医者也是“发明家” :颅底肿瘤手术风险大?看神外大咖如何优化手术入路智取脑瘤
发布时间:2026-04-09 09:35:33 | 阅读:次| 关键词:医者也是“发明家” :颅底肿瘤手术风险大?看神外大咖如何优化手术入路智取脑瘤
- [案例]较大脑干海绵状血管瘤压迫丘脑疑难成功案例
- [案例]脑干海绵状血管瘤危险因素有哪些?有治愈的案例吗?
- [案例]订完婚查出巨大鞍区肿瘤,平安夜开颅后,她的状态超出
- [案例]弟弟突发癫痫查出胶质瘤,4年后双胞胎哥哥也查出胶质瘤
- [案例]月经紊乱、性功能障碍…可能是垂体瘤在作怪!
- [案例]11月龄脑干胶质瘤宝宝开颅术后平安长大,妈妈:幸好坚持
外科医生在治疗患者的过程中时常会碰到各类难题,为了攻克这些难题,对软硬件系统进行改进甚至发明全新的手术入路都是常规操作,这些努力的最终目的只有一个——维护患者的健康与生命。
当肿瘤藏身于大脑的关键部位时,手术就像在错综复杂的迷宫中实施精密拆解:既要保证在狭窄通道内灵活操作,又必须在确保脑组织不受丝毫损伤的前提下将病灶取出。有时一个看似简单的巧妙构思,却能在神经外科手术中实现"四两拨千斤"的效果。
创新手术入路、用"筷子"作为操作器械、术中将手术器械弯折……世界神经外科联合会(WFNS)颅底手术委员会前主席、INC国际颅底手术领域权威福洛里希教授擅长"双镜联合"技术,他巧妙地将显微镜提供的宽广视野与内镜多角度观察的优势相结合,从而在手术中获得更充分的暴露范围,以切除颅底深部死角的肿瘤。

这样一群"天选之人"——上天不仅为他们开启了大门,还为他们打开了窗户,甚至安装了电梯。他们不仅拥有与生俱来的禀赋,更通过独创的手术方法和器械创新推动着整个学科的进步。今天,让我们将目光聚焦于福洛里希教授团队的其中一个手术"精妙创意":如何对一个经典手术入路进行优化,使其更加契合特定类型肿瘤的切除需求。我们先从一个具体病例说起:
这是一名27岁的年轻女性露西,她被诊断为Ollier-Maffucci综合征。这是一种罕见的、非遗传性的先天性骨骼疾病,结合了多发性内生软骨瘤病(Ollier病)与多发性血管瘤(Maffucci综合征),主要表现为骨骼不对称生长、骨骼畸形、肢体不等长以及关节功能障碍。
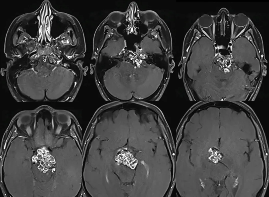
当露西因持续加重的双侧视野缺损前来就诊,检查发现颅底存在肿瘤后,术后病理也确诊为一种罕见的软骨肉瘤,且伴有钙化。下图中如同蜂窝一般密密麻麻的影像,便是露西颅底肿瘤的样子。

联合经岩骨入路是处理中颅窝和后颅窝病变的经典入路之一,它通过提供多角度的宽阔手术通道,能够处理位于岩斜区、脑桥前区、漏斗后区以及脑干的复杂且极具挑战性的病变。
然而,这一入路需要对岩骨进行广泛磨除,虽然能够广泛暴露深部颅底结构,最大程度减少对脑组织的牵拉,缩短工作距离,并从多个角度处理关键的神经血管结构。
但另一方面,该入路对神经外科医生和患者而言仍然存在较大挑战:(1)入路技术复杂,学习曲线较为陡峭;(2)涉及众多有损伤风险的关键解剖结构;(3)手术时间较长;(4)由于广泛的骨质磨除和难以严密缝合硬脑膜,存在脑脊液漏的风险。此外,宽大的皮肤切口、大范围的颞肌分离以及较大的骨瓣开颅,都增加了手术创伤和相关并发症的风险,同时也带来美观问题,使得这一入路与当前微创手术的理念及患者期望存在差距。

因此,为了优化并减少手术创伤,福洛里希教授团队提出了"mini-combined transpetrosal approach(Mini-CTPA)",其目标是大幅减少软组织的剥离范围和缩短手术时间,同时确保手术暴露程度与传统联合经岩骨入路相当。

图1为手术通道示意图:展示右侧mini联合经岩骨入路的解剖路径。
在为露西实施手术时,福洛里希教授采用了mini联合经岩骨入路,顺利将肿瘤切除。

左侧为术后影像,右侧为术前影像,两者对比可清晰看到肿瘤的去除情况。
Mini-CTPA的核心区域聚焦于岩上窦与横窦交界处,在切开小脑幕和岩上窦后,通过横窦-乙状窦角(TSSJ)移位所创建的颞-小脑间隙来实施操作。图2重点标示了改良皮肤切口(粉色线)与既往CTPA标准切口(绿色线和黑色线)之间的差异及其相应的解剖学优势。

图2展示了改良皮肤切口(粉色线)与标准切口(绿色线和黑色线)的对比示意图,并标注了会遇到的主要皮下神经血管结构。STA代表颞浅动脉;LON代表枕小神经;GON代表枕大神经;OA代表枕动脉。
在头位与软组织分离阶段,标本以70度旋转、头顶轻度向下倾斜的角度固定于头架,并进行神经导航准备。使用解剖标志和神经导航系统标记出乙状窦、横窦、乳突尖和颧弓后根的位置。切口从外耳道上方约5厘米处起始,向后绕过耳廓,沿横窦上缘、横窦-乙状窦角后方约1至2厘米处做水平转向,然后在乳突上方垂直向下延伸,止于乳突尖水平,形成一个问号形状的切口。随后将皮瓣向前方掀起。沿颞上线和颧弓后根切开骨膜,采用逆行分离技术将颞肌剥离并向前上方牵拉,直至充分显露颧弓后根。将耳后肌向前方剥离,从乳突上分离颈后肌群并向下牵拉,同时将顶区骨膜向上反折。
在骨瓣开颅阶段,在横窦-乙状窦角上方和下方各钻一个骨孔。当预计硬脑膜较薄且与骨面附着紧密时(如老年患者),则在横窦-乙状窦角上方钻一个骨孔,使用切割钻头和金刚石钻头暴露颞部硬脑膜、横窦和后颅窝硬脑膜。在小心地将硬脑膜和横窦从内板剥离后,进行单块心形骨瓣开颅。
在最小化后岩骨切除阶段,首先进行美容性乳突切除术。将横窦-乙状窦角和乙状窦骨骼化,打开乳突窦,识别外半规管。注意避免过度开放乳突窦,以降低术后中耳炎及相关听力损失的风险。
磨除以前半规管作为前界、乙状窦和后颅窝作为后界、颞部硬脑膜作为上界的窦-硬脑膜间隙体积。识别内淋巴囊,并削薄后半规管和前半规管。一旦在外半规管下方识别出面神经,则沿乙状窦前缘向颈静脉球方向,部分磨除迷路下间隙以暴露硬脑膜。用钝头咬骨钳去除覆盖横窦-乙状窦角和乙状窦的菲薄骨壳。如果不提供额外有效的工作空间或视角,应尽量减少对面神经在面神经管内走行段的骨骼化。
在剥离中颅窝硬脑膜与前岩骨切除阶段,从后向前剥离中颅窝硬脑膜,识别出脑膜中动脉穿行的棘孔,其前内侧为卵圆孔和三叉神经下颌支(V3)。切断脑膜中动脉,沿卵圆孔前缘和三叉神经下颌支(V3)外侧缘切开硬脑膜骨膜层后,从外向内逐步剥离覆盖V3的硬脑膜固有层。然后,从中颅窝底继续从后向前剥离硬脑膜,暴露弓状隆起,小心翼翼地将硬脑膜与岩大神经分离,并逐步暴露Kawase菱形区。充分暴露Kawase三角,并识别其内侧缘的岩骨嵴。磨除岩骨从岩尖水平内侧开始,沿V3向外侧朝向颈内动脉和岩浅大神经方向,并沿岩骨嵴向后进行。最后暴露后颅窝硬脑膜以及内听道的前上缘。
考虑到颞部骨瓣和颞肌分离范围有限,前岩骨切除是利用磨除窦-硬脑膜间隙体积所创造的空间,沿着从后外侧到前内侧的轨迹进行的。
在硬脑膜切开与小脑幕离断阶段,在内淋巴囊周围、后半规管平行处切开乙状窦前硬脑膜,但不切开内淋巴囊,然后在上半规管上方、平行并低于岩上窦处向前延伸。沿岩上窦平行方向切开颞部硬脑膜约1厘米,并在横窦-乙状窦角和横窦上方向后延伸。注意避免损伤Labbe静脉。识别出岩上静脉汇入岩上窦后,在岩上静脉前方结扎并切断岩上窦。然后将小脑幕从后外侧向前内侧切开,直至到达滑车神经入口后方的小脑幕游离缘。随后将横窦-乙状窦角和乙状窦向后下方牵拉,创建出颞-小脑间隙。
在关颅阶段,用缝线对合硬脑膜瓣。用薄层骨蜡覆盖乳突窦处的骨窗,注意不要堵塞中耳。然后在骨面上覆盖一片骨膜和纤维蛋白胶。用腹部脂肪和纤维蛋白胶填充硬脑膜缺损和死腔以完成关颅。最后,使用钛微型接骨板重建骨瓣。
Mini联合经岩骨入路已用于选定的病例,包括:从下斜坡延伸至脚间池的斜坡脊索瘤、伴有巨大幕上成分的岩斜区脑膜瘤、向上及对侧延伸至脑干前方和漏斗后的桥小脑角表皮样囊肿,以及颅咽管瘤。
选择Mini联合经岩骨入路旨在获得宽阔的幕上幕下联合暴露,并通过多视角安全处理关键的神经血管结构,同时尝试降低入路本身的创伤性。通过Mini联合经岩骨入路的开口,从第III对颅神经到后组颅神经的所有颅神经,以及基底动脉、小脑前下动脉、小脑上动脉和后交通动脉,均可得到安全且充分的暴露。显然,与标准联合经岩骨入路使用的更广泛的肌肉分离和更大的开颅相比,我们未发现暴露范围存在显著差异。此外,在手术结束时,这种改良切口允许以自然的方式轻松重新附着肌肉,并完全覆盖骨窗。
Mini联合经岩骨入路减少了软组织创伤,改善了美容效果,并缩短了手术时间。当然,任何手术入路的选择都必须充分考虑解剖变异、患者个体特征和肿瘤特性等因素。
如今,微创手术理念已经深刻改变了外科医生的视角以及患者的期望,如何在手术效果、安全性和最小化手术创伤之间达到更佳的平衡,成为外科治疗的主要目标。福洛里希教授开展这项研究的初衷,正是为了将微创理念引入联合经岩骨入路,以减少手术入路带来的相关并发症。在经过选择的特定病例中,Mini-CTPA入路可以作为标准入路的替代方案。
- 所属栏目:国际治疗
- 如想转载“医者也是“发明家” :颅底肿瘤手术风险大?看神外大咖如何优化手术入路智取脑瘤”请务必注明来源和链接。
- 网址:https://www.incsg.com/guojizhiliao/7985.html
- 更新时间:2026-04-09 09:13:36


