孩子被误认为“睡神”,医生却说他的大脑“被休眠”急需手术!
发布时间:2026-03-28 21:21:57 | 阅读:次| 关键词:孩子被误认为“睡神”,医生却说他的大脑“被休眠”急需手术!
- [案例]8岁男孩腰背不适疑为风湿病,罕见脑瘤“DL-GNT”引关注
- [案例]儿童反复头痛、还可能智力下降!脑血管病-烟雾病的“无
- [案例]脑干出血时会发生什么?37岁患者亲历:后来我连推门都不
- [案例]听神经瘤开颅手术术后,状态好到以为还没做手术
- [案例]从化疗无效到8年无复发:这个小姑娘的脑干胶质瘤抗争史
- [案例]“这是为你好!”——脑瘤术后,医生为何在我的颈椎内
儿童被误判为“嗜睡”,临床诊断提示其大脑处于“功能抑制”状态,需紧急手术干预!
“妈妈,我特别困……”这已是小米无数次向母亲诉说自身的倦怠感。
此种无力感已持续困扰该家庭超过十年,其严重程度远非“懒惰”或“睡眠不足”等简单归因所能解释。
小米身患疾病,但其确切病因长期不明,导致针对性治疗难以开展。
他因此被同学戏称为“嗜睡附体”,即便在课堂环境中亦可随时陷入睡眠状态,引发这一切的“根本原因”,实则隐匿于其大脑内部。
“持续嗜睡”儿童临床表现
自小学阶段起,小米的临床表现即与其他儿童存在显著差异。
课堂听讲时,教师授课声刚起,其眼睑即开始沉重下垂;完成作业期间,笔具尚未握稳,头部已低垂至书本表面;乘车、观看电视节目、甚至进餐过程中,强烈困意均可如潮水般袭来,使其迅速陷入睡眠状态。
母亲最初认为其仅为“睡眠不足”,随年龄增长可自行改善。然而小米的症状呈进行性加重趋势——日间精神萎靡,注意力难以集中如同散沙,学业成绩持续下降。
四年余前,他接受了腰椎穿刺术及颅脑磁共振成像检查,临床诊断为“注意缺陷多动障碍(ADHD)”,并开始接受哌甲酯药物治疗。

尽管药物剂量从10毫克逐步增加至60毫克,但持续存在的倦怠感,始终未能彻底消除。
为缓解嗜睡症状,小米及其家人尝试了多种药物治疗方案。部分药物疗效微弱,部分则引发难以忍受的焦虑、恶心及呕吐等不良反应,最终不得不终止使用。
当其全家前往德国格赖夫斯瓦尔德大学睡眠医学中心就诊时,他已停止服药八个月。医师为其进行了Epworth嗜睡量表评估。该量表满分为24分,通常认为评分≥10分即提示存在日间过度嗜睡,小米最终获得13分,属于明确异常范围。
值得注意的是,小米并未出现猝倒、入睡前幻觉或睡眠瘫痪等临床表现。这些属于发作性睡病的典型症状,他均未呈现。
然而两次睡眠监测结果均指向明确诊断:他可在入睡后极短时间内进入快速眼动睡眠期,此现象属于大脑睡眠-觉醒调节系统功能失调的标志。最终,其被确诊为“2型发作性睡病(不伴猝倒型)”。
颅内隐匿性病因探究
虽已明确诊断并实施药物治疗,但小米的嗜睡症状持续存在。此现象引起医师警觉——一名18岁青少年,为何如同遭受“睡眠魔咒”,始终无法保持清醒状态?
医师决定再次进行颅脑磁共振成像检查,以探究大脑深部结构的实际状况。
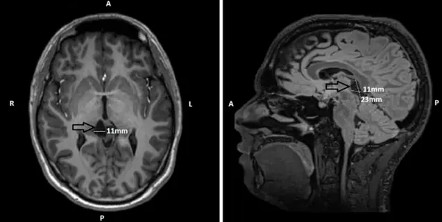
检查结果出乎所有人员预料:一个蛛网膜囊肿,正持续对小米的丘脑及中脑顶盖区域形成压迫——该区域恰为大脑调节警觉性与注意功能的核心枢纽。
持续长达十年的嗜睡症状,其根本原因可能即在于此。
此病例并非原发性发作性睡病,而属于由颅内占位性病变导致的“症状性”嗜睡。
两个月后,小米接受了神经外科手术治疗。INC教授团成员Henry W.S. Schroeder教授及其医疗团队主刀,采用显微开窗技术,精确解除了囊肿对脑组织的压迫效应,恢复了脑脊液正常循环通路。手术过程顺利成功。

术后临床症状改善评估
临床症状的改善,自术后首日起即逐步显现。
术后半年复查时,磁共振成像清晰显示:囊肿体积已显著缩小,中脑区域的压迫完全解除。更为重要的是,小米自觉“如同获得新生”。

日间倦怠感基本消失,注意力集中能力显著改善,曾经被“嗜睡”症状主导的青少年,首次真正实现了对自身清醒状态的掌控。
Epworth嗜睡量表评分从13分下降至正常范围的6分。客观睡眠潜伏期测试结果同样证实,其维持清醒状态的能力获得大幅提升。
鉴于临床症状已完全不影响日常生活,医师未再开具任何药物治疗方案。被“嗜睡”困扰长达十年的青少年,终于在18岁这一年,实现了真正的“觉醒”。
他开始规划个人未来发展方向,重新投入曾被嗜睡症状耽误的学业进程,迈向属于自身的人生道路。
儿童嗜睡症状病因学解析
小米的诊疗经历,为所有家长提供重要警示:儿童“嗜睡”表现,未必源于懒惰,也未必仅是单纯睡眠障碍。
发作性睡病属于一种罕见的慢性神经系统疾病,其特征为睡眠-觉醒周期维持困难,主要临床表现包括难以抗拒的日间过度嗜睡、猝倒发作、入睡前及醒后幻觉、睡眠瘫痪现象、夜间睡眠紊乱,共同构成发作性睡病的“五联症”。
依据2023年国际睡眠疾病诊断分类标准修订版,发作性睡病属于中枢性过度嗜睡障碍的主要亚型,可分为两种类型:发作性睡病1型又称猝倒型发作性睡病,其病理机制源于下丘脑外侧区食欲素能神经元大量丢失,导致食欲素生成显著减少,临床特征表现为日间过度嗜睡伴猝倒发作;发作性睡病2型同样存在日间过度嗜睡症状,但不伴随猝倒表现,脑脊液检测未见食欲素水平下降,其病因机制更为复杂。
然而还存在一类更为罕见却需高度警惕的临床情况——症状性发作性睡病。该类型可继发于颅脑外伤、炎症反应、缺血性病变、肿瘤性疾病,或其他累及中脑区域的占位性病变。中脑作为大脑的“觉醒调节中枢”,当该区域受到囊肿、肿瘤等病变压迫时,即可导致觉醒系统功能紊乱,引发日间过度嗜睡、猝倒等一系列类似“发作性睡病”的临床表现。此类患者若仅采用药物治疗,其疗效往往有限甚至无效。
根本性解决方案在于通过手术解除占位性压迫。对于此类继发于颅内占位性病变的症状性发作性睡病,外科手术干预通常成为唯一有效的治疗途径。采用显微开窗技术、内镜辅助下囊肿-脑池造瘘术等术式,解除囊肿对脑组织的压迫效应,恢复脑脊液正常循环通路,即可从病因层面实现症状逆转。

- 所属栏目:脑瘤症状
- 如想转载“孩子被误认为“睡神”,医生却说他的大脑“被休眠”急需手术!”请务必注明来源和链接。
- 网址:https://www.incsg.com/naoliu/zhengzhuang/7900.html
- 更新时间:2026-03-28 21:15:48
- 上一篇:“我的嗓子怎么哑了?”查出脑瘤,少年没有成为旁观者,他的人生由自己掌控!
- 下一篇:没有了


