当脑瘤与神经“极限粘连”!INC巴教授毫厘之间精准切除
发布时间:2026-03-15 10:58:12 | 阅读:次| 关键词:当脑瘤与神经“极限粘连”!INC巴教授毫厘之间精准切除
- [案例]一项关键决策助我“毫发无伤”全切脑瘤,至今未见复发
- [案例]7岁男童患脑干海绵状血管瘤,赴德国手术全切案例
- [案例]脑垂体瘤会导致老年人精神萎靡吗?
- [案例]脑干海绵状血管瘤诊疗困境:伽玛刀能否作为退路?
- [案例]三次收到病危通知的她,经历第四次脑干出血后反而微笑
- [案例]7岁幼童!交通事故后犯头晕!竟在小脑查出“庞然大物”
“目前影像学检查未发现任何明确的肿瘤残留或复发迹象,现阶段亦无需进行放射治疗。针对此类肿瘤患者,我通常建议每年接受一次磁共振成像随访检查。”43岁的秦女士在接受颈静脉孔区肿瘤成功切除手术后一年进行随访,结果显示肿瘤无复发、无残留。

2025年,INC旗下世界神经外科顾问团成员、世界神经外科联合会教育与技术委员会前主席、江苏省科技厅省级外国专家工作室首席专家——德国巴特朗菲教授于中国示范手术期间,成功为吴女士实施了手术。

在本病例中,手术过程中巴教授实施了脂肪组织填塞。


巴特朗菲教授最新随访报告截图
这是一台极具挑战性的手术。一个呈哑铃型的肿瘤占据了颈静脉孔区,其形态横跨颅内与颅外空间,肿瘤两端呈现膨大状态,紧密嵌顿于该解剖区域。舌咽神经的起始部已发生瘤化改变,与肿瘤组织紧密粘连、难以分离;而肿瘤向颅外生长的部分,则与后组颅神经相互纠缠,形成致密粘连。

针对颈静脉孔区肿瘤,INC巴教授已在中国完成多台该部位疑难肿瘤的示范手术。
01、来自东南亚的38岁男性患者Norodom(化名)罹患巨大颈静脉孔区神经鞘瘤,其寻访多国均未找到有效的治疗转机。经过多方咨询,Norodom在家属陪同下专程乘机抵达中国,寻求巴教授的示范手术治疗。
点击阅读:从东南亚到中国,是什么疑难脑肿瘤手术让外国友人千里迢迢来华?
02、54岁的吴女士,作为一名经历了2次伽马刀治疗、1次手术的高难度颈静脉孔神经鞘瘤患者,其肿瘤被顺利切除,最为担忧的面瘫加重情况并未发生。此次为患者接受的第二次开颅手术,同样由巴教授主刀完成。
点击阅读:「我使用这种技术20年了」,15年颈静脉孔肿瘤噩梦如何「一刀破解」?
03、一名15岁少年,确诊颈静脉孔区神经鞘瘤,由巴教授主刀的手术顺利完成,实现了肿瘤全切,且未出现神经功能受损,术后恢复情况同样令人满意。
点击阅读:我要好好活着,我想上大学!15岁少年脑瘤开颅术后的“飞驰人生”
为充分暴露颅底肿瘤,巴教授采用了非常特殊的颅底手术入路方式。他表示:“这项技术我已应用超过20年,甚至在20余年前,我便已发表关于如何实施此类手术的学术论文。我亦在多期培训课程中向年轻神经外科医生传授该技术,这属于我的专长领域之一。”
那么,巴教授是如何成功为吴女士实施示范手术的呢?
开颅手术过程需谨慎应对潜在的复杂情况。凭借40余年的手术经验,巴教授坚信即便面对最困难的局面,也终将迎来曙光!
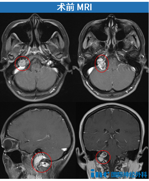
43岁的秦女士,其颈静脉孔区潜藏着一个“哑铃型”肿瘤,最大截面尺寸约为40 * 13毫米。秦女士已出现舌肌萎缩、肩膀无力等临床症状。通过INC国际神经外科医生集团,他们最终联系到巴教授。
绝大多数患者及家属均期望主刀医生能够最大限度地切除肿瘤,同时完好保留神经功能。应该说,此类要求符合情理。肿瘤切除关乎生存希望,功能保留则关系到术后生活质量。然而,要实现这一目标,手术过程中的每一步都充满挑战与不确定性。
面对如此复杂的病情,手术室内的医护人员均感受到巨大压力,今日无疑面临着一场硬仗!

手术前,INC巴教授再次详细分析了秦女士的复杂病情。
神经与肿瘤的关系中,“出现了异常粘连情况”!这构成了手术的第一大难关:术中发现舌咽神经起始部即已发生瘤化。舌咽神经经颈静脉孔出颅,呈弓形向前走行,最终抵达舌根。一旦该神经受损,可导致舌头后三分之一的味觉丧失,并影响吞咽功能。
若肿瘤位于前方,术者能够清晰观察其形态、定位其位置,尽管应对仍具挑战,但至少可采取相应措施。然而,面对那些隐匿的威胁,若连干预的机会都难以把握,更不知该从何处着手、朝哪个方向操作。盲目操作的结果,很可能非但无法治疗疾病,反而会对患者造成伤害。
颈静脉孔区解剖结构复杂,神经血管密集:

1、颈静脉孔位于颞骨岩部与枕骨的交界处,属于颅底的重要骨性通道之一。手术过程中需格外注意避免损伤舌咽神经、迷走神经和副神经,这些神经负责调控吞咽、发声及其他重要生理功能。
2、同时,颈静脉孔区肿瘤通常血供丰富,且毗邻颈内静脉、颈内动脉,因此术中出血控制构成一大挑战。手术需要精确处理肿瘤的供血血管,以有效减少术中出血量。
3、颅底骨性结构在肿瘤切除后可能出现缺损,如何有效重建颅底,防止术后并发症如脑脊液漏等,同样是手术的关键环节。
这个与舌咽神经紧密缠绕的肿瘤,形态类似一个与神经(舌咽神经)交织的纺锤体,神经组织早已深入肿瘤的沟壑之中,甚至从起始到末端均与肿瘤融为一体,试图以“同归于尽”的方式令术者知难而退。
该进则进,即便困难重重也必须前行!若不切除?保留这部分肿瘤,手术安全性固然大幅提高,不会产生重大风险;然而从远期考虑呢?这些残留病灶将如同种子,可能迅速生长,甚至发生恶变!
若采取粗暴分离的方式,无异于火中取栗、虎口拔牙,风险极高。直接用手术刀切断神经,那么肿瘤的目的便达到了:即便切除了肿瘤,也会给患者带来严重的神经功能障碍后果。
真正的难点在于,如何在丝毫不损伤舌咽神经这条纤细结构的同时,将肿瘤从中完整剥离。说起来容易,实际操作却远非简单。而巴教授早已对此类情况经验丰富,以柔克刚方为解决之道。

在这场惊心动魄的手术过程中,困难接连出现,风险层层叠加。眼看此招无效,狡猾的肿瘤又使出了另一手段:其向颅外生长的部分再次与后组颅神经形成紧密粘连,关系如同“橡皮膏”般难以分离!
后组颅神经损伤可能引发的十大功能障碍包括:
-
吞咽困难:后组颅神经损伤可能导致吞咽神经受损,引发延髓麻痹,从而造成吞咽困难。
-
声音嘶哑:迷走神经损伤可能导致声带麻痹,进而引起声音嘶哑。
-
饮水呛咳:存在吞咽困难时,饮水过程中可能引发呛咳。
-
咽部感觉及咽反射消失或减退:舌咽神经和迷走神经损伤可能导致咽部感觉减退以及咽反射减弱或消失。
-
软腭运动障碍:迷走神经损伤可能导致软腭运动功能障碍,引发食物反流和说话带鼻音。
-
食道痉挛:迷走神经损伤可能导致食道发生痉挛。
-
心律失常:迷走神经损伤可能影响心脏功能,导致心律失常。
-
患侧面瘫:后组颅神经损伤可能导致面部肌肉无力,表现为面瘫。
-
垂肩:副神经损伤可能导致肩部肌肉无力,表现为垂肩。
-
舌肌萎缩和舌偏:舌下神经损伤可能导致舌肌萎缩以及舌头偏向一侧。
拥有40余年精湛手术经验的巴教授,其操作之轻柔、对组织的保护之细致,堪比在豆腐上进行雕刻,力度轻一分则不足,重一分则恐造成损伤。通过巧妙的“粘连分离术”,他如同解开一团又一团的胶带,成功化解了这“橡皮膏”般的紧密粘连。

整场手术,巴教授“见招拆招”,以抽丝剥茧的方式一点点分离,一丝丝切开,极尽谨慎、步步为营。在神经电生理监测的技术支持下,最终成功保全了舌咽神经以及后组颅神经的功能,机关算尽的肿瘤终究败下阵来。
术后,巴教授向家属传达的“一切顺利!”犹如胜利的号角。而在术后第一天于普通病房查房时,秦女士仍保有咳嗽能力,这表明她的吞咽功能得到了保留,令所有参与人员都松了一口气。

2026年巴教授中国疑难示范手术即将于下周开启。INC巴特朗菲教授将于下周抵达中国,并将继续为那些面临复杂神经外科疾病的患者进行示范手术。患有脑干、脊髓、丘脑、鞍区、视神经、脑室及脑功能区等疑难部位神经外科疾病的患者,可持续保持关注。
- 所属栏目:国际治疗
- 如想转载“当脑瘤与神经“极限粘连”!INC巴教授毫厘之间精准切除”请务必注明来源和链接。
- 网址:https://www.incsg.com/guojizhiliao/7784.html
- 更新时间:2026-03-15 10:48:41


