手术与放疗之间的抉择:一例三叉神经AVM治疗的“完美”与遗憾
发布时间:2026-04-25 10:27:41 | 阅读:次| 关键词:手术与放疗之间的抉择:一例三叉神经AVM治疗的“完美”与遗憾
- [案例]7岁男孩较大胶质瘤并压迫脑干如何长期生存?
- [案例]小小CPA区脑膜瘤,长大横跨颅中后窝成巨大岩斜区脑膜瘤
- [案例]长在“手术禁区”的中脑海绵状血管瘤能完整切除吗?I
- [案例]较大听神经瘤术后2年随访,没有复发、无面瘫、无后遗症
- [案例]良性又令人害怕?垂体瘤侵袭视神经、压迫脑室,一次全
- [案例]20岁少女突发神志丧失,原来是脑干海绵状血管瘤
本文基于INC国际神经外科专家巴特朗菲教授团队所报告的一例特殊病例,深入探讨一种临床表现不典型的病变——三叉神经周围动静脉畸形。该病例充分展示了显微外科手术在实现病变完全切除方面的成功,同时也揭示了术后并发症所带来的困扰,并对放射外科治疗的优劣进行了客观对比。

突发头痛就诊,确诊罕见血管畸形
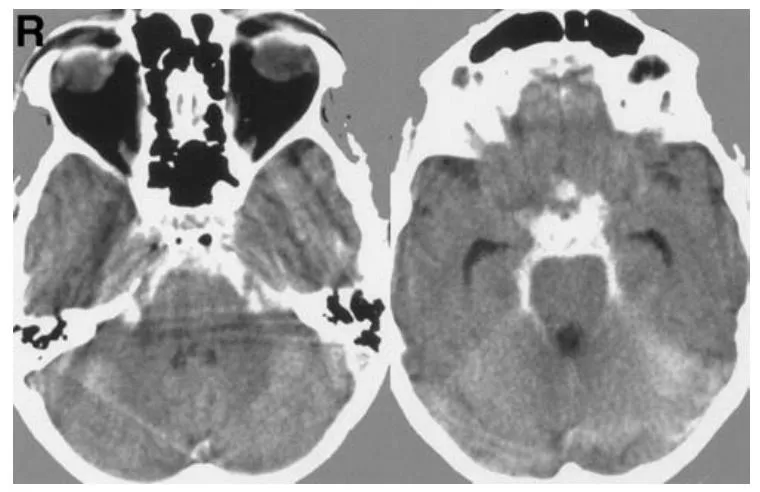
一位57岁男性患者因突发剧烈头痛与恶心症状前往医院就诊。头颅计算机断层扫描检查结果显示存在蛛网膜下腔出血(图1)。该患者既往并无任何神经系统相关症状。

图1 轴位计算机断层扫描图像清晰显示基底池存在蛛网膜下腔出血
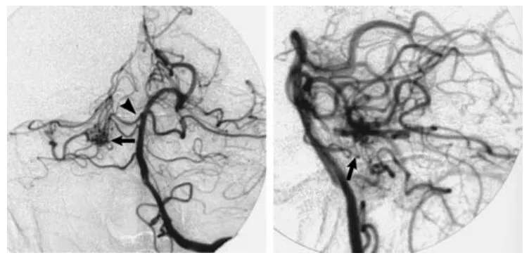
进一步的血管造影检查明确:在脑干右侧区域存在一个动静脉畸形的畸形血管巢,该血管巢由双支小脑上动脉共同供血(图2)。

图2 左侧椎动脉数字减影血管造影正位(左图)与侧位(右图)像(动脉期),清晰显示畸形血管团(箭头指示)由双支小脑上动脉(箭头端指示)供血
治疗过程详述
患者的治疗经过如下:患者本人拒绝了放射外科治疗方案;由于畸形血管管径过于纤细,血管内栓塞尝试未能成功;医疗团队最终决定采用右侧颞下显微手术入路。
手术过程中,医生观察到三叉神经内部及其周围直至半月神经节区域存在多支病理性血管(图3)。为了能够完整地分离畸形血管团,手术中不得不牺牲了部分三叉神经纤维。

图3 左图:术中照片显示三叉神经根底部(箭头指示)与动静脉畸形关系密切;右图:示意图(由山口幸子绘制),清晰显示三叉神经近端(箭头指示)与畸形血管(箭头端指示)
术后情况与并发症处理
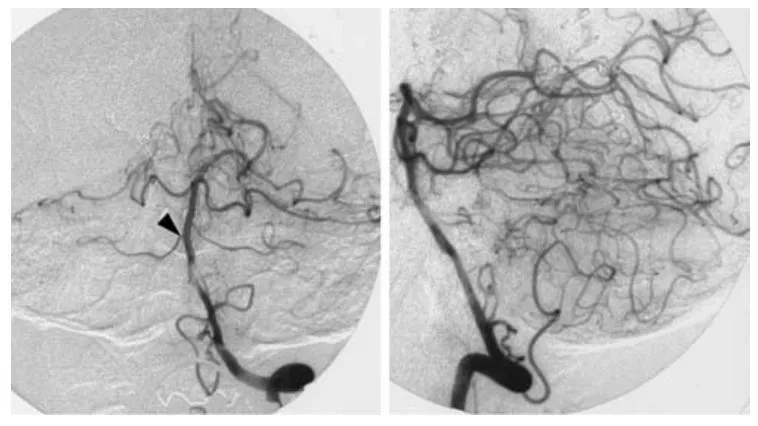
手术后,患者出现了右侧三叉神经第一支与第二支分布区的部分感觉减退症状。复查血管造影证实动静脉畸形已被完全切除,影像上仅可见单支小脑上动脉(图4)。

图4 左侧椎动脉数字减影血管造影正位(左图)与侧位(右图)像,显示无残余动静脉畸形,仅可见1支右侧小脑上动脉(箭头端指示)
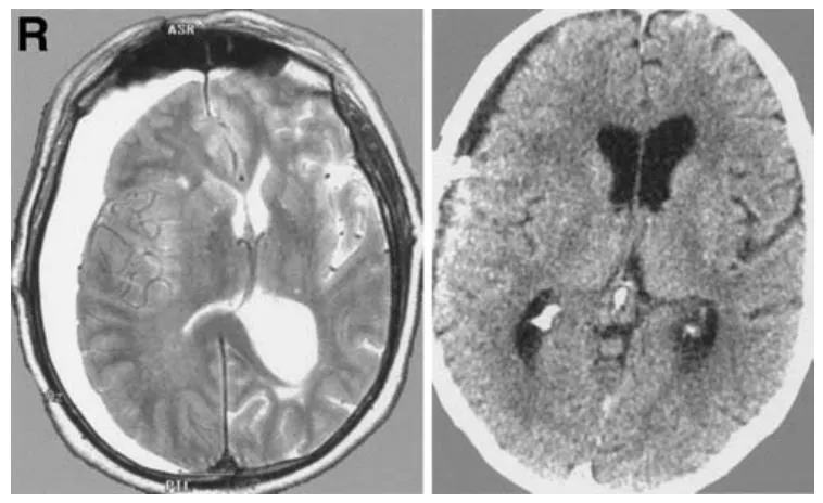
术后第三个月,患者出现了硬膜下水瘤,临床症状包括头痛、共济失调以及左侧肢体无力;磁共振成像检查证实右侧大脑半球存在硬膜下积液(图5左)。医疗团队先后实施了两次钻孔引流手术,第二次手术中置入了临时硬膜下引流管,此后患者病情好转并顺利出院。
在第二次手术结束两个月后,患者因相同症状再次入院。计算机断层扫描检查提示硬膜下水瘤复发。随即,医生为患者施行了硬膜下-腹腔分流术。术后患者恢复情况良好,计算机断层扫描显示硬膜下水瘤已完全消失(图5右)。

图5 左图:轴位T2加权磁共振成像显示右侧大脑半球存在硬膜下水瘤;右图:硬膜下-腹腔分流术后轴位计算机断层扫描图像
经过为期两年的随访,患者恢复状况良好,仅遗留轻微的面部感觉异常,无其他不适症状,已恢复正常生活。
不典型的临床表现分析
在临床实践中,蛛网膜下腔出血最常见的病因是颅内动脉瘤破裂。因此,在本病例完成初次CT检查后,首要进行的鉴别诊断即为动脉瘤性蛛网膜下腔出血。出乎意料的是,血管造影显示出血的真正来源是一个三叉神经动静脉畸形。动静脉畸形通常引起脑实质内出血,但也可能导致蛛网膜下腔出血。
而既往报道的三叉神经动静脉畸形病例,几乎都以长期且顽固的三叉神经痛作为首发症状,这是因为畸形血管的持续搏动会对神经产生压迫与刺激。然而,本例患者完全没有三叉神经痛病史,直接以急性出血起病。
该患者术前未出现神经痛的原因,可能是由于血流通过三叉神经根附近或内部的数条血管(例如双重的小脑上动脉以及病理性供血动脉)得到了均衡分布。对神经的搏动性压迫刺激未达到引起疼痛的阈值。因此,病变一直保持“沉默”状态直至突然破裂。
手术与放疗的两难治疗抉择
本病例生动地呈现了三叉神经动静脉畸形在治疗决策上面临的两难困境。
显微外科手术
核心优势在于能够实现一次性完全切除,从而即刻消除病变的再出血风险;其潜在风险则包括可能出现术后并发症(例如硬膜下积液),此类并发症可能需要进行多次手术干预,并且在手术过程中可能不得不牺牲部分神经纤维。
立体定向放射外科
主要优点在于其无创性,能够避免即刻的手术风险;其局限性在于血管闭塞需要时间(通常超过1年),在此期间病变仍有再出血的可能;对于靠近脑干的病灶进行精确定位存在困难;并且治疗后仍有一定的再出血率。
在本病例中:作为替代治疗方案,研究团队最初向患者提供了放射外科治疗,但患者本人仍倾向于选择手术。手术虽然成功完全切除了畸形血管团,但术后病程因硬膜下积液而变得复杂,需要反复进行手术治疗以处理硬膜下积液的反复发作,总共经历了2次钻孔引流手术以及1次分流手术。
如果当初选择放疗,或许可以避免这些并发症;但放疗后动静脉畸形不会立即闭塞,且曾有研究报道,脑干动静脉畸形患者在放疗后仍有5/30的病例发生再出血,其中4例死亡。
因此,本研究得出的最终结论是:显微手术切除是可行的,且能带来良好的长期预后,但术后并发症可能增加额外的手术负担;放射外科是一种替代选项,但也并非没有风险。两种治疗方案没有绝对的优劣之分,必须根据患者的具体情况进行个体化选择。
本文内容整理自:Helmut Bertalanffy, et al. Arteriovenous malformation surrounding the trigeminal nerve--case report.
INC国际脑血管专家 Prof. Helmut Bertalanffy 巴特朗菲教授简介
INC国际神经外科医生集团旗下世界神经外科顾问团成员、世界神经外科联合会教育与技术委员会前主席巴特朗菲教授,同时担任德国汉诺威国际神经外科研究院血管神经外科主任,擅长大脑半球病变、脑干病变、脑血管疾病、脑内深层区胶质瘤、颅颈交界处病变的肿瘤切除术、神经吻合术以及各种椎管内肿瘤手术。

巴特朗菲教授曾收到来自欧洲、中东、北非以及日本、中国、韩国、新西兰、南非和智利等40个国家的学术邀请,应邀出席了超过400场世界各地的学术会议或在神经外科大会担任特邀发言人,对世界神经外科学科发展做出了重大贡献,特别是在颅底外科和脑脊髓显微外科血管病变的治疗领域。
- 所属栏目:脑血管瘤
- 如想转载“手术与放疗之间的抉择:一例三叉神经AVM治疗的“完美”与遗憾”请务必注明来源和链接。
- 网址:https://www.incsg.com/naoxueguanliu/8144.html
- 更新时间:2026-04-25 10:21:08
- 上一篇:脑海绵状血管瘤饮食上要忌口什么?
- 下一篇:脑动静脉畸形危险吗?出血风险到底有多大?


