意外“摔”出的脑肿瘤,长在大脑中心的松果体区肿瘤,怎么治疗生存率高?
发布时间:2026-03-23 13:54:54 | 阅读:次| 关键词:意外“摔”出的脑肿瘤,长在大脑中心的松果体区肿瘤,怎么治疗生存率高?
- [案例]40岁女子「脑壳痛」到没办法,一查竟是巨大脑膜瘤!
- [案例]鞍区肿瘤伴血供丰富与紧密粘连的处理策略解析
- [案例]“头痛得脑子都快移位了”他如何摆脱巨大岩斜区脑膜瘤
- [案例]毫厘级“生命博弈”,INC巴教授又完成1台脑干延髓示范手
- [案例]产后2个月头痛至无法站立,检查发现“脑瘤”从8mm猛增至
- [案例]睡眠、代谢、情绪竟然都与它有关!?下丘脑出现病变怎
一次平常的摔跤,对活泼好动的孩子来说本来不足挂齿。但6岁的鑫鑫却在这次意外中得到了意想不到的发现——一个潜伏在大脑中心、正在不断长大的肿瘤。这个发现改变了鑫鑫的人生轨迹,也让他有机会获得新生。
类似鑫鑫这样的情况在临床并不罕见:患儿因摔倒就医,却意外查出脑瘤。人们不禁追问:这到底是幸运的巧合,还是肿瘤早已导致平衡障碍引发跌倒?儿童脑瘤症状往往隐蔽,且幼童无法清晰表达头痛、恶心等不适,导致许多患儿确诊时肿瘤已进展到危险体积,甚至威胁生命。鑫鑫的肿瘤,就是在这样的背景下被发现的。

松果体虽然仅有米粒大小,位于大脑深处的几何中心,却是人体的"生物钟"与"青春秘钥"。它分泌的褪黑素精准调控睡眠-觉醒周期,深刻影响免疫、代谢和衰老进程。一旦发生病变,无论是肿瘤压迫还是功能紊乱,都可能导致昼夜颠倒、睡眠障碍、内分泌失调甚至生长发育异常,其影响力远超其微小体积。

在神经外科领域,松果体区是手术的高难区域。它深埋大脑核心,被密集的静脉丛(如大脑大静脉、Galen静脉)和重要神经结构(如中脑、丘脑)紧密包围,堪称大脑的"血管与神经枢纽"。这里的手术,哪怕毫米级的偏差都可能导致灾难性出血或永久性神经功能损伤。因此,松果体区病变对神经外科医生的技术、经验与手术设备提出了极高要求。

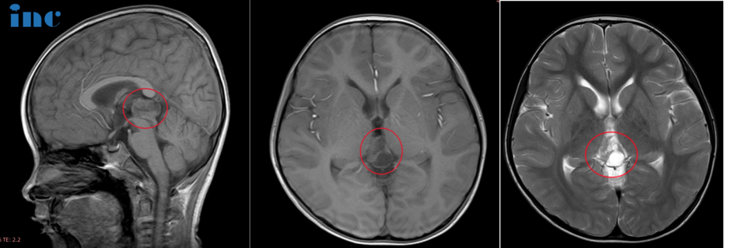
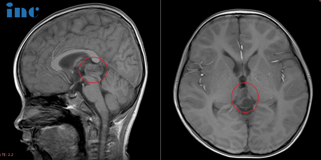
2021年,6岁的鑫鑫因意外摔破头皮就诊。CT检查发现松果体区阴影和钙化灶,MRI进一步确认病灶大小为22×14×17mm。回顾既往,父母才意识到孩子曾有身高发育缓慢、走路不稳易绊倒的表现。到2023年7月,最新MRI显示病灶已增大至25×19×15mm。此时的鑫鑫睡眠不稳定、逻辑理解能力下降、记忆力衰退,还出现了一系列心理问题。眼看孩子的成长之路可能因此受阻,鑫鑫的父母开始寻求更好的治疗方案。
当听说巴特朗菲教授来国内学术交流,这位父亲主动找到巴教授,希望听取他的专业意见。巴教授仔细研究了鑫鑫的影像资料后,直言:必须尽快手术,不能再给肿瘤生长的时间。为此,家长们争取到了巴教授在首都医科大学附属北京天坛医院的手术机会,鑫鑫提前入住医院,等待巴教授的到来。
巴教授到达天坛医院后,来到病房查看鑫鑫。此时的鑫鑫在父母陪伴下开心玩耍。亲切和蔼的巴教授面对这个小患儿始终保持童心。他耐心细致地进行查体,温柔地询问"我可以摸摸你的头吗?",为鑫鑫检查头部,让他抬头看一看……在了解鑫鑫的身体详细情况后,巴教授也为这位勇敢的孩子加油打气,称赞"Very good!"

巴教授与患儿鑫鑫的互动交流,巴教授耐心细致地为患儿进行查体检查,关切询问病情,用温暖的话语为患儿加油鼓励
巴教授在北京天坛医院为鑫鑫成功完成了全切手术,术中对神经功能的保护完美无缺。术后第一天,鑫鑫便从ICU转回普通病房,状态良好:能进食、能清晰表达、无疼痛不适,还能握住巴教授的手,四肢活动正常。次日查房时,这位小战士用英语说出了自己最喜欢的玩具"Tank!",稚气的童言让在场的父母和医护人员都露出欣慰的笑容。主刀团队的国内专家也纷纷为他点赞。
松果体区是一个复杂的肿瘤"集中地",已知有超过17种不同类型的肿瘤可在此处发生。国际治疗标准是主张先进行手术切除,目的为明确肿瘤性质、减小肿瘤体积。手术通常可以解决以下问题:良性和低度恶性肿瘤通过根治性切除可降低复发程度,获得更佳预后,如脑膜瘤、松果体细胞瘤、表皮样瘤和成熟畸胎瘤;手术可为恶性松果体肿瘤减少病变细胞数量,为后期放化疗铺路;除了生殖细胞肿瘤外,其他恶性松果体肿瘤对放疗反应性较差,但手术可显著降低肿瘤负荷;手术配合脑室外引流术、脑室-腹腔分流术等,可有效纠正梗阻性脑积水。
松果体周围遍布重要脑组织结构及神经血管组织,脑功能区繁多且至关重要,不容有损,否则易导致残疾或生命危险。因此,手术难度极大,一直被视为神经外科的"禁区"。要在"禁区"动刀,既要保证肿瘤的切除效果,又要避免对松果体及周围组织造成损伤,如同在悬崖边跳舞,不容任何失误。正因为如此,鑫鑫初诊时,多数医生只敢建议保守治疗。
为争取更高的生存率,鑫鑫的父母在INC国际神经外科医生集团协调下,寻求巴特朗菲教授进行手术切除。松果体区肿瘤的手术入路一般包括幕下小脑上入路、枕下小脑幕入路、后纵裂经胼胝体入路等,最适合的方式主要取决于肿瘤的解剖学特点。针对鑫鑫的情况,巴特朗菲教授采取幕下小脑上入路,最终实现了肿瘤的全切除,并尽力减少了对周围组织的损伤,这对预防后期肿瘤复发起到了关键作用。
松果体区肿瘤病理类型多样,治疗方式各异,但其原则始终不变:尽可能减小肿瘤面积,控制生长,从而获得长期生存。建议患者选择技术过硬、临床经验丰富的神经外科专家,获取最科学、最适合的治疗策略。
- 所属栏目:松果体区肿瘤
- 如想转载“意外“摔”出的脑肿瘤,长在大脑中心的松果体区肿瘤,怎么治疗生存率高?”请务必注明来源和链接。
- 网址:https://www.incsg.com/huanzhegushi/songguotiquzhongliu/7848.html
- 更新时间:2026-03-23 13:36:56


