INC国际大咖之Couldwell教授 | 偶然发现的垂体瘤手术还是观察?
发布时间:2025-10-14 10:31:16 | 阅读:次| 关键词:INC国际大咖之Couldwell教授 | 偶然发现的垂体瘤手术还是观察?
- [案例]16岁基底节胶质瘤患者赴德手术,近全切功能区脑瘤
- [案例]JNS发表德国巴特朗菲教授135例脑干脑桥海绵状血管瘤手术
- [案例]研究发现低级别胶质瘤“早期手术”的生存益处
- [案例]面部“刀割”之痛不再:INC国际福教授全切岩斜区脑膜瘤
- [案例]儿子因脑干出血病危,两次120转运,为何医生说法截然不
- [案例]天坛医院手术随访|"无症状"脑瘤需手术吗?术后她实
INC国际神经外科医生集团旗下世界神经外科顾问团(WANG)成员、世界神经外科学院前院长William T. Couldwell教授近期发表研究《Incidental pituitary adenomas》,以下为研究主要内容概述。

研究目的
临床上偶然发现的垂体瘤在影像学检查中较为常见,但其自然病程尚未完全明确。随着影像学检查技术的普及应用,偶然发现垂体瘤的检出数量呈现上升趋势。
本研究主要针对因其他临床指征接受影像学检查时意外发现、既往未被怀疑的垂体区病灶。William T. Couldwell教授通过检索PubMed数据库,并对所有相关文献的参考文献进行追溯,纳入报道偶然发现的垂体及鞍区病变、无功能性垂体腺瘤等疾病的发病率、自然病程、检查流程、治疗方式与随访策略的研究。
自然病程分析
尽管已有多个研究试图阐明偶然发现垂体瘤的自然病程,但现有数据较为有限且研究质量参差不齐。现有证据表明,其进展为垂体卒中(0.6/100人年)、视野缺损(0.6/100人年)及内分泌功能障碍(0.8/100人年)的风险相对较低。需要注意的是,较大病灶的卒中风险可能更高。
2011年,Fernández-Balsells等人对现有文献进行系统回顾与荟萃分析,旨在明确与偶然发现垂体瘤进展相关的预后因素。该研究共纳入11项以单中心为主的研究,平均随访时间2.3-8年。头痛作为最常见的临床症状,也是进行MRI检查的主要指征。
研究结果显示,女性患者中总体检出率较高。所有偶然发现垂体瘤的年事件发生率为5.8/100人年,其中大腺瘤的发生率显著高于微腺瘤(12.53 vs 3.32)。垂体卒中(0.6/100人年)、视野缺损恶化(0.6/100人年)及新发内分泌功能障碍(0.8/100人年)的发生率均维持在较低水平。Couldwell教授指出,尽管进行了全面的文献检索,但现有研究数量有限,对预测偶然发现垂体瘤自然史的帮助有限。此外,部分研究未区分无功能垂体腺瘤与偶然发现的垂体瘤,导致难以精确计算特定发病率。未来研究需要扩大样本量、采用前瞻性设计、明确纳入排除标准并统一随访方案。
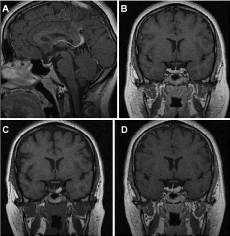
一项重要研究报道显示,在42例无症状垂体大腺瘤患者为期5年的随访中,近10%发生垂体卒中。这一风险在对意外发现的大肿瘤患者进行咨询时需要特别强调。值得注意的是,微腺瘤同样可能发生卒中(图1),其实际发生率可能高于现有认知,但具体数据尚不明确。Couldwell教授在随访意外发现的微腺瘤时,也会告知患者存在这一低概率风险。

图1展示了一名27岁女性患者的MRI资料,该患者因垂体微腺瘤接受William T. Couldwell教授的随访监测,后续发生垂体卒中。
A、B图为初次就诊时获得的矢状位与冠状位T1加权增强MRI,显示垂体左侧部一小腺瘤。
C、D图为随后复查的冠状位T1加权平扫及增强MRI,可见原肿瘤区域出现出血信号,提示腺瘤内卒中。
研究结论
偶然发现的垂体瘤在普通人群中并不少见。随着现代影像技术的广泛应用,临床医生遇到这些意外发现垂体病变的情况日益增多。首要诊疗步骤是通过详细病史采集、体格检查及全套激素测定,排除功能性腺瘤。其次,必须评估病变是否产生显著占位效应:若肿瘤毗邻视路,应进行内分泌功能评估(排查垂体前叶功能减退)及正规视野检查(排查视功能缺损)。
尽管此类病变的自然病程尚未完全阐明,但大多数偶然发现的垂体瘤可采取保守治疗策略。密切的临床与影像学随访至关重要,因为部分病变(主要是偶然发现的垂体大腺瘤)存在潜在增大风险,并可能诱发垂体卒中。
根据已发表的循证指南,总结的手术指征包括:
功能性腺瘤(泌乳素瘤除外);
导致视野缺损的病变;
紧邻视交叉的大型占位;
继发垂体前叶功能减退的大腺瘤;
随访证实体积持续增大的病变。

- 所属栏目:神外资讯
- 如想转载“INC国际大咖之Couldwell教授 | 偶然发现的垂体瘤手术还是观察?”请务必注明来源和链接。
- 网址:https://www.incsg.com/shenwaizixun/6815.html
- 更新时间:2025-10-14 10:25:16


