



INC国际神经外科专家、曾任世界神经外科学院院长、现任《Journal of Neurosurgery》主编James T. Rutka(鲁特卡)教授发表研究论文《Imaging findings in primary intracranial atypical teratoid/rhabdoid tumors》(原发性颅...
更新时间:2025-11-10 17:52:22

免疫治疗是一种借助机体自身免疫系统来识别并攻击肿瘤细胞的治疗策略。该方法通过激活或增强免疫系统功能,提升免疫细胞的抗肿瘤活性,进而达到抑制或清除癌细胞的目的。...
更新时间:2025-11-10 17:37:17

James T. Rutka(鲁特卡)教授发表研究论文《Study of the biodistribution of fluorescein in glioma-infiltrated mouse brain and histopathological correlation of intraoperative findings in high-grade gliomas resected under fluorescein fluorescence...
更新时间:2025-11-10 14:06:15

INC国际儿童脑瘤专家、《Child's Nervous System》现任主编Concezio Di Rocco教授发表研究论文《Iatrogenic intracranial aneurysms in childhood: case-based update》(儿童医源性颅内动脉瘤:基于病例的进展)。...
更新时间:2025-11-08 09:21:09

INC国际儿童脑瘤专家、《Child's Nervous System》现任主编Concezio Di Rocco教授发表研究论文《Mini-invasive surgical technique for sagittal craniosynostosis》(矢状缝早闭的微创手术技术),以下为研究主要内容概述。...
更新时间:2025-11-06 17:44:24

INC国际神经外科专家James T. Rutka(鲁特卡)教授其发表的研究论文《Primary central nervous system sarcomas in children: clinical, radiological, and pathological features》(儿童原发性中枢神经系统肉瘤:临床、影像学及...
更新时间:2025-11-04 17:56:09

INC国际神经外科医生集团旗下世界神经外科顾问团(WANG)成员Mitchel S. Berger教授团队发表研究《Interventional neurorehabilitation for glioma patients: A systematic review》(胶质瘤患者介入性神经康复治疗:系统...
更新时间:2025-11-04 09:45:24

INC国际神经外科医生集团旗下世界神经外科顾问团(WANG)成员Henry W.S. Schroeder教授(施罗德教授)团队发表研究《Effectiveness of Lumbar Cerebrospinal Fluid Drain Among Patients With Aneurysmal Subarachnoid Hemorrhage》(...
更新时间:2025-11-03 13:48:50

岩斜区定位在颞颞骨岩部背面与枕骨斜坡部的岩斜裂交汇处,范围从岩骨尖延伸至颈静脉孔。岩斜区肿瘤因位置深在、毗邻重要解剖结构,导致全切除难度极高,且伴随较高术后致残率与复发率,...
更新时间:2025-11-03 13:31:48

INC国际儿童脑瘤专家、《Child's Nervous System》现任主编Concezio Di Rocco教授近期发表研究论文《Controversies in the management of single-suture craniosynostosis》,针对单缝颅缝早闭的临床管理争议进行系统阐述。...
更新时间:2025-11-02 09:49:29

INC国际儿童神经外科专家、世界小儿神经系统专业杂志《Child's Nervous System》现任主编Concezio Di Rocco教授发表研究论文《Is the helmet doing most of the job in the endoscopic correction of craniosynostosis?》(颅缝早闭...
更新时间:2025-10-31 10:50:08

INC国际神经外科医生集团旗下世界神经外科顾问团(WANG)成员、美国神经外科学院前主席、旧金山加利福尼亚大学(UCSF)神经外科系教授兼主席(1997年至今)Mitchel S. Berger教授等人发表研究《弥漫...
更新时间:2025-10-29 09:49:21

INC国际儿童脑瘤专家、世界小儿神经系统专业杂志《Child's Nervous System》现任主编Concezio Di Rocco教授发表研究论文《Vertex cephaloceles》(顶点脑膨出综述)。...
更新时间:2025-10-28 18:19:19

James T. Rutka(鲁特卡)教授其近期发表的研究论文《Emerging frontiers in diffuse intrinsic pontine glioma treatment: A new hope》(DIPG治疗的新兴前沿:新希望)的主要内容如下。...
更新时间:2025-10-28 11:02:54

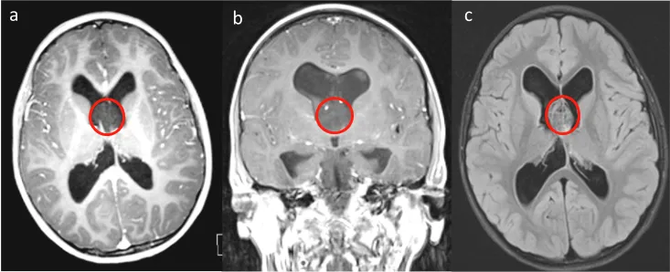
菊形团形成性胶质神经元肿瘤(RGNT)是一种罕见的肿瘤类型,文献报道主要发生在第四脑室区域。该病变被描述为良性肿瘤,通常局限于周围组织结构,包括小脑蚓部、中脑和脑导水管。...
更新时间:2025-10-28 10:40:08
更新时间:2021-11-23 17:04:54
更新时间:2020-05-20 13:24:16
更新时间:2024-02-23 14:19:28
更新时间:2021-11-23 17:03:27
更新时间:2021-11-23 17:03:45
更新时间:2020-05-28 11:18:29
更新时间:2021-09-06 09:55:53
更新时间:2021-12-27 16:18:07
更新时间:2021-09-15 09:51:33
更新时间:2023-03-02 09:58:49
更新时间:2025-11-10 17:52:22
更新时间:2025-11-10 17:37:17
更新时间:2025-11-10 14:06:15
更新时间:2025-11-08 09:21:09
更新时间:2025-11-06 17:44:24