“终于见到巴教授了!”一台穿越海绵窦区的高难度示范手术,结果如何?
发布时间:2025-10-23 10:13:10 | 阅读:次| 关键词:“终于见到巴教授了!”一台穿越海绵窦区的高难度示范手术,结果如何?
- [案例]天坛医院手术随访|"无症状"脑瘤需手术吗?术后她实
- [案例]研究发现低级别胶质瘤“早期手术”的生存益处
- [案例]儿子因脑干出血病危,两次120转运,为何医生说法截然不
- [案例]JNS发表德国巴特朗菲教授135例脑干脑桥海绵状血管瘤手术
- [案例]面部“刀割”之痛不再:INC国际福教授全切岩斜区脑膜瘤
- [案例]16岁基底节胶质瘤患者赴德手术,近全切功能区脑瘤
INC巴特朗菲教授的中国学术行程持续密集进行。多台高难度神经外科示范手术在中外专家协作及患者家属期待中顺利完成,为多名疑难脑瘤患者提供新的治疗希望。

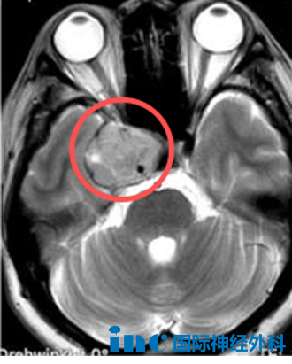
曾长期被视为"手术禁区"的海绵窦区,因解剖结构复杂且神经血管密集,至今仍是神经外科高风险区域。
"巴教授,终于见到您了!"会诊室内,一名42岁海绵窦区占位病变患者的母亲难掩激动。她长期期待的巴教授,可能是为女儿带来生存希望的关键人物。那么本次高难度手术的结果如何?

北京时间2025年10月22日,巴教授于苏州大学附属第四医院成功完成该例海绵窦区占位病变示范手术。
手术难点与技术要求
手术难度主要源于病变位置深在且解剖关系复杂。该区域不仅包绕颈内动脉,同时密集走行动眼神经、滑车神经、三叉神经和外展神经等重要颅神经。术中轻微操作偏差可能导致神经功能障碍。因此,手术核心目标是在最大限度保护血管与神经功能基础上,实现病变最大程度切除。
最终,在巴教授与国内神经外科团队紧密配合下,血供丰富的肿瘤获得满意切除。
术后恢复与患者情况
"明天一定要坐起来!"巴教授查房时给予暖心鼓励。另一名26岁女性患者芝芝,昨日接受丘脑占位手术后也传来好消息!术后次日普通病房查房时,患者四肢活动正常。巴教授用中文亲切询问:"你觉得怎么样?"并鼓励患者尽早下床活动,"明天一定要坐起来,尽量多走动。"芝芝的母亲全程在旁陪伴,为她提供支持。
目前,巴教授神经外科疑难示范手术持续开展。期望在求医过程中,更多患者能找到指引方向的希望,最终实现期待的治疗结果。

面诊咨询持续进行
今日,一名5岁男性患儿霖霖也见到巴教授。该患儿2024年11月因意外摔倒发现右侧海马、右顶叶占位病变,考虑低级别胶质瘤。2025年8月复查显示病灶尺寸39×24×28mm,病灶体积增大。患儿偶发头晕,休息后可缓解。"病灶压迫丘脑,需要手术治疗......"经与巴教授面对面咨询后,他们明确了后续治疗方向。
- 所属栏目:国际治疗
- 如想转载““终于见到巴教授了!”一台穿越海绵窦区的高难度示范手术,结果如何?”请务必注明来源和链接。
- 网址:https://www.incsg.com/guojizhiliao/6878.html
- 更新时间:2025-10-23 09:50:31


