眼睛复视查出海绵窦内病变:单鼻孔、筷子技术、五天出院
发布时间:2026-03-14 09:45:00 | 阅读:次| 关键词:眼睛复视查出海绵窦内病变:单鼻孔、筷子技术、五天出院
- [案例]一次寻常的电梯乘坐后,我突发脑干出血,经120紧急送医
- [案例]医生都说脑干手术风险太高,22岁的我为什么坚持要开这一
- [案例]国际提出者“筷子技术”神经内镜手术教授福洛里希脊索
- [案例]脑海绵状血管瘤是先天性的吗?3岁女孩突发脑干出血,母
- [案例]颅底脊索瘤手术难度大吗?INC国际教授顺利全切案例交流
- [案例]害怕脑干胶质瘤残余复发,想二次手术却遭国际大咖“婉
纯海绵窦内表皮样囊肿属于一种罕见病理类型,其起源位于海绵窦内部,典型特征为将颈内动脉向内侧推移,并使颅神经向外侧移位。当该病变引发临床症状时,外科手术干预成为明确指征,且手术入路需依据具体解剖结构进行个体化选择。针对纯海绵窦内表皮样囊肿,何种手术入路能在手术相关并发症与海绵窦复杂解剖结构之间实现最佳平衡?解剖学分型是否能够有效指导手术规划?针对上述问题,INC福洛里希教授在其研究《Contralateral mononostril endoscopic chopsticks technique for an intracavernous epidermoid cyst. Technical case report and systematic review of the literature》中进行了详尽阐述。

一名因纯海绵窦内表皮样囊肿导致进行性左侧动眼神经麻痹的23岁男性患者,接受了采用福洛里希教授独创的内镜“筷子”技术的对侧单鼻孔入路内镜手术。鉴于囊肿与海绵窦内神经血管结构存在紧密粘连,术中实现了囊肿内容物的完全清除及囊壁的部分切除。术后患者恢复过程顺利,动眼神经功能缺损得到有效恢复,一年期随访未见复发迹象。

筷子技术示意图
海绵窦表皮样囊肿在出现症状时应予以治疗,手术策略应以解剖学分类为指导。对于经过选择的纯海绵窦内表皮样囊肿,对侧单鼻孔内镜“筷子”技术提供了一种微创选择,能在保留关键神经血管结构的同时达成治疗目标。
海绵窦内病变案例报告
一名23岁男性因间歇性复视就诊。初次磁共振成像显示左侧海绵窦病变,扩散加权成像呈扩散受限,T1加权像呈低信号且无强化,高度提示表皮样囊肿。考虑到海绵窦病变的手术风险,初始采取了保守观察策略。
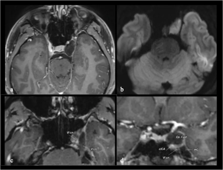
随访期间,患者因左侧动眼神经麻痹导致复视加重,伴有左眼相关运动明显受限和进行性上睑下垂。复查磁共振显示病变进行性增大(图1)。

图1:术前轴位磁共振成像显示,病变位于海绵窦上外侧隔腔,T1加权图像呈低信号且无对比增强,弥散加权成像显示明显弥散受限,这些发现高度提示为表皮样囊肿。轴位和冠状位T1加权增强图像显示,外展神经相对于颈内动脉海绵窦段向下外侧移位。Meckel腔未受表皮样囊肿侵犯。
鉴于临床症状持续恶化,手术干预被提上日程,主要治疗目标为减压动眼神经。基于病变位于海绵窦的上外侧及上部区域,并导致颈内动脉向内侧移位、颅神经向外侧移位(图1、2),最终选择了对侧单鼻孔内镜经鼻入路(图3)。选择此技术旨在最小化手术通道、避免牵拉脑组织、降低总体手术并发症,同时允许直接抵达病灶以实现动眼神经减压。

图2:术前多平面磁共振成像CISS序列研究。纯海绵窦内表皮样囊肿明确位于海绵窦内,将颈内动脉向前内侧推移,并使海绵窦外侧壁(内含左侧动眼神经)向外侧膨出。缩写:ICA:颈内动脉;MC:Meckel腔;L-ON:左侧视神经;L-VI:左侧外展神经。

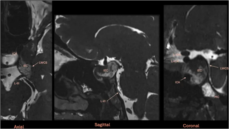
图3:对侧单鼻孔内镜经鼻入路的术前影像规划。规划使用Carestream Image Suite软件进行,图像在空间上同步。图中蓝色线条指示图像的方位。黄色十字在所有三幅图像中共同配准,用于识别垂体。橙色箭头指示计划的手术路径。囊肿在海绵窦外侧隔腔内、颈内动脉海绵窦段与海绵窦外侧壁之间形成了一个自然的的手术通道。骨窗CT扫描对于理解蝶窦解剖至关重要。在本例中,蝶窦中隔标识了蝶鞍和中线,而较小的左侧间隔附着于左侧颈内动脉隆起。基于此解剖结构,可采用对侧经鼻甲前部入路抵达左侧海绵窦,无需完全蝶窦切开,从而保留了右侧蝶窦。
▼单鼻孔经鼻内镜手术操作示意图

手术操作
本例手术的核心在于通过极微创的通道,实现精准的神经减压与病变清除。操作严格遵循解剖导航原则,并运用多项术中实时监测技术以确保安全边际。
1. 术前准备与通道建立
设备配置:手术全程在神经导航系统、内镜多普勒超声及连续颅神经电生理监测下进行,为关键神经血管结构提供实时定位与功能保护。
鼻腔通道:采取对侧单鼻孔入路。于中鼻甲后部与鼻中隔交界处作1.5厘米垂直粘膜切口,行粘膜下剥离。随后,精准磨除左侧鼻甲前部部分骨质,显露并进入左侧蝶窦(图5)。刻意保留蝶窦内间隔及对侧窦口,以最大限度维护鼻腔正常生理功能。

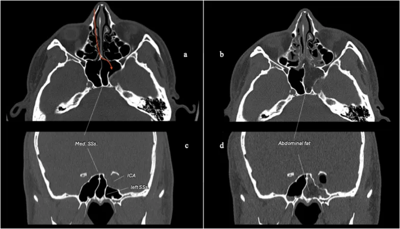
图5:术前及术后轴位、冠状位骨窗CT扫描,展示采用右侧对侧单鼻孔内镜经鼻入路处理左侧海绵窦病变。术前扫描显示蝶窦中隔位于中线,左侧蝶窦间隔附着于左侧颈内动脉海绵窦段隆起。这些间隔是重要的蝶窦内解剖标志。术后扫描显示,通过左侧经鼻甲前部通道,仅进行了左侧半蝶窦切开。鞍旁迷你骨窗已重建,左侧半蝶窦用腹部脂肪填塞,鼻甲前部粘膜已缝合。鼻腔解剖结构得到了最大程度的保留。缩写:Med. SSs.:蝶窦中隔;SSs.:蝶窦间隔。
关键解剖识别:于蝶窦内清晰辨识颈内动脉隆起及附着于其上的骨性间隔,此乃定位海绵窦外侧壁的恒定标志。
2. 病变显露与关键结构保护
骨窗制备:在神经导航引导下,于颈内动脉外侧、视神经-颈内动脉隐窝下方,磨除鞍旁骨质,形成微型骨窗(“鞍旁迷你开窗”),精确暴露海绵窦外侧壁硬膜。
血管定位:使用内镜多普勒超声探头于硬膜表面精确描记颈内动脉走行,规避误伤。
硬膜切开与神经识别:于动脉外侧安全区切开硬膜。随即以术中电刺激技术直接辨识并确认动眼神经等颅神经位置。
3. 病变处理与减压
内减压技术:切开囊肿囊壁后,采用可弯曲旋转吸引器,在角度镜提供的多角度视野下,对囊内容物进行渐进式、控制性抽吸,实现彻底内减压。
切除范围决策:内镜探查确认囊壁与海绵窦上外侧隔腔及外侧壁硬膜存在致密纤维性粘连。基于首要功能保护原则,未对粘连紧密的囊壁进行强行剥离,从而规避了颅神经损伤风险。术野内可见动眼神经走行自然,已获充分减压。
4. 术腔闭合与重建
颅底重建:于动眼神经孔处硬膜缺损放置自体腹部脂肪进行填塞。将“鞍旁迷你开窗”的骨瓣复位。左侧蝶窦腔以自体脂肪填塞,实现功能性蝶窦颅腔化。
鼻腔结构修复:精密缝合鼻甲前部粘膜切口,并以纤维蛋白胶加固,最后置入可吸收硅胶夹板,旨在最大程度促进鼻腔粘膜生理性愈合,保护嗅功能,并预防术后粘连。
技术要点总结:本操作范式体现了现代精准神经外科的核心原则:在最小化通道创伤的前提下,通过多模态术中导航与监测,实现目标区域的精准抵达与安全操作。“鞍旁迷你开窗”与“功能性蝶窦颅腔化”代表了针对特定病变的定制化入路与重建策略,平衡了治疗彻底性与结构功能保全。
术后情况
术后过程顺利,无新发神经功能缺损。患者复视和上睑下垂逐渐改善。术后管理包括避免平卧位10天、早期活动以及延迟至术后第5天行影像学检查以防止长时间仰卧。
术后磁共振证实囊肿内容物完全切除(图7)。给予48小时抗生素预防,未观察到脑脊液漏。
术后第5天经影像学确认后患者出院。硅胶支架于两周后取出,粘膜切口完全愈合。

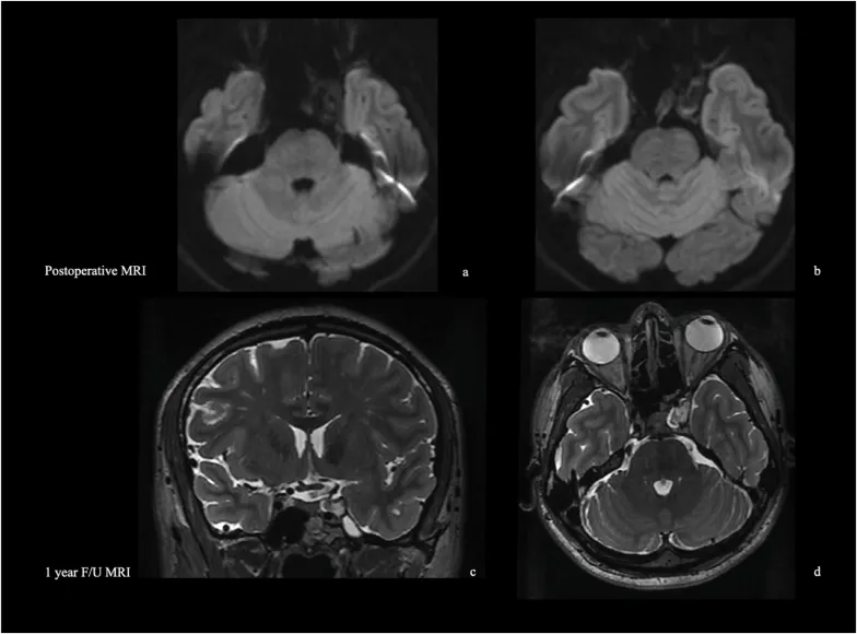
图7:术后磁共振显示,海绵窦外侧壁上后内侧部分的囊肿已完全移除,囊壁被次全切除。术后即刻弥散加权磁共振影像显示,除对应于囊壁残余的微小局灶性信号外,无弥散受限表现。术后一年的随访中,冠状位和轴位T2加权磁共振影像显示海绵窦减压满意,其信号强度与脑脊液等信号,表明无复发迹象。
随访期间,上睑下垂完全消失,复视持续改善。
术后1年磁共振显示无复发,海绵窦减压满意,随访仍在进行中。
结论
表皮样囊肿属于罕见病变,当其累及海绵窦时,构成重大的神经外科挑战。
对于因海绵窦内压迫导致颅神经缺损的有症状患者,应考虑手术治疗。在纯海绵窦内表皮样囊肿中,囊壁完全切除常常受限,使得最大安全切除成为一种恰当的策略。
最安全手术入路的选择,应以解剖学分类为指导,并得到高分辨率影像的支持。
窦内型囊肿更适合前路内镜经鼻入路,而硬膜间型或多腔室病变通常更适合通过前外侧或外侧经颅入路处理。在选择的纯海绵窦内表皮样囊肿病例中,采用“筷子”技术的对侧单鼻孔内镜经鼻入路可有效降低鼻腔并发症。需要进一步积累有据可查的病例,以完善这些罕见病变的最佳手术管理。
- 所属栏目:神外疾病
- 如想转载“眼睛复视查出海绵窦内病变:单鼻孔、筷子技术、五天出院”请务必注明来源和链接。
- 网址:https://www.incsg.com/jibing/7778.html
- 更新时间:2026-03-14 09:34:44
- 上一篇:矢状缝早闭宝宝什么时候手术较好?
- 下一篇:儿童脊髓损伤20年回顾,死亡率出乎意料


