头痛伴精神异常?13岁患儿罕见病例:巨大基底动脉瘤合并颈内动脉瘤的复合手术策略
发布时间:2026-02-09 10:33:56 | 阅读:次| 关键词:头痛伴精神异常?13岁患儿罕见病例:巨大基底动脉瘤合并颈内动脉瘤的复合手术策略
- [案例]下丘脑错构瘤致性早熟、“痴笑性”癫痫,这种“黑科技
- [案例]“无明显诱因头痛、眩晕呕吐”原判为疲劳性轻微不适,
- [案例]经治疗髓母细胞瘤男童带瘤生存八年
- [案例]刚入院就晕倒!医生紧急在他头上开了2cm小孔,完整取出
- [案例]脑瘤「盯上」8岁男孩,头痛背后藏着的童年危机
- [案例]3.3cm听神经瘤患者自述 | 不面瘫,听力保留!
13岁既往体健男性患儿因突发剧烈头痛伴畏声、畏光症状就诊。病史显示近2个月存在间歇性头痛,3周前曾出现急性剧烈头痛发作,伴随激越和定向障碍等精神症状,按偏头痛治疗后12小时症状缓解。神经系统检查未见定位体征。

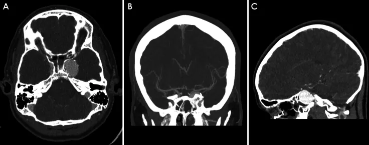
影像学检查显示左侧颈内动脉海绵窦段巨大型动脉瘤伴蝶骨骨质重塑,同时存在基底动脉顶端巨大型双叶型动脉瘤伴附壁血栓形成,未见蛛网膜下腔出血证据。患儿在服用阿司匹林抗血小板治疗状态下转入上级医疗中心。

CT血管造影轴位、冠状位及矢状位图像清晰显示左侧颈内动脉海绵窦段巨大型动脉瘤伴随蝶骨重塑改变,蛛网膜下腔未见出血征象。
数字减影血管造影检查证实基底动脉顶端动脉瘤部分血栓形成,左侧大脑后动脉自动脉瘤发出。右侧大脑后动脉及双侧小脑上动脉未显影,血供来源于小脑前下动脉软脑膜侧支循环。左侧颈内动脉动脉瘤测量尺寸为16.9×25.9×20.5毫米。

数字减影血管造影影像显示:轴位CT血管造影可见部分血栓形成的巨大型基底动脉瘤;侧位投影显示基底动脉顶端动脉瘤部分血栓形成;前后位投影可见左侧大脑后动脉自动脉瘤发出,右侧P1段缺如,左侧P1段狭窄,双侧小脑上动脉未显影。


治疗过程与手术方案
患儿成功接受椎基底动脉球囊闭塞试验,数字减影血管造影显示基底动脉顶端通畅段及左侧P1段狭窄处出现部分重塑。治疗团队选择左侧枕部开颅手术,实施左侧枕动脉至大脑后动脉远端分支的颅外-颅内旁路移植术,并行硬脑膜-软脑膜血管融合术,以重建左侧大脑后动脉区域血供,减少对椎基底动脉循环的依赖。术后继续阿司匹林抗血小板治疗。
3个月随访影像显示基底动脉顶端动脉瘤完全闭塞并血栓形成,颅外-颅内旁路血管通畅,左侧颈内动脉海绵窦段动脉瘤未见变化。6个月后数字减影血管造影复查并行Pipeline血流导向装置置入及左侧颈内动脉巨大型动脉瘤弹簧圈栓塞术,最终两个动脉瘤完全消失。患儿恢复良好,未出现手术相关并发症或神经功能缺损。
随访数字减影血管造影影像显示:侧位投影基底动脉顶端动脉瘤未见显影;3个月随访CT血管造影轴位图像证实基底动脉顶端动脉瘤完全血栓形成,左侧颈内动脉海绵窦段动脉瘤保持稳定。
巨大型颅内动脉瘤治疗现状与挑战
巨大型颅内动脉瘤特别是后循环动脉瘤,通常不适合血管内弹簧圈栓塞或血流导向装置治疗。不可预测的血流动力学可能导致动脉瘤重塑形和复发,多重支架植入可能阻塞穿支血管导致神经功能障碍,球阀效应可能引起围手术期动脉瘤扩张破裂。部分血栓化动脉瘤伴随血流动力学改变可能引发血栓栓塞性卒中。
现有治疗策略包括动脉瘤夹闭术、包裹术、近端或远端血管闭塞术、切除伴或不伴间置血管移植、孤立术以及血流逆转术。但巨大型颅内动脉瘤因体积巨大、形态复杂、瘤内血栓或钙化使夹闭手术困难,包裹术失败率较高,穿支血管存在使血管阻断不可行。血流逆转旁路术可减少血流动力学应力,维持穿支血管灌注。
血流逆转旁路术技术要点与预后
血流逆转旁路术通过高流量或低流量颅外-颅内旁路实现血流逆转,促进动脉瘤内血栓形成同时保持穿支血管通畅。术前球囊闭塞试验评估侧支循环和逆向血流状况至关重要。研究显示67%接受血流逆转旁路术的基底动脉顶端动脉瘤患者症状稳定或改善。
尽管长期预后通常良好,但血流逆转旁路术仍存在动脉瘤增大破裂、卒中、脑积水和出血等并发症,死亡率达24%。"血管内治疗优先"模式使部分病例需将旁路手术作为挽救性治疗。计算流体动力学模型有助于识别适合血流逆转旁路术的病例。
临床经验与治疗展望
巨大型颅内动脉瘤治疗需平衡手术风险与疾病自然病程。近端血管闭塞联合血流逆转术可在动脉瘤血栓形成与穿支血管灌注间取得平衡。术后需密切随访监测动脉瘤再通,未来动脉瘤及穿支血管血流分析将优化供体血管选择和治疗决策。
文献来源:Madeleine de Lotbiniere-Bassett, William T. Couldwell. Flow reversal bypass surgery for giant intracranial aneurysms: illustrative cases. Journal of Neurosurgery: Case Lessons, 2025.
- 所属栏目:脑血管瘤
- 如想转载“头痛伴精神异常?13岁患儿罕见病例:巨大基底动脉瘤合并颈内动脉瘤的复合手术策略”请务必注明来源和链接。
- 网址:https://www.incsg.com/naoxueguanliu/7601.html
- 更新时间:2026-02-09 10:29:04


