产检发现胎儿脑后长出“大包”,剖腹产后宝宝的情况令人担忧
发布时间:2026-04-18 20:18:07 | 阅读:次| 关键词:产检发现胎儿脑后长出“大包”,剖腹产后宝宝的情况令人担忧
- [案例]较大松果体区肿瘤4年内多次放化疗及手术失败,终得顺利
- [案例]70岁,基底节“脑内炸弹”最新随访!INC国际神外教授仅用
- [案例]7岁男孩一颗巨大脑瘤贯穿脑干:从走路跌倒到3公里“小飞
- [案例]“脊髓髓内肿瘤观察只会加重病情?”决心手术的她,1个
- [案例]“脑瘤易复发,为何不扩大切除?”——一位32岁女性15年
- [案例]无症状脑动静脉畸形意外检出:积极干预或保守观察?
一次常规产检,竟发现胎儿脑后存在异常膨出,其体积之大,被形象地描述为“一个头,两个大”。剖腹产术后,新生儿的情况牵动着众人的心。
一位40岁的孕妇按计划前往医院进行常规产前检查,但本次检查结果却出现了意料之外的变化。超声检查显示,宫内胎儿的大脑体积呈现显著增大,其大小甚至堪比两个正常胎头。胎儿能否顺利娩出,成为了一个严峻的问题。

孕妇随即接受了多学科团队会诊。胎儿磁共振成像检查结果揭示,位于胎儿脑后枕部的巨大膨出物,实际上是一种被称为Chiari III型畸形的先天性结构异常。此种畸形十分罕见,且预后通常较差,患儿往往难以长期存活。即便能够幸存,其认知功能与行为发育水平也多表现较弱,大部分患儿的智力水平或神经功能会低于正常标准,可能出现智力障碍或神经功能缺陷。
是否继续妊娠?从医学角度评估,不良的预后倾向可能指向终止妊娠。然而,基于孕妇个人的宗教信仰,她最终决定将胎儿娩出。在后续的孕期检查中,脑膨出持续增大,似乎预示了这个孩子未来将面临的重重挑战。
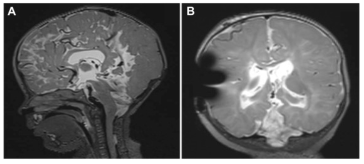
妊娠至第九个月时,孕妇接受了剖腹产手术,婴儿顺利娩出。新生儿头围测量为34厘米,但其脑后的巨大膨出物周长竟达40厘米,尺寸甚至超过了婴儿头部。值得欣慰的是,婴儿意识状态清醒,四肢具备自主活动能力,心肺功能维持稳定。此外,进一步检查还发现了脑干下疝、颈髓空洞症以及加重的脑积水。

世界立体定向与功能神经外科学会前主席Joachim K. Krauss教授主导了该患儿的后续治疗。出生后第三天,Krauss教授决定实施手术治疗。首先为缓解脑积水,Krauss教授在患儿侧脑室内置入Rickham储液囊,并通过切开囊部成功释放了脑脊液。随后进行了疝出脑组织的部分切除手术,并放置了分流管,同时联合应用抗生素治疗。
术后患儿一般状态良好,但存在四肢痉挛和眼球震颤。Krauss教授建议应尽早为患儿开始物理治疗,同时需加强语言功能训练并关注心理治疗。然而,鉴于疾病的严重程度,患儿在3岁多时,虽然意识状态无碍,具备基本交流能力,但在运动、语言、智力及认知多个方面均表现出不同程度的发育迟缓和功能缺损。具体表现为:无法独立行走,可自行进食但穿衣动作略显笨拙,虽无明确的神经功能缺陷但运动功能受限,能在家庭环境中与小朋友玩耍,面对陌生人时则表现出警惕性。
随访影像学检查显示,患儿的后脑疝出及颈髓空洞症已消退,巨大的脑膨出完全消失。然而,胼胝体、顶叶及枕叶仍存在多种脑部结构异常,并伴有小脑萎缩。患儿的智力水平明显低于正常儿童。

Chiari III型畸形解析
Chiari畸形属于一种先天性后颅窝发育畸形,其病理特征为小脑组织向下疝入椎管内。该畸形主要分为四种类型,其中Ⅰ型与Ⅱ型相对常见,而Ⅲ型与Ⅳ型则十分罕见且病情严重。


持续性疼痛是常见症状,其他症状还包括眩晕、耳鸣、复视、步态不稳以及肌无力等。常见体征有下肢反射亢进和上肢肌肉萎缩。超过50%的患者存在感觉障碍,通常表现为上肢痛觉与温觉减退,而下肢则为本体感觉减退。眼球震颤、软腭无力伴随呛咳也较为常见。视乳头水肿则相对罕见,若出现视乳头水肿,多提示可能同时存在小脑或桥脑肿瘤。
上述病例中的婴儿所患即为Chiari III型畸形,该型通常更为严重和罕见,其特征是小脑及脑干组织疝入颈部或后脑勺的囊性膨出物内,伴有极高的神经功能缺损发生率和死亡率,通常在出生时即可被发现。此案例也向众多家长提示,产前诊断具有至关重要的意义。

本案例来源:Chiari III Malformation: Quantification of Long-term Outcome After Early Surgery
- 所属栏目:神外疾病
- 如想转载“产检发现胎儿脑后长出“大包”,剖腹产后宝宝的情况令人担忧”请务必注明来源和链接。
- 网址:https://www.incsg.com/jibing/8065.html
- 更新时间:2026-04-18 20:13:08


