

脑肿瘤包括原发性脑肿瘤和脑转移瘤,其最佳治疗手段是手术彻底切除,然因正常脑组织的不可切除性及恶性肿瘤向颅内广泛浸润性生长的特点,手术大范围彻底切除极为困难。因此,如何减少脑组织的损伤、保护脑的中枢功能、最大限度地消除肿瘤仍是现如今肿瘤学者研究的方向和奋斗的目标。



患者捧着片子来了,医生看了半天说情况有点复杂,先做个PET-CT吧。患者一听就懵了——刚做完MRI又要做一个,这PET-CT又是查什么的?...
更新时间:2026-04-16 10:32:41

确诊脑瘤后,很多患者和家属的第一反应是"赶紧手术切掉"。但临床上,有一部分人会被医生建议先做一个看似简单的操作——活检。到底什么情况下需要先活检,而不是直接开颅?...
更新时间:2026-04-08 10:15:51

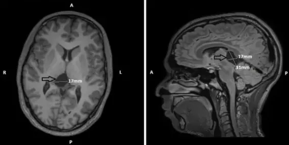
MRI-PET,通过放射性示踪剂反映病变特性,但其检查结果缺乏详尽的解剖学信息;而MRI恰好能弥补这一不足,提供高分辨率的精细解剖结构信息。...
更新时间:2026-04-08 09:28:46

Volker Seifert教授及其团队,在《PLOS ONE》期刊上发表了一项重要研究。该研究通过对343例患者的深入分析,系统梳理了血管畸形性脑出血与自发性脑出血之间的核心区别,并总结出提示前者的关键预...
更新时间:2026-04-07 11:12:16

为何延髓位置会让人如此畏惧?而他们又是如何突破"手术禁区"重获新生的?本文将深入剖析延髓的解剖结构与生理功能,并分享国际神经外科大咖主刀这类高风险手术的专业技术专著内容。...
更新时间:2026-04-03 10:21:48

多缺失共存意味着肿瘤细胞内部累积了更多的基因损伤,增殖能力更强,治疗抵抗也更明显。风险是叠加的,不是简单的1+1+1,而是呈几何级数上升。...
更新时间:2026-04-01 13:13:40

界神经外科学院前院长、多伦多大学神经外科教授James T. Rutka近期发表的一篇系统性综述,完整梳理了一项名为"钇-90放射栓塞"的前沿介入技术,为脑肿瘤治疗提供了一条新的思路方向。...
更新时间:2026-03-31 15:14:44

怀着孕,却在某次检查后被告知颅内发现了肿瘤。做检查会不会伤着孩子?现在这个情况,还能手术吗?孩子还能要吗?...
更新时间:2026-03-30 14:18:01

如果某一天你发现自己一侧耳朵的听力悄悄变差,怀疑是不是得了听神经瘤,那到底该怎么办?要把这个诊断确定下来,需要经历哪些检查环节?...
更新时间:2026-03-30 10:53:06

儿童被误判为“嗜睡”,临床诊断提示其大脑处于“功能抑制”状态,需紧急手术干预!此种无力感已持续困扰该家庭超过十年,其严重程度远非“懒惰”或“睡眠不足”等简单归因所能解释。...
更新时间:2026-03-28 21:15:48
更新时间:2024-12-13 16:33:18
更新时间:2021-07-07 15:49:12
更新时间:2021-07-07 15:40:54
更新时间:2022-01-11 13:50:10
更新时间:2022-11-24 17:12:16
更新时间:2021-07-07 15:24:19
更新时间:2021-07-07 15:52:05
更新时间:2023-09-13 16:13:00
更新时间:2020-11-18 10:50:21
更新时间:2021-07-07 15:53:41
更新时间:2026-04-22 14:00:01
更新时间:2026-04-22 13:54:54
更新时间:2026-04-21 09:15:17
更新时间:2026-04-20 17:42:56
更新时间:2026-04-20 08:45:34