伴听力缺损的儿童桥小脑角区蛛网膜囊肿的手术治疗
发布时间:2026-03-23 19:06:01 | 阅读:次| 关键词:伴听力缺损的儿童桥小脑角区蛛网膜囊肿的手术治疗
- [案例]神经内镜微创术:从脑室吸出胶样囊肿!施罗德教授六大
- [案例]颈内动脉上的"致命水泡":一位年轻女性动脉瘤的两次
- [案例]北京天坛国际部巴教授「全切脑瘤,保7旬老人核心供血动
- [案例]“我再也不用担心出血了!”脑桥海绵状血管瘤患者术后
- [案例]宝宝平地摔跤?家长们不要一笑而过哦!
- [案例]JNS发表德国巴特朗菲教授135例脑干脑桥海绵状血管瘤手术
儿童突然出现听力下降,许多家长首先想到的是外耳道进水或中耳炎,很少有人会想到这背后可能隐藏着一个颅内囊肿。而当这个囊肿位于桥小脑角区(CPA),情况会变得更加复杂和危险。
桥小脑角区蛛网膜囊肿在儿童患者中本就十分罕见,更罕见的是它伴有听力损失的表现。这类患者往往在多家医院辗转就诊,直到影像学检查才真相大白。国际著名小儿神经外科专家、INC教授团成员Concezio Di Rocco教授团队对此进行了系统研究,为这群"被遗漏"的患者提供了手术治疗的方案。

桥小脑角区是一个解剖学上的特殊位置,汇集了多条重要的颅神经和血管。当蛛网膜囊肿在这里长大时,它会逐渐压迫周围的神经和血管结构。其中,第八对脑神经(前庭蜗神经)对压迫最为敏感——这条神经正是掌控听觉和平衡的"通道"。囊肿的压迫导致神经功能受损,患者开始出现听力下降,有的伴随耳鸣,有的甚至伴随平衡障碍和头痛。这些症状往往被误诊为常见的中耳疾病或神经源性听力障碍,延误了正确的诊断时间。

Di Rocco教授团队对2004年10月至2012年8月期间收治的患者进行了系统分析,共确诊4例伴听力缺损的儿童桥小脑角区蛛网膜囊肿患者,其中3例接受了手术治疗。这三例患者的手术结果各不相同,但都提供了宝贵的临床启示。第一例患者的主要症状是头痛,术后症状完全消失,这说明囊肿造成的占位效应确实是症状的根本原因。第二例患者术前听力明显下降,手术切除囊肿后,患者的听力在术后立即出现了完全恢复——这是最理想的手术结果。这个病例充分证明,早期诊断和及时手术对于挽救听力的重要性。第三例患者情况相对复杂,手术虽然阻止了听力缺损继续进展,但听力的恢复程度仅为轻微改善。这提示我们,当神经受压时间过长或压迫程度过重时,即使解除压迫,神经功能的恢复也会受到限制。
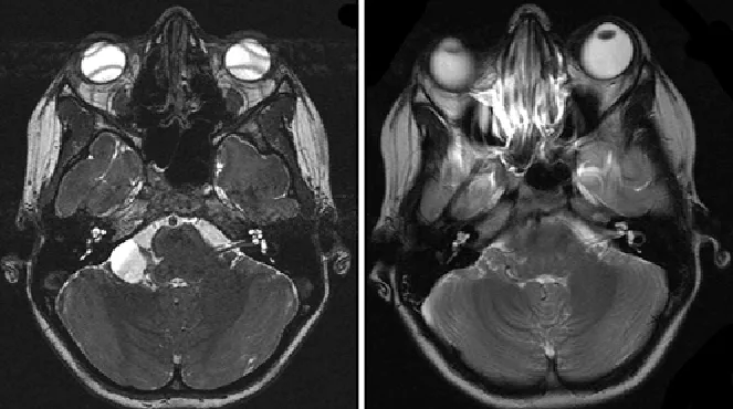
对于这类患者,手术并非简单的囊肿剔除,而是需要在保护重要神经结构和彻底缓解症状之间找到平衡点。Di Rocco教授团队采用的手术策略包括:首先,通过术中神经电生理监测实时评估第七、八对脑神经的功能状态,这使得医生能够在操作过程中随时调整策略,避免进一步伤害。其次,选择恰当的手术入路——通过影像学数据精确定位囊肿与周围神经血管的关系,制定个体化的手术方案。第三,术后的影像学复查(MRI对比)显示,虽然囊肿被成功切除或部分引流,但患者的神经结构和脊液通道得到了明显改善。




并非所有的桥小脑角区蛛网膜囊肿都需要立即手术。Di Rocco教授团队的研究表明,手术指征的把握至关重要。有症状患者——特别是出现听力缺损、头痛等功能障碍的患者,应该尽早接受手术评估,早期干预能够最大程度地保护和恢复神经功能。无症状患者——即使影像上发现了囊肿,也可以采取定期影像学复查的"观察等待"策略,除非囊肿显示快速生长的趋势。
对于儿童听力缺损患者,临床医生需要保持高度警觉。传统的听力检查(纯音测听、脑干听觉诱发电位ABR)能够确认听力损失的存在,但要找到真正的病因,高分辨率MRI(尤其是T2加权序列)是必不可少的。Di Rocco教授团队的案例表明,很多家长在带孩子做过普通听力检查后就放弃了进一步诊查。这是一个常见的误区。当儿童出现原因不明的听力下降时,颅内病变(包括桥小脑角区囊肿)必须被列入鉴别诊断的范围。
这项8年的研究虽然病例数不大(仅3例手术患者),但其临床价值重大。它再次提醒我们:儿童听力缺损的病因复杂多样,不能止于常见诊断;手术时机的选择直接影响预后——越早发现、越早治疗,神经功能恢复的可能性越大;在微创手术和神经保护技术不断进步的今天,颅内囊肿患者获得完全恢复的希望越来越大。对于已经确诊的患者家庭,选择有丰富小儿神经外科经验、能够进行术中神经电生理监测的专业医疗团队至关重要。医患之间充分的沟通与信任,是制定最优治疗方案的前提。在Di Rocco教授和INC国际团队的不断努力下,越来越多"被遗漏"的患者正在获得正确诊断和有效治疗的机会。对于任何疑似颅内病变导致的儿童听力缺损,医学建议是:不要犹豫,让影像学说话。

- 所属栏目:脑瘤治疗
- 如想转载“伴听力缺损的儿童桥小脑角区蛛网膜囊肿的手术治疗”请务必注明来源和链接。
- 网址:https://www.incsg.com/naoliu/zhiliao/7852.html
- 更新时间:2026-03-23 18:59:53
- 上一篇:做过伽马刀之后还能手术吗?
- 下一篇:髓母细胞瘤:放化疗的“隐形代价”


