颅内表皮样囊肿怎么治疗?累及硬脑膜与小脑的哑铃型病变如何实现全切?
发布时间:2025-11-07 10:25:56 | 阅读:次| 关键词:颅内表皮样囊肿怎么治疗?累及硬脑膜与小脑的哑铃型病变如何实现全切?
- [案例]7岁男童患脑干海绵状血管瘤,赴德国手术全切案例
- [案例]6岁男童头部外伤后CT检查意外发现松果体区肿瘤
- [案例]颅内 "石头" 竟从鼻腔取出?亲历者讲述不开颅全切颅咽
- [案例]一颗在脑内“游走”的恶性肿瘤,像瓶塞堵住生命要道,
- [案例]5岁女孩脑干延髓较大肿瘤国内手术成功案例
- [案例]6岁仅重18kg-小小脑袋长出“苹果大”脊索瘤,INC福洛里希
颅内表皮样囊肿的临床治疗方案如何制定?累及硬脑膜与小脑的哑铃型病变如何实现完全切除?颅内表皮样囊肿属于罕见颅骨肿瘤类型,仅占颅内肿瘤总数的1%。常见发病部位包括桥小脑角区、鞍区,以及岩尖、视交叉区、脑干或脑室内。
约25%的中枢神经系统表皮样囊肿位于板障内,其中约3%的板障内表皮样囊肿可延伸至硬膜下腔。该病变具有良性临床和生物学特性,起源于肿瘤囊壁的内上皮衬里。
临床案例详情
一名55岁女性患者因头痛及左眼疼痛症状就诊,检查发现延伸至小脑的表皮样囊肿。磁共振成像显示病变板障内部分伴有环形强化,并可见小脑内部分。术中探查发现枕骨受侵蚀及硬脑膜缺损。肿瘤同时位于硬膜外与硬膜下区域,囊内包含珍珠白色角蛋白样物质。肿瘤实现完全切除,患者出院时无神经功能缺损。肿瘤板障内部分构成主体,小脑内部分由炎症反应引发,此炎症反应同时导致板障内部分出现不典型强化表现。

本案例来源于INC国际神经外科医生集团旗下世界神经外科顾问团(WANG)成员Takeshi Kawase教授发表论文《Dumbbell-Shaped Intradiploic Epidermoid Cyst Involving the Dura Mater and Cerebellum Case Report》。

临床表现与诊断过程
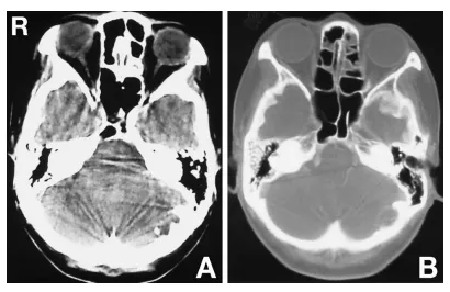
患者为55岁女性,主诉头痛和左眼疼痛,2005年11月就诊于当地医院。因诊断为左小脑肿瘤转至上级医院接受手术治疗。体格检查及神经系统检查未见异常。头颅X线片显示枕骨存在溶骨性病变(图1)。

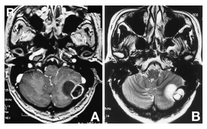
计算机断层扫描(CT)显示左侧后颅窝内板处存在伴钙化的低密度肿块(图2A)。骨窗CT显示颅骨内板受侵蚀(图2B)。钆增强T1加权磁共振成像显示板障内部分呈低信号伴环形强化,小脑内部分呈低信号(图3A)。T2加权磁共振成像显示硬膜外部分呈高信号,硬膜下部分呈高信号并延伸至小脑(图3B)。


手术治疗与病理结果
患者于2006年2月接受肿瘤切除手术。术中探查见枕骨受侵蚀、硬脑膜缺损及肿瘤表面钙化。肿瘤起源于板障并延伸至小脑,囊壁肥厚,囊内包含珍珠白色角蛋白物质,符合表皮样囊肿特征。肿瘤实现完全切除。

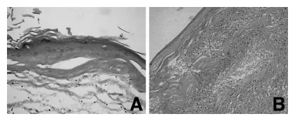
组织学检查显示囊肿与小脑实质分界清晰,未见侵袭性生长。囊壁内衬扁平鳞状上皮,无不典型性,上皮下纤维组织高度玻璃样变。囊腔内充满大量角化物质,未见未成熟神经组织等其他成分(图5A)。部分囊壁可见异物反应和淋巴细胞浸润(图5B)。患者术后恢复平稳,出院时无神经功能缺损。
疾病特征与治疗原则
胆脂瘤又称表皮样囊肿,属于罕见、组织学良性且生长缓慢的中枢神经系统先天性肿瘤。由于生长缓慢特性,表皮样囊肿可能长期不被临床发现。但一旦确诊,病变往往已扩展至周围神经和血管结构,具有"见缝插针"的特征。
手术治疗为胆脂瘤的主要治疗原则。应力争实现病变全切除,因囊肿包膜是生长活跃部分,且早期全切预后较好。
胆脂瘤又称表皮样囊肿,属于罕见、组织学良性且生长缓慢的中枢神经系统先天性肿瘤。由于生长缓慢特性,表皮样囊肿可能长期不被临床发现。但一旦确诊,病变往往已扩展至周围神经和血管结构,具有"见缝插针"的特征。
手术治疗为胆脂瘤的主要治疗原则。应力争实现病变全切除,因囊肿包膜是生长活跃部分,且早期全切预后较好。
- 所属栏目:神外疾病
- 如想转载“颅内表皮样囊肿怎么治疗?累及硬脑膜与小脑的哑铃型病变如何实现全切?”请务必注明来源和链接。
- 网址:https://www.incsg.com/jibing/6993.html
- 更新时间:2025-11-07 10:20:20
- 上一篇:“孩子为啥总睡不醒?脑子里的囊肿,让他10年青春困于睡梦
- 下一篇:没有了


