巨瘤如豆腐渣遍布脑干,16岁少年开颅后,手术室内却警报频发
发布时间:2025-11-19 13:37:26 | 阅读:次| 关键词:巨瘤如豆腐渣遍布脑干,16岁少年开颅后,手术室内却警报频发
- [案例]女儿胶质瘤复发,我们决定再赌一次!二次开颅后的结果
- [案例]面对听神经瘤,一次成功的功能保留手术
- [案例]三大常见鞍区肿瘤——垂体瘤、脑膜瘤、颅咽管瘤,国际
- [案例]颅咽管瘤手术未全切会如何?反复手术及放疗的尽头在哪
- [案例]脑干海绵状血管瘤误诊为胶质瘤
- [案例]德国脑干肿瘤患者在华成功手术,中外专家共闯"生命禁
神经外科手术室内,一台高难度开颅手术正在进行中。患者为16岁男性少年,巴教授正在逐步切除其脑干内弥漫性分布的海绵状血管瘤。
"我们此前咨询过多位医生,均表示手术最大风险为丧失行走能力。"手术前,少年父母表达他们的担忧。作为主刀医生,巴教授深刻理解——即使医生具备丰富经验,手术仍存在风险。但从站上手术台那一刻起,本次手术必须成功,没有退路可选。
然而,仿佛印证术前评估,手术开始后连续触发2次监测警报。每次警报都提示患者右侧肢体运动功能可能受到威胁。

病情评估与手术挑战
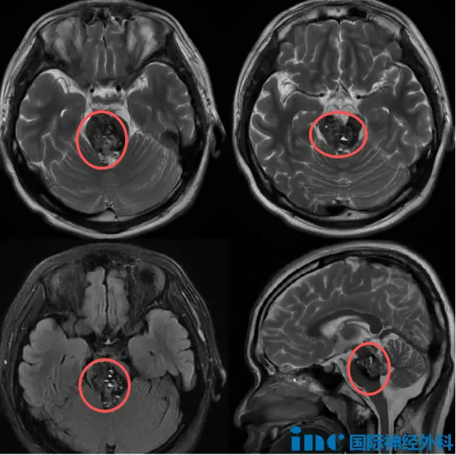
16岁少年被诊断为巨大脑干海绵状血管瘤。复杂病情使众多医生感到棘手,病灶不仅体积巨大,内部还伴发出血。即使巴教授查看MRI后也说明:"其他多发海绵状血管瘤患者,病灶通常分散存在,脑干内可能仅有1-2个病灶,但该患者所有病灶均集中于脑干区域。"

脑干作为生命中枢,在此区域切除肿瘤本已极为困难,更何况是弥漫性分布的大小病灶。此外,该海绵状血管团占据中脑区域,甚至从前向后将桥脑"截断",处理难度极高。
第一次警报事件处理
手术按计划进行,在电生理监测技术保障下,巴教授有序切除血管瘤。然而,实时监测患者神经功能的电生理监测屏幕波形出现异常,右上肢和右下肢运动诱发电位(MEP)开始报警,提示相关神经可能受到干扰。
此次警报极为关键,若手术继续推进,稍有不慎可能导致患者偏瘫。巴教授立即决定暂停手术,与生理监测师共同分析异常原因。
实际上,术中患者体温、血压、血氧饱和度变化及麻醉药物等因素均可引起波形异常。作为主刀医生,巴教授需要快速准确判断波形变化属真阳性或假阳性。
经过细致分析后,巴教授与团队决定稍作调整后继续剥离病灶,但此次操作需更精确定位、谨慎切除。所幸此次危机有惊无险,巴教授最终成功清除中脑区域病灶。
第二次警报事件处理
由于病灶体积大、分布广,手术仍在继续。巴教授开始切除剩余部位血管瘤。但当手术器械触及桥脑背侧时,电生理监测再次报警,提示患者右上肢运动信号减弱。
面对此紧急情况,巴教授再次暂停手术,与电生理师紧密合作分析每个细微变化。考虑到畸形血管团可能包含对桥脑至关重要的分支血管,手术继续后,巴教授操作更为精细,从桥脑背侧逐步向前推进,最终安全切除腹侧病灶。

术后功能评估结果
尽管手术过程存在多重风险,巴教授仍安全切除少年病灶。术后,患者四肢肌力与术前水平一致,这意味着家属最担忧的运动功能得到完好保留。
案例来源:巴教授2024年国内示范手术
- 所属栏目:神外资讯
- 如想转载“巨瘤如豆腐渣遍布脑干,16岁少年开颅后,手术室内却警报频发”请务必注明来源和链接。
- 网址:https://www.incsg.com/shenwaizixun/7082.html
- 更新时间:2025-11-19 13:32:44
- 上一篇:伴有邻近皮质发育不良的胚胎发育不良性神经上皮肿瘤患儿的复发难治性癫痫
- 下一篇:没有了


