「INC 2026学术交流启幕」巴教授来华首日,为7名疑难脑瘤患者答疑
发布时间:2026-01-22 09:38:07 | 阅读:次| 关键词:「INC 2026学术交流启幕」巴教授来华首日,为7名疑难脑瘤患者答疑
- [案例]身体麻木竟是脑干“肿瘤”作祟,INC巴教授妙手拆除生命
- [案例]“你的脑袋里有个东西。”38岁体检查出脑膜瘤,福兮祸兮
- [案例]半年内脑干胶质瘤体积翻倍,术后9天他迫不及待:我想回
- [案例]这种脑瘤手术可能变“木头人”? 20岁法学才女仅用23天战
- [案例]保守or手术?国际神经外科大咖揭秘松果体囊肿治疗选择
- [案例]无症状脑瘤悄然生长:从MRI随访看胶质瘤的隐匿性发展
2026年1月21日,世界神经外科联合会(WFNS)教育与技术委员会前主席、INC国际神经外科医生集团旗下世界神经外科顾问团(WANG)成员Helmut Bertalanffy(巴特朗菲)教授抵达中国,标志着INC 2026年度学术交流活动正式启动。

随后数月,数十位来自欧美、享誉全球的神经外科各专业领域专家将陆续来华。中外专家将共同参加"第五届世界神经外科顾问团云端峰会",深入交流神经外科前沿进展与手术技术。本次峰会特邀首都医科大学附属北京天坛医院党委副书记贾旺教授出席,并邀请首都医科大学附属北京天坛医院原副院长张力伟教授等进行主题演讲。
此次学术交流不仅为专业领域提供交流平台,更为患者带来实际获益——患者无需远赴海外,即可与国际专家面对面沟通,部分患者还将获得由国际专家主刀的示范手术机会。
疑难病例会诊详情
巴特朗菲教授抵达苏州后,立即在苏州大学附属儿童医院和苏州大学附属第四医院开展密集的医疗活动。在紧凑的行程中,他先后为7位疑难脑肿瘤患者完成深入的面诊或远程视频会诊,并为次日即将接受示范手术的患者进行术前评估。会诊病例涵盖脑干、小脑、桥前池、脑室内、桥小脑角区等多个复杂部位的神经系统疾病。

巴特朗菲教授仔细分析每位患者的影像学资料,结合具体临床表现和功能状态,以数据化、个体化的方式评估每例手术的可行性、风险程度和预期效果,为患者提供明确的治疗方向。
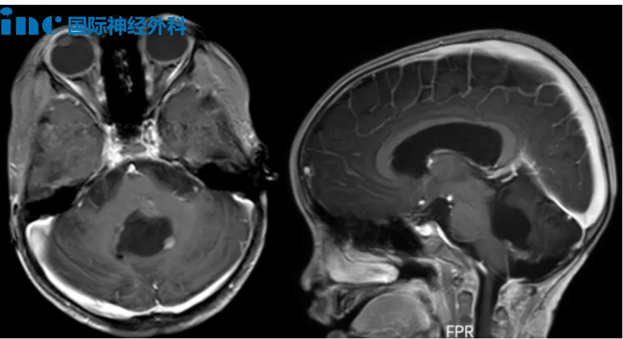
病例一:室管膜瘤术后复发评估
5岁男性患儿布布,2023年因行走不稳发现颅内占位,同年9月接受首次第四脑室肿瘤切除手术,术后病理诊断为后颅窝室管膜瘤。2024年5月因肿瘤复发接受二次手术,病理升级为间变性室管膜瘤(WHO 3级)。术后出现斜视、眼炎、四肢无力、共济失调、吞咽障碍及言语迟缓等症状。2024年9月完成质子放疗后,近期复查提示术区边缘出现可疑结节,粘连延髓,疑似再次复发。巴特朗菲教授评估认为肿瘤位于脑干背侧表面,未深入脑干内部,手术可及性良好,建议手术治疗。

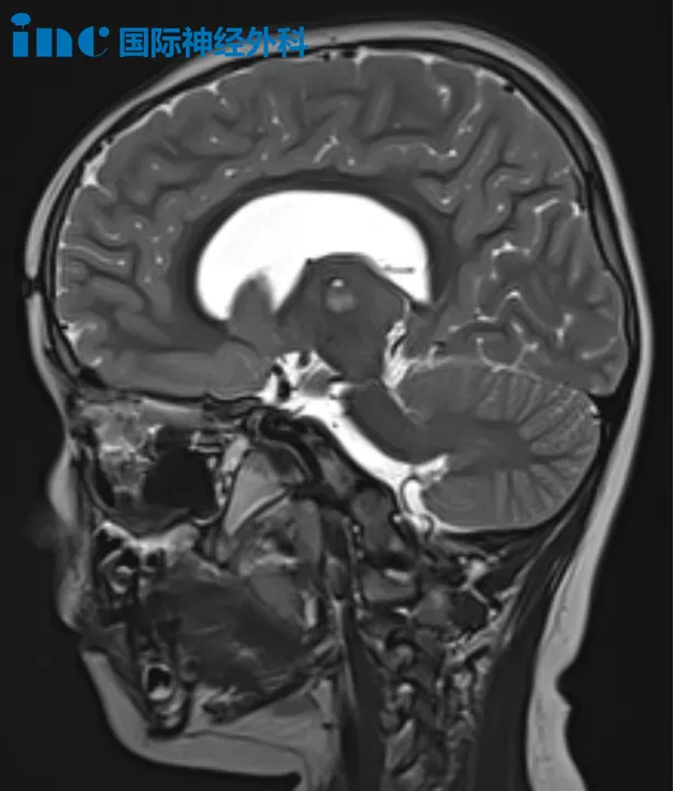
病例二:混合性胶质神经元肿瘤管理策略
5岁女性患儿园园,2025年4月因突发头晕、呕吐就诊,检查发现第三脑室和左侧丘脑病变。行"第三脑室底造瘘术+病损切除术",术中切除第三脑室内病灶,左侧丘脑病灶因外观未见异常未处理。术后病理诊断为混合性胶质神经元肿瘤(WHO 1级)。2026年1月复查显示第三脑室后部-左侧丘脑存在异常信号(大小分别为6×6mm、14×9mm)。巴特朗菲教授建议可考虑手术,但需权衡肿瘤进展风险,手术目标为尽可能全切,同时避免神经功能损伤。

病例三:桥前池占位病变评估
44岁女性患者孙女士,2024年因反复偏头痛发现右侧脚间池占位,提示脂肪瘤可能。2025年12月因情绪激动出现头部胀痛加重,伴头皮紧箍感、针刺样不适,MRI复查提示海绵状血管瘤可能伴亚急性出血。2026年1月上旬复查显示出血吸收,但十余天后再次因情绪激动出现视物模糊、气促、手足麻木等症状,急诊检查提示桥前池片状低密度影(约15×11mm)。巴特朗菲教授评估认为目前无需手术,建议1-3个月后复查MRI并完成凝血功能检测。

示范手术术前准备
除疑难病例会诊外,巴特朗菲教授还为两名即将接受示范手术的患者进行术前谈话。


61岁女性患者鲁女士,2003年7月因左侧额部麻木疼痛、额纹消失,发现脑干三叉神经区脑膜瘤,行开颅手术后肿瘤残留,相继出现视物颠倒、复视,伽玛刀治疗后发生左侧肢体麻木、乏力。2012年复查提示脑膜瘤复发,行第二次伽玛刀治疗。2018年以来逐渐出现左侧耳鸣、左侧面部持续性麻木疼痛,2025年症状加剧。巴特朗菲教授表示手术将力争最大程度切除肿瘤,同时保护神经功能。

22岁患者小翼确诊神经纤维瘤病I型,近年来因脑部肿瘤囊性成分明显增大,症状持续加重,表现为头晕头痛频发、行走不稳、频繁跌倒。巴特朗菲教授建议立即手术,切除肿瘤实体部分并引流囊液,解除脑干压迫,术后可能无需放化疗。

此次中外神经外科专家的学术交流活动,为疑难神经系统疾病患者提供了专业的诊疗方案,通过国际医疗合作推动神经外科领域的发展。
- 所属栏目:国际治疗
- 如想转载“「INC 2026学术交流启幕」巴教授来华首日,为7名疑难脑瘤患者答疑”请务必注明来源和链接。
- 网址:https://www.incsg.com/guojizhiliao/7503.html
- 更新时间:2026-01-22 09:29:32
- 上一篇:苏大附四院官方报道:国际神经外科医生集团专家于我院累计完成100例高难度颅脑手术
- 下一篇:没有了


