1厘米的脑干结节,做了PET-MR和活检仍难断善恶?最终诊断,谁说了算?
发布时间:2026-04-08 09:41:31 | 阅读:次| 关键词:1厘米的脑干结节,做了PET-MR和活检仍难断善恶?最终诊断,谁说了算?
- [案例]58岁女性头上长角?检查发现为多发脑瘤,应优先处理哪一
- [案例]肾癌合并颅内占位病变的诊断与治疗决策:转移瘤抑或原
- [案例]生死营救较大脊索瘤复发患者!INC法国Froelich教授5月中国
- [案例]55岁患者头晕记忆力下降病例分析:颈动脉狭窄合并动脉瘤
- [案例]“喝了这么多水为什么还是渴?”颅咽管瘤相关尿崩症诊疗
- [案例]眼前一黑,视力下降……揭秘神经外科的“视力窃贼”—
"PET能判断脑部病变是良性还是恶性吗?"
"核磁、PET、活检全做了,都指向胶质瘤,可手术后的大病理偏偏给推翻了。"
"除了活检没做,PET、波谱、核磁全都查过了,检查结论竟然和术后结果完全不同。"
"处处皆伏笔,不是惊喜就是惊吓。"脑部病变从恶性变为良性,是意外之喜;而从良性变成恶性,则无疑是晴天霹雳。
脑子里的病变究竟是肿瘤还是炎症,是良性还是恶性……这几乎是每一位患者都最迫切想弄清楚的问题,因为这直接决定了下一步的治疗方向与预后走向。
脑干上的小结节,会是胶质瘤吗?下一步又该怎么办?
01 中脑发现1厘米小结节,多家医院建议观察随访
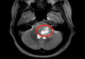
正值青春年华的钱女士,某天突然发现视力模糊,配了光学镜片后视力确实有所改善。尽管如此,她还是决定到医院做进一步检查,结果意外发现中脑背侧存在一枚小结节,大小为1.0×0.6×0.8厘米,影像上考虑低级别胶质瘤可能。

小小结节,低级别胶质瘤?为了搞清楚自己的病情,钱女士辗转多家医院就诊,得到的建议均是暂不干预、密切随访。然而,在接受脑枕部"艾灸"加热治疗后,她出现了持续性头部胀痛,同时伴有恶心及喷射性呕吐。短短两个月内,症状持续加剧——眼睑下垂、向上看困难、持续头痛接连出现。为了进一步明确这枚占位的性质,钱女士接受了头部PET-MR检查,结果提示中脑顶盖小结节,FDG摄取升高,仍考虑低级别胶质瘤可能性大。
这个占位真的是低级别胶质瘤吗?低级别胶质瘤类型繁多,究竟属于哪一种?是否还需要补充其他检查才能明确诊断?在咨询INC巴特朗菲教授后,她得到了怎样的回复?
02 巴特朗菲教授:没有任何诊断工具能回答"这个病灶究竟是什么"
从核磁及所有检查结果来看,病灶为低级别胶质瘤、处于早期发展阶段,似乎已经相当明确。但巴特朗菲教授指出,仅凭核磁判断胶质瘤类型是远远不够的。无论核磁共振、磁共振波谱拍得多么清晰,还是加做了PET检查,都没有人能够准确判断肿瘤在神经病理学层面的具体类型,尤其无法确定病变的遗传特征。如果这是毛细胞型星形细胞瘤,他不会感到意外;如果是另一种胶质瘤类型,他同样不会惊讶;甚至神经节胶质瘤也不能完全排除,尽管概率相对较小。当然,他认为病变不太可能是炎症,也不倾向于毒性或代谢性病变,因为病灶与正常脑干组织之间的边界清晰。他不建议补充任何额外检查来确定病变类型,因为目前并不存在能够回答"这个病灶究竟是什么"这一问题的诊断工具。

关于手术时机的把握,巴特朗菲教授表示,这需要术者具备丰富的临床经验,尤其在疑难部位,手术技术同样至关重要。需结合患者自身情况及术后获益,才能做出最合适的手术决策。
巴特朗菲教授还特别强调,患者的临床症状对于手术指征判断意义重大,包括上视困难、视野模糊等。他反问道:为何要持续等待、让病灶进一步扩大?这对患者没有任何帮助,只会将问题推向更难处理的将来。当然,这也并非需要紧急手术的情形。
在听取了巴教授的评估意见后,钱女士终于放下心来,决定先观察,做好充分准备后再择期手术。
03 PET-MR是什么?又如何读懂我们的大脑?
和钱女士情况类似,当CT、MRI已无法给出明确判断时,越来越多的患者开始选择PET检查。
MRI-PET,顾名思义是将PET与MRI融为一体,可同时实现结构与功能双重可视化。PET通过放射性示踪剂反映病变特性,但其检查结果缺乏详尽的解剖学信息;而MRI恰好能弥补这一不足,提供高分辨率的精细解剖结构信息。
现有的MRI-PET系统包括分体式或先后式两种,而多数新型系统已采用一体化配置,即将PET探测器内置于MRI梯度线圈之中,从而实现两种影像数据的同步采集。在PET衰减校正方面,以MRI扫描替代传统CT,将扫描结果分割为软组织与骨骼区域,并据此生成组织密度图用于衰减校正。
18F-氟代脱氧葡萄糖作为一种常用的放射性示踪剂,因其在正常灰质中生理性摄取较高,在胶质瘤成像中的应用受到一定限制。越来越多的证据表明,针对L-氨基酸转运蛋白系统1和2的氨基酸示踪剂具有重要的临床应用价值。
【原文图片位置04】
04 PET在临床中如何发挥诊断作用?
PET在肿瘤诊断中的价值,体现在肿瘤性病变相比非肿瘤性病变具有更为显著的示踪剂摄取增高。根据Law等人制定的指南,FET/MET/FDOPA-PET扫描结果呈阴性(即摄取值处于背景水平或略高)时,可在很大程度上排除III/IV级胶质瘤、淋巴瘤或转移瘤;而摄取增高则对肿瘤性病变具有较高的阳性预测价值。然而需要注意的是,所有PET示踪剂在炎性病变、癫痫发作背景或出血/缺血性病灶中也可能出现摄取升高,这是肿瘤诊断中最容易踩中的"陷阱"。
PET成像不仅有助于鉴别胶质瘤与其他肿瘤,还可用于区分高级别胶质瘤与低级别胶质瘤,甚至可以评估胶质瘤的浸润范围。
从技术层面而言,MRI-PET已日趋成熟,但关键的氨基酸示踪剂因半衰期短而供应受限,因此其在临床常规工作中的整合应用仍较为有限。
05 术前术后诊断大相径庭,原因何在?
"在立体定向活检中,有时取得的组织样本量极为有限,可能只取到病灶边缘而非肿瘤核心区域。因此,取材不足可能导致结果不够准确,我不会百分之百地依赖活检诊断结果。尤其当样本量极少时,给出最终诊断并非易事。"
18岁的小博被查出疑似脑干胶质瘤,由于手术风险过高,最初接受了穿刺活检,结果显示为弥漫性中线胶质瘤(WHO IV级),恶性程度高,预后极差。

小博在父母陪伴下辗转多家医院,换来的答案令全家人绝望:"剩下的时间……不多了。"然而,一家人并未彻底放弃,决定继续寻找,或许还有转机。
当终于找到愿意为他手术的医生时,开颅手术的结果令所有人震惊——术后病理报告推翻了此前的活检诊断,最终确诊为低级别毛细胞星形细胞瘤。加之肿瘤被成功切除90%以上,脑干压迫得以解除。
06 手术不只为了切除肿瘤,更是明确诊断的关键
综上所述,无论是PET还是活检,都只能作为术前诊断的参考依据。对于大多数脑肿瘤而言,手术仍是首选的一线治疗方案。
低级别胶质瘤若能实现安全全切,患者通常可消除或明显缓解术前症状,获得长期生存的治疗效果,甚至无需放化疗。对于高级别胶质瘤,肿瘤切除同样影响预后——不仅能缓解术前症状,还能明确病理诊断,为辅助放化疗创造条件,延长术后复发时间和生存期,改善生活质量。
对于那些术前难以明确诊断的神经外科患者,开颅手术不仅是明确诊断、制定有效治疗方案的途径,更是在安全前提下尽量切除更多肿瘤的重要手段。
- 所属栏目:脑瘤诊断
- 如想转载“1厘米的脑干结节,做了PET-MR和活检仍难断善恶?最终诊断,谁说了算?”请务必注明来源和链接。
- 网址:https://www.incsg.com/naoliu/zhenduan/7977.html
- 更新时间:2026-04-08 09:28:46


