中心主任Rutka教授在LITT技术领域具有丰富经验,曾治疗众多特殊病例。
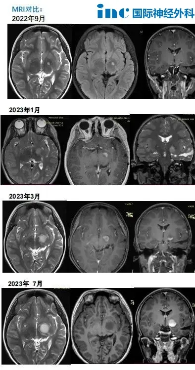
临床病例分析:11岁复发胶质瘤患者
11岁女性患者Judy因发育迟缓就诊,经脑部CT发现左侧鞍旁占位性病变。手术切除后病理诊断为毛细胞型星形细胞瘤(WHO I级)。术后出现视野缺损后遗症,定期MRI随访监测病情。
2022年复查MRI显示左侧丘脑出现异常信号,2023年复查发现病灶明显增大。经靶向药物治疗三个月后,MRI显示病灶进一步增大并强化,肿瘤尺寸从1.7cm×1.6cm进展至1.8cm。

面对再次开颅手术高风险和药物治疗效果不佳的困境,Rutka教授评估认为LITT可能是适合的治疗方案。

Rutka教授治疗建议详解
针对肿瘤位置和手术时机,Rutka教授指出残余肿瘤适合LITT治疗,最佳时机应在充分化疗试验后。建议继续使用曲美替尼化疗1-2个月后复查影像,根据肿瘤缩小或稳定情况决定后续治疗方案。
关于手术经验,Rutka教授表示Sick Kids医院常规开展儿童下丘脑错构瘤和低级别胶质瘤的LITT手术。治疗风险包括右侧肢体无力、出血、感染和复发,复发率与病灶清除程度相关。
术后管理方面,大多数儿童患者2-4天可出院,术前需使用地塞米松。若有肿瘤残余,术后可继续靶向药物或化疗治疗。

LITT手术流程与技术要点
术前准备
需在癫痫中心进行全面评估,精确定位癫痫灶并评估手术可行性。确定目标区域后安排手术治疗。

手术操作流程
全身麻醉下进行手术
头皮小切口并钻取铅笔大小骨孔
MRI引导定位目标区域
置入2mm激光探头导管
升温消融目标组织
计算机系统监测周围脑组织温度
关闭切口完成手术

术后恢复
患者住院时间通常为1-2天,3-7天内可恢复正常活动。术中MRI实时热成像监控确保治疗安全性和有效性。
技术优势与临床应用价值
LITT技术为不宜开颅手术的脑肿瘤患者提供微创治疗选择,特别适用于深部肿瘤和复发案例。实时热成像监测和精准温度控制保障治疗安全性,为儿童脑肿瘤患者提供新的治疗途径。
- 所属栏目:胶质瘤
- 如想转载“胶质瘤复发可以不开颅手术吗?INC儿童神外大咖Rutka教授怎样答疑?”请务必注明来源和链接。
- 网址:https://www.incsg.com/jiaozhiliu/7600.html
- 更新时间:2026-02-09 10:23:35


