细节决定成败!忽略这些术前“侦察”,颅底肿瘤手术就是在雷区“盲走”
发布时间:2026-04-28 19:21:04 | 阅读:次| 关键词:细节决定成败!忽略这些术前“侦察”,颅底肿瘤手术就是在雷区“盲走”
- [案例]意外“摔”出的脑肿瘤,长在大脑中心的松果体区肿瘤,
- [案例]三大常见鞍区肿瘤——垂体瘤、脑膜瘤、颅咽管瘤,国际
- [案例]这种胶质瘤全切后,视力还能保住吗?先来看看这两个故
- [案例]当巨大脑瘤扼住我命运的咽喉,而手术却只能用“温柔刀
- [案例]从6岁儿子的小小鼻孔里,医生竟然“夹”出一颗7厘米巨大
- [案例]鞍区肿瘤伴血供丰富与紧密粘连的处理策略解析
时至今日,颅底手术依然是对外科医生综合能力的极限考验——精确度、耐力、体力与手术直觉缺一不可。根本原因在于该区域解剖结构极为复杂:位置深在、暴露路径有限、周围密布重要神经和血管。术者必须在错综交织的神经血管间隙中穿行,一边切除肿瘤,一边守护正常神经组织不受损伤。这要求术者对颅底三维解剖了如指掌,无论是正常结构还是变异形态,乃至病理状态下的解剖改变,都必须心中有数。一句话概括:肿瘤长在哪里、周围挨着什么关键结构,术前必须摸得清清楚楚。
从一个真实案例看颅底手术的复杂程度
一枚32×30×29毫米的鞍区肿瘤,向前上方挤压视交叉、向前下方压迫垂体柄、向后方推挤脑干;与动眼神经、滑车神经、三叉神经紧密缠绕,紧邻颈内动脉和基底动脉系统——解剖关系之复杂,堪称教科书级别。
为了选择最优入路、制定精密方案,福洛里希教授团队做了哪些术前准备?

第一步,通过高分辨率CT(HRCT)全面评估颞骨气化程度、面神经管走行轨迹、颈内动脉岩骨段的空间定位等骨骼参数;
第二步,借助薄层增强MRI精准锁定肿瘤与面神经、听神经、滑车神经、动眼神经的解剖毗邻关系,同时掌握内耳结构的详细情况;
第三步,采用3D-TOF MRI(三维飞行时间磁共振血管成像)配合术前脑血管造影(DSA),深入分析肿瘤供血来源、邻近大血管走向以及静脉窦的回流情况;
第四步,利用影像学三维重建技术,从立体视角观察病灶与周边重要结构的空间关系,初步模拟手术路径走向并预估各环节风险等级。

以上仅是术前筹备阶段的工作。进入手术室后,术者以功能保护为第一原则进行精细化操作,最终这枚肿瘤被顺利满意地全切切除,患者术后恢复状况良好。
每一台顺利完成的手术都值得总结成功经验以便复制推广,每一台曲折的手术更需要复盘反思以助下次更顺。

今天要重点分享的是福洛里希教授团队发表的一项研究——《Lariboisière医院用于提高经岩骨入路安全性的术前手术核查表》。这项工作聚焦于一个核心问题:如何在术前通过系统性检查来提升颅底手术的成功率,降低术中每个步骤可能遇到的特定风险?研究以经岩骨入路为例进行了深度剖析。

经岩骨入路自20世纪80至90年代逐步发展成熟,主要用于处理岩斜区脑膜瘤、斜坡脊索瘤和三叉神经鞘瘤等颅底深部病变。其核心策略是通过磨除部分骨质来暴露深部病灶,对手术团队的技战术水平要求极高。术前必须逐帧审阅磁共振成像和计算机断层扫描影像,因为解剖变异或病理改变十分常见,任何遗漏都可能增加入路相关的并发症概率。

自2012年起,福洛里希教授所在团队便建立了常规化的术前影像精细分析流程。通过对每例手术的复盘总结,他们识别出了一系列需要在每次手术前例行核查的特定骨骼与血管特征——这些特征往往对应着术中某一关键步骤的技术难点或潜在陷阱。核查清单涵盖:岩骨气化程度、岩尖与斜坡之间的夹角大小、岩骨段颈内动脉是否存在骨质缺损、膝状神经节骨质覆盖情况、上半规管距中颅窝底的距离、耳蜗距中颅窝底的距离、乙状窦优势性判定、横窦-乙状窦结合部至外层皮质的深度、颈静脉球高低位置分类、Labbé静脉走行模式以及岩上静脉复合体特征等十余项指标。
Labbé静脉与横窦-乙状窦结合部损伤风险
当患者存在不规则颅内板骨质增生(如脑膜瘤病患者或老年人群),开颅过程中损伤脑组织或静脉窦的概率会显著上升。针对经岩前入路,通常采用标准的颞下开颅方式;而面对经岩后及联合经岩骨入路,则在横窦-乙状窦结合部上方行L形开颅或颅骨切除术。显露乙状窦后硬脑膜和横窦(枕下开颅)后,可将横窦-乙状窦结合部和乙状窦向后下方推移,从而腾出操作空间。横窦-乙状窦结合部的精确位置必须在术前影像上明确标记并在术中经神经导航二次确认,以最大限度避免开颅环节的误伤。

图1.左侧Labbé静脉的两种不同走行模式的矢状位T1增强MRI。从外侧裂到横窦-乙状窦交界处的曲折走行(A–C),以及沿岩骨的较长且低位的水平走行(D–F)。
对于所有类型的经岩骨入路,均需在轴位和矢状位增强MRI上仔细排查Labbé静脉及其他颞叶静脉的走行路线。临床经验表明:若Labbé静脉沿颞叶呈较长且偏低的水平走行,则开颅操作中损伤它的风险将明显增高。
乳突切除术相关的潜在风险
这一步骤的核心隐患集中在四方面:乙状窦损伤、颈静脉球损伤、半规管损伤以及面神经损伤。
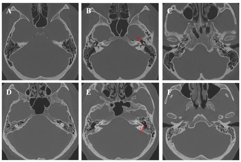
岩骨气化程度的高低,加上乙状窦、颈静脉球、半规管和面神经周围骨质厚度的差异,直接决定了外科医生在该环节的操作信心与推进速度。当乳突气化充分时,区分松质骨与皮质骨相对容易;而在气化不良的情况下,神经导航系统成为保护半规管、耳蜗和面神经的关键辅助工具。此外,无论岩骨气化程度如何,鼓窦入口作为一个恒定存在的解剖标志,都必须在启动磨骨前通过CT扫描加以确认。

图3. 岩骨气化程度。轴位CT扫描显示两个病例,分别为高度气化(A–C)和低度气化(D–F)的岩骨。在所有病例中,鼓窦入口的存在都是一个恒定结构(红色箭头)。
颈静脉球的意外损伤是乳突切除术中最具灾难性的并发症之一。高位颈静脉球有时距离后半规管和内听道极近,一旦误伤后果不堪设想。因此在开始乳突切除前,务必通过冠状位MRI和CT扫描明确颈静脉球的高度状态——这不仅让术者对高风险区域保持警觉,更重要的是提示迷路下通道空间受限,此时经岩后入路可能并非最优选项。

图4. 颈静脉球高度的变异。第一例显示颈静脉球(黑色箭头)与内听道(红色箭头)之间的正常距离(A, B),颈静脉球(黑色箭头)与后半规管(C)之间有足够的空间以暴露迷路下硬脑膜;相反,第二例呈现了一个高位颈静脉球(E–H)。
乙状窦的优势性以及横窦-乙状窦结合部在骨质内的埋藏深度同样不容忽视。高度优势的乙状窦一旦术中受损且难以控制出血,术后血栓形成将成为潜在的灾难性结局。在优势乙状窦上方磨骨需格外谨慎,且后移位的幅度必须严格受限。另外,表浅的横窦-乙状窦结合部是美观性乳突切除术的相对禁忌,因使用骨凿时极易造成损伤。
面神经走行变异虽然罕见,但绝不可掉以轻心,必须在MRI和CT双重扫描上进行核实——包括垂直段后襻异常、面神经与外半规管间距增大(提示位置偏后)以及罕见的双面神经畸形。
中颅窝底硬脑膜剥离相关风险
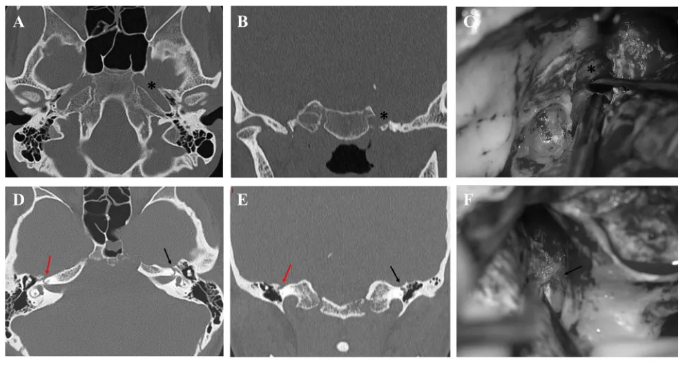
在着手剥离硬脑膜前,轴位和冠状位CT扫描必须先行检查中颅窝底的骨质状态。首要任务是确认中颅窝底是否存在普遍性隆起或凹陷。尤其需要警惕的是岩骨段颈内动脉或膝状神经节上方的骨质缺损——忽略这一细节极易演变为导致神经功能受损的手术事故。
具体而言,若遗漏了岩骨段颈内动脉上方的骨质缺损,在Kawase菱形窝显露及岩尖磨骨过程中可能引发难以控制的大出血。此时将三叉神经第三支(V3)稍作前方移位,有助于辨认出颈内动脉骨质缺损的具体范围。同理,当膝状神经节未被骨质完全覆盖时,硬脑膜剥离过程中存在术后面神经麻痹的风险,极端情况下若发生膝状神经节撕脱甚至可导致永久性功能丧失。此外,棘孔与卵圆孔融合的罕见解剖变异也会增加处理脑膜中动脉时损伤V3的可能性。

图5. 中颅窝骨质缺损。CT显示左侧岩骨段颈内动脉(*)存在术前骨质缺损(A, B),该患者术中证实了岩骨段颈内动脉上方无骨质覆盖(C)。CT揭示右侧中颅窝底在膝状神经节上方存在骨质缺损(红色箭头),而相应的左侧(黑色箭头)无骨质缺损(D, E)。术中图像证实膝状神经节(黑色箭头)上方无骨质覆盖(F)。
Kawase菱形区磨骨相关风险
经岩前磨骨环节的主要威胁来自四个方向:耳蜗、岩骨段颈内动脉、上半规管和膝状神经节的损伤风险。
首当其冲的检查项目是岩尖的气化程度。与乳突切除术类似,广泛气化能显著简化操作流程并加快进度;反之,岩尖气化不良则成倍增加了伤及耳蜗和上半规管的几率。需在轴位和冠状位CT扫描上逐一排查耳蜗皮质骨周围是否存在气房——形状特殊或与耳蜗有特定位置关系的气房,可作为接近耳蜗皮质骨时的停磨警示信号。不同病例中,皮质骨与松质骨的厚度差异也很大。
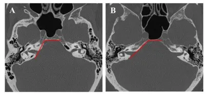
另一重挑战源于岩骨与斜坡构型的个体化变异。Kawase窝的形态可在"菱形"到"三角形"之间变化,这将直接影响经岩前通道所能获得的操作空间大小。通过轴位CT测量岩斜角可量化这一参数:较小的钝角意味着斜坡凹陷更深,操作难度更大;不过在联合岩骨切除术中,这一问题可通过后方通道予以补偿。

图7. 岩斜角与上半规管突起的变异。轴位CT扫描呈现两种不同的岩斜交界。岩骨与斜坡之间的夹角可在较小(123°,A)到较大钝角(142°,B)之间广泛变化。
冠状位CT扫描还需重点关注耳蜗第一转与周围皮质骨及中颅窝底之间的间距。当该距离仅为2-3毫米时,菱形窝的可磨除空间严重缩窄,强行推进将大幅增加损伤耳睫和膝状神经节的风险;而当距离达到4-8毫米时,无需过度逼近耳蜗即可获得足够的后颅窝视野,安全性显著提升。

图8. 中颅窝底与耳蜗深度之间的关系。CT显示耳蜗到中颅窝底表面距离的变化。三个不同的病例的距离分别为2.1毫米(A)、4.8毫米(B)和8毫米(C)。
最后需核查的项目是上半规管与中颅窝底的距离。损伤上半规管将直接影响患者听力保留。若管道皮质表面与中颅窝底之间存在足够可供磨除的骨质,则可有效扩大内耳道后区空间,增加对面神经和后组颅神经的暴露,从而获得更大的手术自由度。
静脉变异相关风险
正如前文所述,乙状窦和横窦-乙状窦结合部的解剖变异会波及多个手术步骤的安全性。同样需要持续关注的是岩上静脉复合体在横窦内的汇入点位置。在进行经岩后或联合经岩骨入路的幕下小脑幕切开时,须充分考虑该静脉向前汇入横窦-乙状窦结合部的路径,避免引发静脉性出血。
此外,岩上窦和岩下窦有时会因肿瘤压迫而发生闭塞,反而减少了术中出血的可能。但术前仍需确认二者的通畅状态:岩上窦出血通常可用双极电凝、动脉瘤夹或缝扎控制,但岩下窦出血因其位于岩斜交界深处且直接引流颈静脉球血液,止血难度极大。
关颅环节相关注意事项
手术收尾阶段,虽然注意力多集中于硬脑膜严密缝合与鼓窦入口封闭,但绝不能忽视岩骨外侧可能残留的开放气房——这些隐蔽的空隙若未妥善处理,同样是术后脑脊液漏的潜在来源。
总结
一台成功的颅底手术,不仅要求术者对复杂的颅底解剖烂熟于心,还需要精通开颅与内镜两大技术体系,并能根据每位患者的个体化解剖特点灵活优化入路策略。"让大脑意识不到曾被施以手术"——这是神经外科追求的最高境界。
- 所属栏目:神外资讯
- 如想转载“细节决定成败!忽略这些术前“侦察”,颅底肿瘤手术就是在雷区“盲走””请务必注明来源和链接。
- 网址:https://www.incsg.com/shenwaizixun/8181.html
- 更新时间:2026-04-28 19:04:47
- 上一篇:微血管减压术是什么?三叉神经痛和面肌痉挛的根治方法
- 下一篇:没有了


