松果体囊肿怎么治疗?长期头痛难忍,选择手术的他怎么样了
发布时间:2025-11-06 10:32:38 | 阅读:次| 关键词:松果体囊肿怎么治疗?长期头痛难忍,选择手术的他怎么样了
- [案例]岩斜区脑膜瘤怎么治疗?INC福教授破解高危区域手术
- [案例]听神经瘤复发的可能性大吗?7次手术7次复发的他如何摆脱
- [案例]INC国际巴教授——10月天坛医院交流手术!
- [案例]德国脑干肿瘤患者在华成功手术,中外专家共闯"生命禁
- [案例]脑干反复出血致残8载,今朝终复行走如常!
- [案例]中年健康危机:视力模糊背后的垂体瘤警示
磁共振成像(MRI)研究数据显示,1.8%-4.3%的健康受试者存在松果体囊肿。尸检研究进一步表明,普通人群中高达40%的个体可发现松果体囊肿。虽然多数病例无明显症状,但部分松果体囊肿可能逐渐增大并对周围结构(包括顶盖、中脑导水管及静脉系统)产生占位效应,此时需考虑治疗干预。
由于松果体囊肿发病率较高且常伴随非特异性症状,关于症状与囊肿关联性的学术讨论持续存在。目前,对于仅表现为头痛而无神经系统症状、且不伴有脑积水的松果体囊肿患者,其治疗策略尚未达成共识。部分学者认为,若无梗阻性脑积水或顶盖受压征象,症状不应归因于松果体囊肿,此类患者适宜采取保守治疗。另有观点指出,松果体囊肿可能导致中脑导水管间歇性梗阻或压迫关键神经结构,经过完善的术前评估后,手术切除具有合理性。

基于此,INC国际神经外科医生集团旗下世界神经外科顾问团(WANG)成员Henry W.S. Schroeder教授(施罗德教授)在研究中分享了无脑室扩大情况下切除松果体囊肿的临床经验,重点探讨手术指征、并发症及预防措施。
01 长期进行性头痛患者术后疗效分析
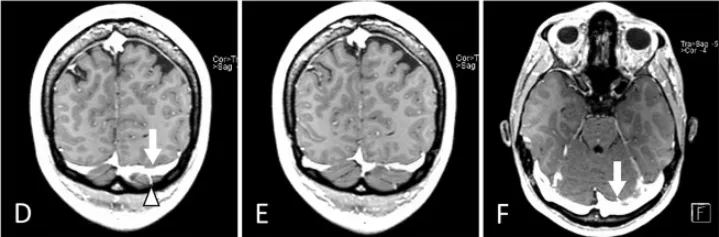
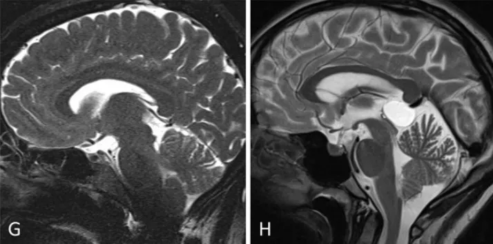
术前(A)及术后(B)正中矢状位MRCISS成像显示:松果体囊肿导致中脑导水管狭窄(箭头标示),但未引发脑积水。术后影像(B)证实囊肿完全切除,中脑导水管恢复通畅。开颅手术范围延伸至横窦区域(箭头标示)。患者临床症状完全消失。手术入路选择基于增强T1加权磁共振成像(冠状位D、E,轴位F)评估:左侧优势静脉窦及桥静脉分布情况,最终选择静脉窦穹隆较高的右侧入路。小脑幕倾斜度分析表明:旁正中入路(G)至松果体区的视角轨迹较中线入路(H)更为平缓。



02 手术疗效与预后评估
据施罗德教授研究,本系列为迄今针对不伴脑积水的单纯性松果体囊肿切除术的最大规模病例研究(以论文发表时间为准)。多数患者呈现良好至优异的预后,与文献报道一致。研究纳入2003至2020年间73例接受手术治疗的松果体囊肿患者,均采用显微镜下小脑上-幕下(SCIT)入路。平均随访时间26.6个月(范围6-139个月)。
其中62例患者(女性51例,男性11例,平均年龄28.1岁,范围4-59岁)术前无脑室扩大。主要临床表现包括头痛、视觉障碍、头晕/眩晕、恶心/呕吐及睡眠障碍。59例(95.2%)实现囊肿全切除。根据芝加哥Chiari预后量表评估,62例患者中55例(89%)术后症状改善,达到良好或优异疗效,主要症状实现完全或部分缓解。
研究结果表明,即使不伴脑室扩大,松果体囊肿切除术对特定患者群体仍具有手术指征。本研究中生活质量受损症状术后缓解率较高,证实手术治疗价值。术前需严格排除其他可能导致主要症状的病因。所有患者均无脑室扩大,表明无脑室扩大和/或无顶盖受压导致的视觉障碍并非手术禁忌症。因此,对于存在提示颅内压一过性增高症状但无脑室扩大的患者,不应一概拒绝手术干预。
03 松果体囊肿手术决策考量
松果体囊肿较少引起临床症状,多作为偶然发现于头痛检查过程中。多数情况下并非症状的直接原因。文献报道指出,大型松果体囊肿可能成为潜在症状性病变,因压迫中脑导水管导致脑室扩大,或压迫顶盖引发中脑背侧综合征。
关于如何处理无明显颅内高压体征或症状性占位效应的松果体囊肿患者,学术讨论仍在继续。现有病例系列研究描述了不伴脑积水或顶盖受压的松果体囊肿手术结果。Kalani等报道显示,18例接受松果体囊肿切除术患者中17例(94.4%)现有症状获得缓解或改善。作者认为无脑室扩大和中脑背侧综合征并非手术干预绝对禁忌症。
但需明确强调,大多数松果体囊肿无症状且无需治疗。针对此类良性病变,考虑到手术入路的潜在风险,决定手术切除前需对患者进行全面评估。本研究结果证实,经过严格筛选后,手术可为部分松果体囊肿患者提供症状显著缓解和生活质量改善的选择。
04 手术入路选择策略
幕下小脑上(SCIT)入路属于经自然通道的脑实质外入路。替代方案包括枕部经幕入路(OTT)和枕部双幕/镰旁入路,或仅在脑室扩大时采用额部内镜入路。不建议采用OTT入路,因松果体囊肿位于小脑幕和静脉下方,该入路需切开小脑幕且存在术后偏盲风险。
虽有纯内镜SCIT入路报道,但微创旁正中入路中手术通道狭窄,使用内镜难以实现无限制手动剥离。关于为保留褪黑素分泌功能而残留少量松果体组织的建议,本研究通常实施囊肿全切除。仅观察到少数暂时性睡眠问题,经短期褪黑素替代治疗解决。未证实残留囊肿组织能维持正常生理功能。
结论
目前关于不伴脑积水的松果体囊肿手术治疗的科学证据有限。施罗德教授等认为,经过严格筛选的患者,即使不存在脑室扩大,也可考虑松果体囊肿切除术。
本研究中导致生活质量下降的症状术后缓解比例较高,表明松果体囊肿切除术具有良好指征。术前必须排除其他导致主要症状的病因。中脑导水管间歇性梗阻可能引起颅内压增高,导致间歇性症状。此外,松果体囊肿压迫深部静脉结构导致的静脉高压也可能是症状成因。
然而,由于缺乏可靠预测因子,决策过程仍具挑战性。目前尚无充分科学证据支持将该技术普遍推荐为头痛和其他非特异性症状的常规治疗方法。
- 所属栏目:松果体肿瘤
- 如想转载“松果体囊肿怎么治疗?长期头痛难忍,选择手术的他怎么样了”请务必注明来源和链接。
- 网址:https://www.incsg.com/songguotiliu/6985.html
- 更新时间:2025-11-06 10:25:18
- 上一篇:松果体乳头状瘤手术难在哪里?
- 下一篇:没有了


