声音突然嘶哑?别总当成咽炎!医生紧急提醒:这个“头部”病因,可能致命!
发布时间:2025-11-21 14:12:34 | 阅读:次| 关键词:声音突然嘶哑?别总当成咽炎!医生紧急提醒:这个“头部”病因,可能致命!
- [案例]脑MRI如何判断胶质瘤良恶性?临床实例解析影像诊断关键
- [案例]81岁老年人成功挑战高风险脑膜瘤切除术,术后4天出院
- [案例]15岁少年“学到吐”,核磁惊现巨大肿瘤!医生:是从鼻子
- [案例]耳鸣1年被误诊为听神经瘤,巴特朗菲教授:“没有肿瘤!
- [案例]再凶险易复发的脑瘤,也怕一个“熬”到底的人,我如何
- [案例]11cm巨大脑膜瘤,广泛侵犯窦汇、上矢状窦、横窦、颅骨及
声音嘶哑伴随喉咙发痒、咽喉异物感、清嗓需求增加等症状在流感高发季节较为常见。但若症状持续不缓解或进行性加重,需引起临床重视。
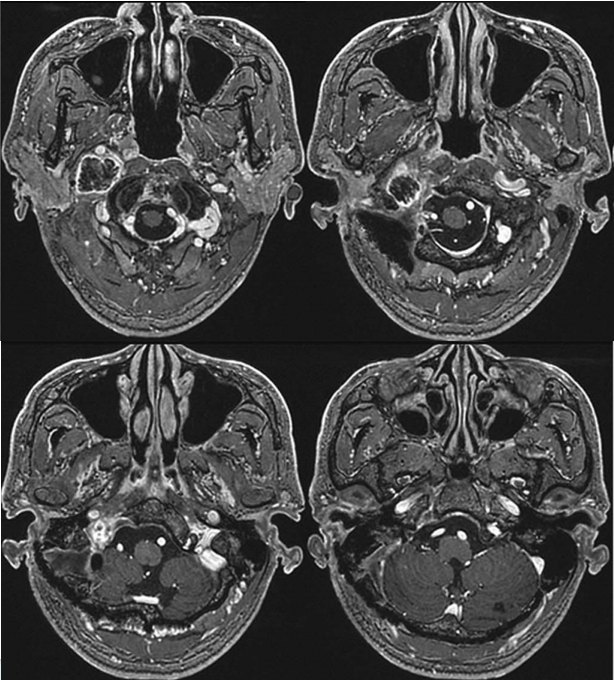
32岁男性患者李先生因持续性声音嘶哑伴饮水呛咳就诊。影像学检查发现颅内存在3.7厘米巨大肿瘤,伴囊性变,直接压迫颈内静脉并向颅底颈静脉孔区延伸。

术前MRI评估显示,考虑到肿瘤体积较大且内部出现囊性变,医疗团队认为手术切除比立体定向放疗更为适宜。手术关键环节在于精细分离肿瘤与周围重要神经血管结构,特别是后组颅神经和颈内动脉,必须避免损伤。
手术过程顺利,实现肿瘤全切,受压颈内静脉恢复正常血流。患者术后颅神经功能保留良好,仅出现短暂轻微不适后完全恢复。术后MRI复查证实肿瘤完全切除,未出现新发神经功能损伤。

该病例来源于INC国际神经外科医生集团旗下世界神经外科顾问团(WANG)成员Sebastien Froelich教授(塞巴斯蒂安·福洛里希)的相关研究。
颈静脉孔区解剖与病理机制
声音嘶哑、饮水呛咳、吞咽困难等症状可能与颅底颈静脉孔区病变相关。颈静脉孔区作为神经外科高难度手术区域,其解剖特点包括位置深在、周围结构复杂、个体形态差异大,且内有重要神经血管通过。
颈静脉孔主要通行三支重要神经:司咽喉感觉与运动的舌咽神经(CN IX)、调控心跳及内脏功能的迷走神经(CN X),以及控制耸肩、转头动作的副神经(CN XI)。同时颅内血液经颈静脉球在此处汇入颈内静脉。该区域发生肿瘤时易压迫这些神经血管,引发声音嘶哑、饮水呛咳、吞咽困难和搏动性耳鸣等症状复合体。

声音嘶哑的发生机制与喉返神经受压相关。迷走神经(CN X)经颈静脉孔出颅,其分支喉返神经支配喉部肌肉运动特别是声带功能。颈静脉孔区肿瘤生长导致:1. 空间占位效应:骨性孔道内迷走神经受挤压;2. 向下延伸:肿瘤侵犯颅底下方神经走行区域;3. 神经功能障碍:肿瘤压迫导致神经信号传导受阻,引起声带麻痹。当声带运动异常导致闭合不全时,气流通过缝隙产生声音嘶哑。

持续性、进行性加重的声音嘶哑,特别是伴随吞咽困难、饮水呛咳、颈部肿块等症状时,需高度警惕颈静脉孔区肿瘤可能,应及时进行专科检查。
颈静脉孔区肿瘤手术治疗与预后评估
INC巴特朗菲教授示范手术期间,多名颈静脉孔区肿瘤患者获得成功治疗。其中一例为38岁东南亚男性患者Norodom,诊断为颈静脉孔区神经鞘瘤,临床表现为频繁呛咳、颈部右倾、右肩肌张力增高、持续右侧颈痛及体位受限。经跨国求医,术后第一天ICU查房显示患者意识清醒,吞咽功能与肢体活动正常。

另一例为15岁青少年患者小凯,临床表现为声音嘶哑、扁桃体炎、耳痛及持续性头痛。药物治疗初期部分缓解症状但易反复。一月后复查发现颈静脉孔区神经鞘瘤生长。在巴教授主刀下行肿瘤全切术,术后恢复良好:术后2个月精神状态显著改善;术后6个月影像学评估显示肿瘤完全切除,脑干、血管及颅底结构保护完好,嗓音功能明显恢复;术后1年经耳鼻喉科专家评估及发声训练,声带问题显著改善。
颈静脉孔区肿瘤手术治疗中,首次手术的彻底性对预后具有决定性影响。首次手术时解剖结构清晰,利于区分肿瘤与正常组织,提高全切率并保护神经血管。若因肿瘤残留或复发需二次手术,脑组织粘连和瘢痕形成将显著增加手术难度。因此,首次手术的成功实施至关重要。
- 所属栏目:脑瘤症状
- 如想转载“声音突然嘶哑?别总当成咽炎!医生紧急提醒:这个“头部”病因,可能致命!”请务必注明来源和链接。
- 网址:https://www.incsg.com/naoliu/zhengzhuang/7093.html
- 更新时间:2025-11-21 14:05:24
- 上一篇:髓母细胞瘤共病有哪些?会引起哪些并发症?
- 下一篇:孩子总说头痛,这3种情况要注意!


