意外查出脑瘤何时手术?与巴教授面对面后,TA们有了新决定
发布时间:2025-11-06 10:22:12 | 阅读:次| 关键词:意外查出脑瘤何时手术?与巴教授面对面后,TA们有了新决定
- [案例]面瘫?失聪?听神经瘤真的没法顺利全切吗?
- [案例]天坛医院手术纪实 | “视力一天天变差”,中外专家联手
- [案例]“就打了个喷嚏,竟险些让我付出生命的代价!”
- [案例]基底节区胶质瘤和它的“要命”邻居,7岁开颅术后竟无需
- [案例]活检判“四级”,开颅见生机:这个脑干胶质瘤实际是低
- [案例]德国30岁脊髓内肿瘤治疗案例
自10月中旬以来,INC国际神经外科医生集团旗下世界神经外科顾问团成员巴特朗菲教授在华期间,已成功完成多例疑难神经外科疾病示范手术。众多患者通过面对面深入交流后,果断选择手术治疗方案。目前这位国际神经外科专家的中国学术行程仍在持续进行。

在等待巴教授诊治的患者中,以下几个病例尤其值得关注:
5岁患儿霖霖因意外摔倒检查发现右侧海马及右顶叶占位性病变,初步诊断为低级别胶质瘤。面对手术不确定性,患儿父亲表示:"除了肿瘤切除效果,我更关注孩子术后的生活质量保障。"
8岁患儿小航同样因外伤发现颅内肿瘤,影像学显示右侧丘脑巨大占位病变合并脑积水。由于肿瘤位置深在、体积较大,每个治疗环节都需谨慎评估,成为家庭的重要负担。
一位21岁青年确诊右侧大脑脚及脑干血管瘤伴出血,辗转多家医疗机构获得的反馈均提示手术可能面临面瘫或肢体麻木等后遗症风险。
面对这些临床困境,巴教授明确表示:"我可以实施手术!"这一答复为患者带来了新的治疗希望。
意外发现脑瘤:两个儿科病例的治疗决策
虽然肿瘤发现具有偶然性,但其临床进展不容忽视。为获得更好预后,家属积极寻求最佳治疗方案,最终联系到巴教授团队。
5岁男孩右侧海马、右顶叶占位病变的诊疗决策
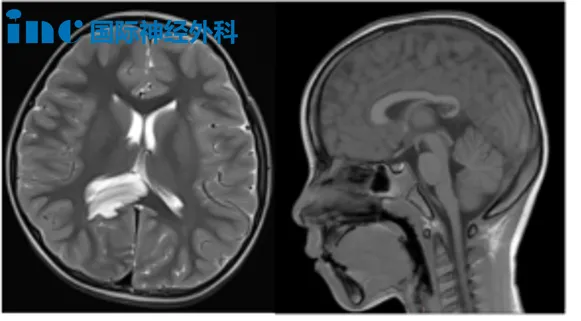
霖霖意外发现右侧海马及右顶叶占位病变,初期未呈现明显临床症状。考虑到患儿年龄因素,家属最初选择保守观察方案。然而肿瘤并未保持静止状态,在不到一年时间内,丘脑区已出现肿瘤推挤效应。

面对这一进展,拥有40余年神经外科经验的巴特朗菲教授如何评估?10月22日,家属带患儿至苏州大学附属儿童医院进行面诊。针对家属疑问,教授解释道:"此类肿瘤不会自行停止生长,年度复查将显示体积增大。另一关键问题是肿瘤可能发生基因突变,向更高级别恶性转化。此外,肿瘤毗邻颞叶内侧部,该区域病变易诱发癫痫发作......"
家属最关切的始终是患儿远期生活质量。为尽早解除肿瘤威胁,他们最终决定接受手术治疗。
8岁男孩右侧丘脑、基底节区占位病变的评估
类似情况也出现在8岁患儿小航身上。影像检查显示右侧丘脑与基底节区占位病变,病灶尺寸约4.0cm×4.7cm×4.8cm,高度怀疑为弥漫性胶质瘤。

患儿临床表现包括记忆力减退、注意力障碍及饮水呛咳等症状。面诊时家属焦虑询问:"肿瘤恶性可能性多大?巴教授能否为他手术?"他们未曾预料到肿瘤已发展至如此规模。
巴教授详细评估后明确指征:患儿具有明确手术指征,需尽快干预,不宜延误。关于病理类型,教授表示可能为低级别胶质瘤,但最终诊断需依赖术后病理学确认。
"感谢教授,我们后续可能需要您的帮助。"这句致谢背后,承载着家属重新燃起的治疗希望。
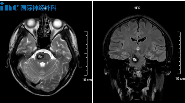
21岁青年面临的手术决策难题
今年9月,21岁男性因头晕症状确诊右侧大脑脚及脑干血管瘤伴出血。多家医院会诊意见存在分歧,部分建议手术但提示面瘫、肢体麻木等风险。当家属得知巴特朗菲教授在华学术交流消息后,立即寻求视频会诊机会。

针对该病例,巴教授分析指出:"血管瘤体积较大,需手术切除干预,否则未来再出血风险较高,可能引发更严重并发症。"他补充说明:"我已完成200余例脑桥部位手术,累计处理373例脑干海绵状血管瘤病例——在该领域我们具备充分技术储备。"
我们诚挚祝愿这位年轻患者能早日康复,恢复健康活力。
手术时机选择的临床思考
立即手术还是继续观察?这往往是脑瘤患者及家属面临的最大决策难题。
在巴教授中国行诊疗过程中,经常遇到疾病晚期才就诊的患者。此时总会产生疑问:为何未在一两年前及时手术?疾病晚期意味着治疗难度显著增加——如果还存在手术机会的话。有时医疗工作者也难以理解,为何众多患者非要等到病情危重、处理棘手的阶段才寻求治疗。
寻求巴教授帮助的患者多为疑难病例。"我已在大脑各区域完成成千上万例类似手术"——作为国际神经外科专家,巴教授拥有40年神经外科经验,其中30余年专注脑干手术。脑干、颅底、功能区、脊髓髓内等复杂部位,均是其中国示范手术的常见挑战区域。
随着巴教授中国行持续开展,越来越多患者开始了解并信任这位国际专家,选择面对面咨询。我们确信,通过中外神经外科专家的协同努力,更多生命希望正在不断涌现。
在巴教授中国行诊疗过程中,经常遇到疾病晚期才就诊的患者。此时总会产生疑问:为何未在一两年前及时手术?疾病晚期意味着治疗难度显著增加——如果还存在手术机会的话。有时医疗工作者也难以理解,为何众多患者非要等到病情危重、处理棘手的阶段才寻求治疗。
寻求巴教授帮助的患者多为疑难病例。"我已在大脑各区域完成成千上万例类似手术"——作为国际神经外科专家,巴教授拥有40年神经外科经验,其中30余年专注脑干手术。脑干、颅底、功能区、脊髓髓内等复杂部位,均是其中国示范手术的常见挑战区域。
随着巴教授中国行持续开展,越来越多患者开始了解并信任这位国际专家,选择面对面咨询。我们确信,通过中外神经外科专家的协同努力,更多生命希望正在不断涌现。
- 所属栏目:国际治疗
- 如想转载“意外查出脑瘤何时手术?与巴教授面对面后,TA们有了新决定”请务必注明来源和链接。
- 网址:https://www.incsg.com/guojizhiliao/6984.html
- 更新时间:2025-11-06 10:15:05
- 上一篇:“终于见到巴教授了!”一台穿越海绵窦区的高难度示范手术,结果如何?
- 下一篇:没有了


